Rabbit anti-Human TRIM25 Polyclonal Antibody | anti-TRIM25 antibody
TRIM25 Antibody
Gene Names
TRIM25; EFP; Z147; RNF147; ZNF147
Reactivity
Human
Applications
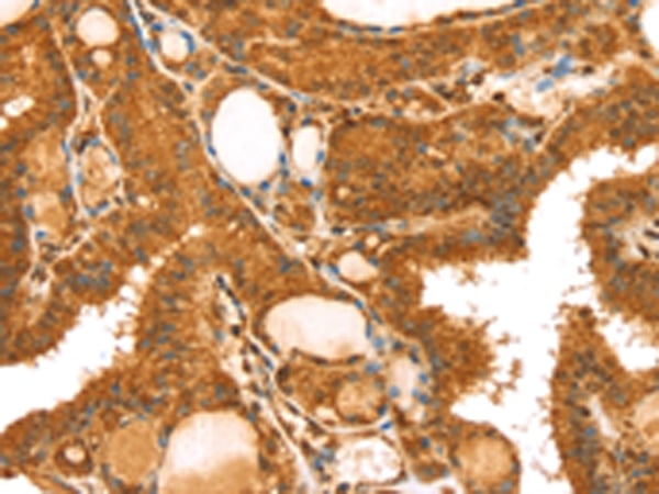
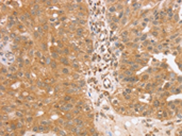
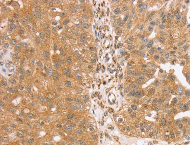
Immunohistochemistry
Purity
Antigen Affinity Purification
Synonyms
TRIM25, Antibody; TRIM25 Antibody; EFP; Z147; RNF147; ZNF147; anti-TRIM25 antibody
Host
Rabbit
Reactivity
Human
Clonality
Polyclonal
Specificity
The antibody detects endogenous levels of total TRIM25 protein.
Purity/Purification
Antigen Affinity Purification
Form/Format
Rabbit IgG in pH7.4 PBS, 0.05% NaN3, 40% Glycerol.
Concentration
2.6 mg/ml (varies by lot)
Sequence Length
630
Applicable Applications for anti-TRIM25 antibody
IHC (Immunohistochemistry)
Immunogen
Synthetic peptide of human TRIM25
Immunogen Type
Peptide
Preparation and Storage
Store at -20 degree C
Related Product Information for anti-TRIM25 antibody
The protein encoded by this gene is a member of the tripartite motif (TRIM) family. The TRIM motif includes three zinc-binding domains, a RING, a B-box type 1 and a B-box type 2, and a coiled-coil region. The protein localizes to the cytoplasm. The presence of potential DNA-binding and dimerization-transactivation domains suggests that this protein may act as a transcription factor, similar to several other members of the TRIM family. Expression of the gene is upregulated in response to estrogen, and it is thought to mediate estrogen actions in breast cancer as a primary response gene.
Product Categories/Family for anti-TRIM25 antibody
NCBI and Uniprot Product Information
NCBI GI #
NCBI GeneID
NCBI Accession #
NCBI GenBank Nucleotide #
UniProt Accession #
Molecular Weight
70,973 Da
NCBI Official Full Name
E3 ubiquitin/ISG15 ligase TRIM25
NCBI Official Synonym Full Names
tripartite motif containing 25
NCBI Official Symbol
TRIM25
NCBI Official Synonym Symbols
EFP; Z147; RNF147; ZNF147
NCBI Protein Information
E3 ubiquitin/ISG15 ligase TRIM25
UniProt Protein Name
E3 ubiquitin/ISG15 ligase TRIM25
UniProt Gene Name
TRIM25
UniProt Synonym Gene Names
EFP; RNF147; ZNF147
UniProt Entry Name
TRI25_HUMAN
Customer Reviews
Loading reviews...
Share Your Experience
Similar Products
Product Notes
The TRIM25 trim25 (Catalog #AAA308434) is an Antibody produced from Rabbit and is intended for research purposes only. The product is available for immediate purchase. The TRIM25 Antibody reacts with Human and may cross-react with other species as described in the data sheet. AAA Biotech's TRIM25 can be used in a range of immunoassay formats including, but not limited to, IHC (Immunohistochemistry). Researchers should empirically determine the suitability of the TRIM25 trim25 for an application not listed in the data sheet. Researchers commonly develop new applications and it is an integral, important part of the investigative research process. It is sometimes possible for the material contained within the vial of "TRIM25, Polyclonal Antibody" to become dispersed throughout the inside of the vial, particularly around the seal of said vial, during shipment and storage. We always suggest centrifuging these vials to consolidate all of the liquid away from the lid and to the bottom of the vial prior to opening. Please be advised that certain products may require dry ice for shipping and that, if this is the case, an additional dry ice fee may also be required.Precautions
All products in the AAA Biotech catalog are strictly for research-use only, and are absolutely not suitable for use in any sort of medical, therapeutic, prophylactic, in-vivo, or diagnostic capacity. By purchasing a product from AAA Biotech, you are explicitly certifying that said products will be properly tested and used in line with industry standard. AAA Biotech and its authorized distribution partners reserve the right to refuse to fulfill any order if we have any indication that a purchaser may be intending to use a product outside of our accepted criteria.Disclaimer
Though we do strive to guarantee the information represented in this datasheet, AAA Biotech cannot be held responsible for any oversights or imprecisions. AAA Biotech reserves the right to adjust any aspect of this datasheet at any time and without notice. It is the responsibility of the customer to inform AAA Biotech of any product performance issues observed or experienced within 30 days of receipt of said product. To see additional details on this or any of our other policies, please see our Terms & Conditions page.Item has been added to Shopping Cart
If you are ready to order, navigate to Shopping Cart and get ready to checkout.
