Rabbit anti-Human TRPM4 Polyclonal Antibody | anti-TRPM4 antibody
TRPM4 Antibody
Gene Names
TRPM4; LTrpC4; PFHB1B; TRPM4B; hTRPM4
Reactivity
Human
Applications
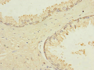
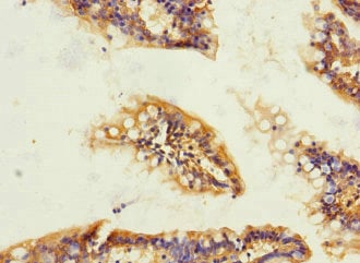
Immunohistochemistry, ELISA
Purity
Antigen Affinity Purified
Synonyms
TRPM4, Antibody; TRPM4 Antibody; Transient receptor potential cation channel subfamily M member 4; hTRPM4; Calcium-activated non-selective cation channel 1; Long transient receptor potential channel 4; LTrpC-4; LTrpC4; Melastatin-4; TRPM4; LTRPC4; anti-TRPM4 antibody
Host
Rabbit
Reactivity
Human
Clonality
Polyclonal
Isotype
IgG
Purity/Purification
Antigen Affinity Purified
Form/Format
Liquid
Sequence Length
1069
Applicable Applications for anti-TRPM4 antibody
IHC (Immunohistochemistry), ELISA
Species
Human
Immunogen
Recombinant human Transient receptor potential cation channel subfamily M member 4 protein (N-240AA)
Conjugate
Non-conjugated
Buffer
PBS with 0.02% sodium azide, 50% glycerol, pH7.3.
Santa Cruz Alternative
Potential replacement for Santa Cruz Biotechnology antibody catalog# sc-27539 / sc-27540 / sc-67125
Preparation and Storage
Shipped at 4 degree C. Upon delivery aliquot and store at -20 degree C or -80 degree C. Avoid repeated freeze.
Related Product Information for anti-TRPM4 antibody
Calcium-activated non selective (CAN) cation channel that mediates membrane depolarization. While it is activated by increase in intracellular Ca(2+), it is impermeable to it. Mediates transport of monovalent cations (Na(+) > K(+) > Cs(+) > Li(+)), leading to depolarize the membrane. It thereby plays a central role in cadiomyocytes, neurons from entorhinal cortex, dorsal root and vomeronasal neurons, endocrine pancreas cells, kidney epithelial cells, cochlea hair cells etc. Participates in T-cell activation by modulating Ca(2+) oscillations after T lymphocyte activation, which is required for NFAT-dependent IL2 production. Involved in myogenic constriction of cerebral arteries. Controls insulin secretion in pancreatic beta-cells. May also be involved in pacemaking or could cause irregular electrical activity under conditions of Ca(2+) overload. Affects T-helper 1 (Th1) and T-helper 2 (Th2) cell motility and cytokine production through differential regulation of calcium signaling and NFATC1 localization. Enhances cell proliferation through up-regulation of the beta-catenin signaling pathway.
NCBI and Uniprot Product Information
NCBI GI #
NCBI GeneID
NCBI Accession #
NCBI GenBank Nucleotide #
Molecular Weight
118,630 Da
NCBI Official Full Name
transient receptor potential cation channel subfamily M member 4 isoform 2
NCBI Official Synonym Full Names
transient receptor potential cation channel subfamily M member 4
NCBI Official Symbol
TRPM4
NCBI Official Synonym Symbols
LTrpC4; PFHB1B; TRPM4B; hTRPM4
NCBI Protein Information
transient receptor potential cation channel subfamily M member 4
UniProt Protein Name
Transient receptor potential cation channel subfamily M member 4
UniProt Gene Name
TRPM4
UniProt Synonym Gene Names
LTRPC4; hTRPM4; LTrpC-4; LTrpC4
UniProt Entry Name
TRPM4_HUMAN
Customer Reviews
Loading reviews...
Share Your Experience
Similar Products
Product Notes
The TRPM4 trpm4 (Catalog #AAA232086) is an Antibody produced from Rabbit and is intended for research purposes only. The product is available for immediate purchase. The TRPM4 Antibody reacts with Human and may cross-react with other species as described in the data sheet. AAA Biotech's TRPM4 can be used in a range of immunoassay formats including, but not limited to, IHC (Immunohistochemistry), ELISA. Researchers should empirically determine the suitability of the TRPM4 trpm4 for an application not listed in the data sheet. Researchers commonly develop new applications and it is an integral, important part of the investigative research process. It is sometimes possible for the material contained within the vial of "TRPM4, Polyclonal Antibody" to become dispersed throughout the inside of the vial, particularly around the seal of said vial, during shipment and storage. We always suggest centrifuging these vials to consolidate all of the liquid away from the lid and to the bottom of the vial prior to opening. Please be advised that certain products may require dry ice for shipping and that, if this is the case, an additional dry ice fee may also be required.Precautions
All products in the AAA Biotech catalog are strictly for research-use only, and are absolutely not suitable for use in any sort of medical, therapeutic, prophylactic, in-vivo, or diagnostic capacity. By purchasing a product from AAA Biotech, you are explicitly certifying that said products will be properly tested and used in line with industry standard. AAA Biotech and its authorized distribution partners reserve the right to refuse to fulfill any order if we have any indication that a purchaser may be intending to use a product outside of our accepted criteria.Disclaimer
Though we do strive to guarantee the information represented in this datasheet, AAA Biotech cannot be held responsible for any oversights or imprecisions. AAA Biotech reserves the right to adjust any aspect of this datasheet at any time and without notice. It is the responsibility of the customer to inform AAA Biotech of any product performance issues observed or experienced within 30 days of receipt of said product. To see additional details on this or any of our other policies, please see our Terms & Conditions page.Item has been added to Shopping Cart
If you are ready to order, navigate to Shopping Cart and get ready to checkout.
