Rabbit TRAF2 Polyclonal Antibody | anti-TRAF2 antibody
Phospho-TRAF2 (Ser11) Antibody
Phosphate buffered saline, pH 7.4, 150mM NaCl, 0.02% sodium azide and 50% glycerol.
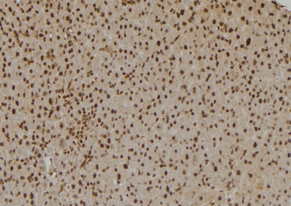
IHC (Immunohiostchemistry)
(AAA321410 at 1/100 staining Human thyroid cancer tissue by IHC-P. The sample was formaldehyde fixed and a heat mediated antigen retrieval step in citrate buffer was performed. The sample was then blocked and incubated with the antibody for 1.5 hours at 22 degree C. An HRP conjugated goat anti-rabbit antibody was used as the secondary.)
WB (Western Blot)
(Western blot analysis of extracts of THP-1 cells, using Phospho-TRAF2 (Ser11) Antibody.)
Subunit Structure: Homotrimer (PubMed:8069916). Heterotrimer with TRAF1 (PubMed:8069916). Heterotrimer with TRAF3 (via TRAF domain) (PubMed:15383523, PubMed:20447407). The domain containing the RING-type and the first TRAF-type zinc finger can also form homodimers (in vitro) (PubMed:19810754). Interacts with TNFRSF1B/TNFR2 (PubMed:7639698, PubMed:8069916, PubMed:10206649). Interacts with TNFRSF5/CD40 (PubMed:9718306). Interacts with TNFRSF4, TNFRSF7/CD27, TNFRSF8/CD30, TNFRSF9/CD137, TNFRSF11A/RANK, TNFRSF13B/TACI, TNFRSF14, TNFRSF16/NGFR, TNFRSF17/BCMA, TNFRSF18/AITR, TNFRSF19/TROY, TNFRSF19L/RELT, EDAR and IL15RA (PubMed:8627180, PubMed:9153189, PubMed:9692890, PubMed:9488716, PubMed:9774460, PubMed:9607925, PubMed:9418902, PubMed:10463949, PubMed:10037686, PubMed:10514511, PubMed:10809768, PubMed:10880535, PubMed:11035039, PubMed:10411888). Stimulation of TNF-alpha receptor TNFRSF1A leads to the formation of two distinct signaling complexes. Plasma membrane-bound complex I is composed of TNFRSF1A, TRADD, RIPK1, TRAF2 and BIRC2/c-IAP1 or BIRC3 which interacts with CHUCK/IKK-alpha, IKBKB/IKK-beta and IKBKG/IKK-gamma promoting cell survival (PubMed:21307340, PubMed:18981220). Subsequently, TRADD, RIPK1 and TRAF2 dissociate from TNFRSF1A and form cytoplasmic complex II with FADD and caspase CASP8 promoting cell apoptosis (PubMed:21307340). Interacts with TRADD (PubMed:10892748). Identified in a complex with TNFRSF1A, RIPK1 and IKBKB/IKK-beta (PubMed:18981220). Interacts with RIPK2 (PubMed:9705938). Interacts with BIRC2 and BIRC3 N-terminus; a single BIRC2 or BIRC3 molecule interacts with a heterotrimer formed by TRAF1 and TRAF2, or a TRAF2 homotrimer (PubMed:11907583, PubMed:19506082, PubMed:20447407, PubMed:20385093). Identified in a complex composed of TRAF2, TRAF3, BIRC2 and BIRC3 (By similarity). Interacts with BIRC2; the interaction promotes BIRC2 stability (PubMed:19506082). Interaction with BIRC2 and/or BIRC3 is essential for ubiquitination of IKBKE, degradation of NFKBIA and activation of NF-kappa-B (By similarity). Within complex I, phosphorylated TRAF2 interacts (via 'Lys-63'-linked polyubiquitin chains) with CHUCK/IKK-alpha, IKBKB/IKK-beta, IKBKG/IKK-gamma TAB2, TAB3 and TAK1 in response to TNF-alpha stimulation (PubMed:19150425). Within complex I, interacts with UXT isoform 1 (via TPQE motif); the interaction prevents the recruitment of FADD and CASP8/caspase 8 to complex I (PubMed:21307340). Forms a complex composed of TNFRSF8/CD30 or TNFRSF1B/TNFR2, and TRAF1, TRAF2 and E3 ligase TRAIP (PubMed:9104814). Within the complex, interacts