Rabbit TRPM8 Polyclonal Antibody | anti-TRPM8 antibody
TRPM8 antibody - N-terminal region
Predicted Species Reactivity: Human, Mouse, Rat, Cow, Dog, Guinea Pig, Horse, Pig, Rabbit
Predicted Species Reactivity: Human, Mouse, Rat, Cow, Dog, Guinea Pig, Horse, Pig, Rabbit
SDS_PAGE
(25 ug of the indicated Human whole cell extracts was loaded onto a 6-18% SDS-PAGE gel. 0.5 ug/mL of the antibody was used in this experiment. An isoform containing the peptide sequence is present at ~ 19 kDa.)
WB (Western Blot)
(Host: RabbitTarget Name: TRPM8 Sample Tissue: Human 293T Whole CellAntibody Dilution: 1ug/ml)
WB (Western Blot)
(WB Suggested Anti-TRPM8 Antibody Titration: 0.2-1 ug/mlELISA Titer: 1:312500Positive Control: ACHN cell lysate)
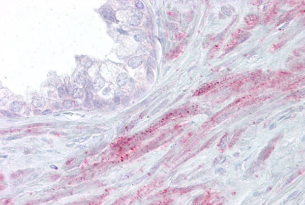
IHC (Immunohistochemistry)
(Immunohistochemistry with Prostate tissue at an antibody concentration of 5ug/ml using anti-TRPM8 antibody)
Target Description: TRPM8 is the receptor-activated non-selective cation channel involved in detection of sensations such as coolness, by being activated by cold temperature below 25 degrees Celsius. TRPM8 is activated by icilin, eucalyptol, menthol, cold and modulation of intracellular pH. TRPM8 is involved in menthol sensation. TRPM8 is permeable for monovalent cations sodium, potassium, and cesium and divalent cation calcium. Temperature sensing is tightly linked to voltage-dependent gating. TRPM8 was activated upon depolarization, changes in temperature resulting in graded shifts of its voltage-dependent activation curves. The chemical agonists menthol functions as a gating modifier, shifting activation curves towards physiological membrane potentials. Temperature sensitivity arises from a tenfold difference in the activation energies associated with voltage-dependent opening and closing.
NCBI and Uniprot Product Information
Customer Reviews
Loading reviews...
Share Your Experience
Similar Products
Product Notes
The TRPM8 trpm8 (Catalog #AAA197963) is an Antibody produced from Rabbit and is intended for research purposes only. The product is available for immediate purchase. The TRPM8 antibody - N-terminal region reacts with Tested Species Reactivity: Human Predicted Species Reactivity: Human, Mouse, Rat, Cow, Dog, Guinea Pig, Horse, Pig, Rabbit and may cross-react with other species as described in the data sheet. AAA Biotech's TRPM8 can be used in a range of immunoassay formats including, but not limited to, WB (Western Blot), IHC (Immunohistochemistry). Researchers should empirically determine the suitability of the TRPM8 trpm8 for an application not listed in the data sheet. Researchers commonly develop new applications and it is an integral, important part of the investigative research process. The amino acid sequence is listed below: Synthetic peptide located within the following region: YILDNNHTHL LLVDNGCHGH PTVEAKLRNQ LEKYISERTI QDSNYGGKIP. It is sometimes possible for the material contained within the vial of "TRPM8, Polyclonal Antibody" to become dispersed throughout the inside of the vial, particularly around the seal of said vial, during shipment and storage. We always suggest centrifuging these vials to consolidate all of the liquid away from the lid and to the bottom of the vial prior to opening. Please be advised that certain products may require dry ice for shipping and that, if this is the case, an additional dry ice fee may also be required.Precautions
All products in the AAA Biotech catalog are strictly for research-use only, and are absolutely not suitable for use in any sort of medical, therapeutic, prophylactic, in-vivo, or diagnostic capacity. By purchasing a product from AAA Biotech, you are explicitly certifying that said products will be properly tested and used in line with industry standard. AAA Biotech and its authorized distribution partners reserve the right to refuse to fulfill any order if we have any indication that a purchaser may be intending to use a product outside of our accepted criteria.Disclaimer
Though we do strive to guarantee the information represented in this datasheet, AAA Biotech cannot be held responsible for any oversights or imprecisions. AAA Biotech reserves the right to adjust any aspect of this datasheet at any time and without notice. It is the responsibility of the customer to inform AAA Biotech of any product performance issues observed or experienced within 30 days of receipt of said product. To see additional details on this or any of our other policies, please see our Terms & Conditions page.Item has been added to Shopping Cart
If you are ready to order, navigate to Shopping Cart and get ready to checkout.