with TRAIP; the interaction inhibits TRAF2-mediated NF-kappa B activation (PubMed:9104814). Component of a complex composed of TANK and TBK1 (PubMed:10581243). Interacts with TRPC4AP (By similarity). Interacts with MAP3K1/MEKK1, MAP3K5/ASK1 and MAP3K11/MLK3 in response to TNF-alpha stimulation; the interaction leads to JNK activation (PubMed:10346818, PubMed:19918265, PubMed:9774977). Component of a complex composed of MAP3K14/NIK BIRC3 and TRAF3; the interaction leads to BIRC2/3-mediated ubiquitination of TRAF3 upon CD40 engagement in a TRAF2-dependent manner (By similarity). Interacts with MAP3K14/NIK in response to TNF-alpha stimulation; the interaction leads to NF-kappa B activation (PubMed:9020361). Interacts with PEG3; the interaction may promote TRAF2-mediated NF-kappa B activation (By similarity). Interacts with HIVEP3; the interaction may inhibit TNF-alpha-TRAF2-mediated NF-kappa B and JNK activation (By similarity). Interacts with TANK/ITRAF; the interaction prevents interaction between TNFRSF1B/TNFR2 and TRAF2 (PubMed:8710854). Interacts with deubiquitinating enzyme CYLD; the interaction results in the deubiquitination and inactivation of TRAF2 (PubMed:12917691). Interacts with SIAH2; the interaction leads to TRAF2 ubiquitination and degradation (PubMed:12411493). Interacts with E2 conjugating enzyme UBE2N/Ubc13, E3 ligase ITCH and RNF11 in response to TNF-alpha stimulation (By similarity). Interacts with ubiquitin-editing enzyme TNFAIP3/A20 in response to TNF-alpha stimulation; the interaction promotes TRAF2 dissociation from UBE2N/Ubc13, ITCH, RNF11 and TAX1BP1 and prevents prolonged TRAF-2 ubiquitination (By similarity). Interacts with TAX1BP1 in response to TNF-alpha stimulation; the interaction promotes TRAF2 dissociation from UBE2N/Ubc13 and TNFAIP3/A20, and prevents prolonged TRAF-2 ubiquitination (By similarity). Interacts (via C-terminus) with EIF2AK2/PKR (via the kinase catalytic domain) (PubMed:15121867). Interacts with deubiquitinating enzyme USP48 (PubMed:16214042). Interacts with PTPN2; probably involved in TNF-mediated signaling (PubMed:15696169). Interacts with Toll-like receptor TLR4/3 adapter TICAM1/TRIF; the interaction may promotes TICAM1 ubiquitination (PubMed:20047764). Interacts with kinase/endoribonuclease ERN1/IRE1 and DAB2IP in response to ER stress; the interaction requires DAB2IP (By similarity). Interacts with ERN1/IRE1 and TAOK3 in response to ER stress; the interaction may promote TRAF2 phosphorylation (PubMed:11278723). Interacts (via zinc fingers) with DAB2IP (via C-terminus PER domain)in response to TNF-alpha stimulation (PubMed:15310755, PubMed:17389591). Interacts with CASP8AP2/FLASH (By similarity). Interacts with NFATC2IP; the interaction may repress IL-4 production in T cells (By similarity). Interacts with kinase CDK9 (PubMed:9827693). Interacts with sphingosine kinase 1 SPHK1 (PubMed:20577214). Interacts with kinase TNIK (PubMed:10521462). Interacts with TRAFD1 (By similarity). Interacts with DNA phosphodiesterase TDP2 (PubMed:10764746). Interacts with MAVS/IPS1 (PubMed:16153868). Interacts with CARD14 (PubMed:21302310). Interacts with Epstein-Barr virus LMP1/BNFL1 (PubMed:10411888). Interacts with GPS2 (By similarity). Interacts with XPNPEP3 (PubMed:25609706).
Post-translational Modifications: Phosphorylated at several serine residues within the first 128 amino acid residues. Phosphorylated at Thr-117 in response to signaling via TNF and TNFRSF1A. Phosphorylation at Thr-117 is required for 'Lys-63'-linked polyubiquitination, but not for 'Lys-48'-linked polyubiquitination. Phosphorylation at Thr-117 is important for interaction with IKKA and IKKB, activation of IKK and subsequent activation of NF-kappa-B. Undergoes both 'Lys-48'-linked and 'Lys-63'-linked polyubiquitination. Polyubiquitinated via 'Lys-63'-linked ubiquitin in response to TNF signaling; this requires prior phosphorylation at Thr-117. 'Lys-63'-linked polyubiquitination promotes TRAF2-mediated activation of NF-kappa-B. Can be polyubiquitinated at several Lys residues via 'Lys-48'-linked ubiquitin chains in response to TNF signaling, leading to proteasomal degradation. Autoubiquitinated, leading to its subsequent proteasomal degradation. Polyubiquitinated by BIRC2 and SIAH2, leading to its subsequent proteasomal degradation. Deubiquitinated by CYLD, a protease that specifically cleaves 'Lys-63'-linked polyubiquitin chains.
Similarity: The coiled coil domain mediates homo-and hetero-oligomerization.The MATH/TRAF domain binds to receptor cytoplasmic domains.The RING-type zinc finger domain is essential for E3 ubiquitin-protein ligase activity. It is not essential for the stabilization of BIRC2, or for the ubiquitination of RIPK1 in response to TNFR1 signaling. Belongs to the TNF receptor-associated factor family. A subfamily.
NCBI and Uniprot Product Information
Predicted: 56 kDa
Customer Reviews
Loading reviews...
Share Your Experience
Similar Products
Product Notes
The TRAF2 traf2 (Catalog #AAA321410) is an Antibody produced from Rabbit and is intended for research purposes only. The product is available for immediate purchase. The Phospho-TRAF2 (Ser11) Antibody reacts with Human, Mouse, Rat and may cross-react with other species as described in the data sheet. AAA Biotech's TRAF2 can be used in a range of immunoassay formats including, but not limited to, IHC (Immunohistochemistry), WB (Western Blot). Researchers should empirically determine the suitability of the TRAF2 traf2 for an application not listed in the data sheet. Researchers commonly develop new applications and it is an integral, important part of the investigative research process. It is sometimes possible for the material contained within the vial of "TRAF2, Polyclonal Antibody" to become dispersed throughout the inside of the vial, particularly around the seal of said vial, during shipment and storage. We always suggest centrifuging these vials to consolidate all of the liquid away from the lid and to the bottom of the vial prior to opening. Please be advised that certain products may require dry ice for shipping and that, if this is the case, an additional dry ice fee may also be required.Precautions
All products in the AAA Biotech catalog are strictly for research-use only, and are absolutely not suitable for use in any sort of medical, therapeutic, prophylactic, in-vivo, or diagnostic capacity. By purchasing a product from AAA Biotech, you are explicitly certifying that said products will be properly tested and used in line with industry standard. AAA Biotech and its authorized distribution partners reserve the right to refuse to fulfill any order if we have any indication that a purchaser may be intending to use a product outside of our accepted criteria.Disclaimer
Though we do strive to guarantee the information represented in this datasheet, AAA Biotech cannot be held responsible for any oversights or imprecisions. AAA Biotech reserves the right to adjust any aspect of this datasheet at any time and without notice. It is the responsibility of the customer to inform AAA Biotech of any product performance issues observed or experienced within 30 days of receipt of said product. To see additional details on this or any of our other policies, please see our Terms & Conditions page.Item has been added to Shopping Cart
If you are ready to order, navigate to Shopping Cart and get ready to checkout.
