Rabbit anti-Human Tumor necrosis factor receptor superfamily member 6 Polyclonal Antibody | anti-FAS antibody
Tumor necrosis factor receptor superfamily member 6 Polyclonal Antibody
Gene Names
FAS; APT1; CD95; FAS1; APO-1; FASTM; ALPS1A; TNFRSF6
Reactivity
Human
Applications
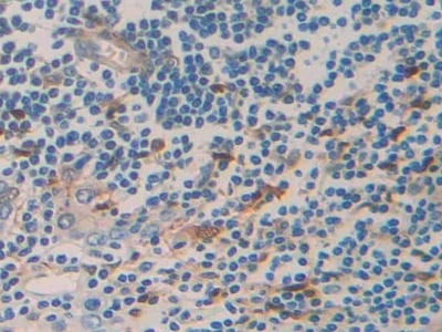
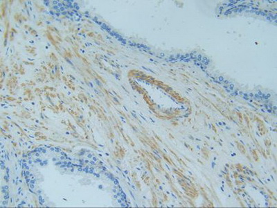
Immunohistochemistry, Western Blot
Purity
Caprylic Acid Ammonium Sulfate Precipitation purified
Synonyms
Tumor necrosis factor receptor superfamily member 6, Antibody; Tumor necrosis factor receptor superfamily member 6 Polyclonal Antibody; anti-FAS antibody
Host
Rabbit
Reactivity
Human
Clonality
Polyclonal
Specificity
The antibody detects endogenous level of total Tumor necrosis factor receptor superfamily member 6 polyclonal antibody.
Purity/Purification
Caprylic Acid Ammonium Sulfate Precipitation purified
Form/Format
Preservative: 0.03% Proclin 300 Constituents: 50% Glycerol, 0.01M PBS, PH 7.4
Concentration
1.0 mg/ml (varies by lot)
Sequence Length
335
Applicable Applications for anti-FAS antibody
IHC (Immunohistochemistry), WB (Western Blot)
Immunogen
Recombinant Human Tumor necrosis factor receptor superfamily member 6 protein
Immunogen Type
Protein
Preparation and Storage
Store at -20 degree C
Related Product Information for anti-FAS antibody
Receptor for TNFSF6/FASLG. The adapter molecule FADD recruits caspase-8 to the activated receptor. The resulting death-inducing signaling complex (DISC) performs caspase-8 proteolytic activation which initiates the subsequent cascade of caspases (aspartate-specific cysteine proteases) mediating apoptosis. FAS-mediated apoptosis may have a role in the induction of peripheral tolerance, in the antigen-stimulated suicide of mature T-cells, or both. The secreted isoforms2 to 6 block apoptosis (in vitro).
Product Categories/Family for anti-FAS antibody
NCBI and Uniprot Product Information
NCBI GI #
NCBI GeneID
NCBI Accession #
NCBI GenBank Nucleotide #
UniProt Accession #
Molecular Weight
24,781 Da
NCBI Official Full Name
tumor necrosis factor receptor superfamily member 6 isoform 1
NCBI Official Synonym Full Names
Fas cell surface death receptor
NCBI Official Symbol
FAS
NCBI Official Synonym Symbols
APT1; CD95; FAS1; APO-1; FASTM; ALPS1A; TNFRSF6
NCBI Protein Information
tumor necrosis factor receptor superfamily member 6
UniProt Protein Name
Tumor necrosis factor receptor superfamily member 6
UniProt Gene Name
FAS
UniProt Synonym Gene Names
APT1; FAS1; TNFRSF6
UniProt Entry Name
TNR6_HUMAN
Customer Reviews
Loading reviews...
Share Your Experience
Similar Products
Product Notes
The FAS fas (Catalog #AAA308489) is an Antibody produced from Rabbit and is intended for research purposes only. The product is available for immediate purchase. The Tumor necrosis factor receptor superfamily member 6 Polyclonal Antibody reacts with Human and may cross-react with other species as described in the data sheet. AAA Biotech's Tumor necrosis factor receptor superfamily member 6 can be used in a range of immunoassay formats including, but not limited to, IHC (Immunohistochemistry), WB (Western Blot). Researchers should empirically determine the suitability of the FAS fas for an application not listed in the data sheet. Researchers commonly develop new applications and it is an integral, important part of the investigative research process. It is sometimes possible for the material contained within the vial of "Tumor necrosis factor receptor superfamily member 6, Polyclonal Antibody" to become dispersed throughout the inside of the vial, particularly around the seal of said vial, during shipment and storage. We always suggest centrifuging these vials to consolidate all of the liquid away from the lid and to the bottom of the vial prior to opening. Please be advised that certain products may require dry ice for shipping and that, if this is the case, an additional dry ice fee may also be required.Precautions
All products in the AAA Biotech catalog are strictly for research-use only, and are absolutely not suitable for use in any sort of medical, therapeutic, prophylactic, in-vivo, or diagnostic capacity. By purchasing a product from AAA Biotech, you are explicitly certifying that said products will be properly tested and used in line with industry standard. AAA Biotech and its authorized distribution partners reserve the right to refuse to fulfill any order if we have any indication that a purchaser may be intending to use a product outside of our accepted criteria.Disclaimer
Though we do strive to guarantee the information represented in this datasheet, AAA Biotech cannot be held responsible for any oversights or imprecisions. AAA Biotech reserves the right to adjust any aspect of this datasheet at any time and without notice. It is the responsibility of the customer to inform AAA Biotech of any product performance issues observed or experienced within 30 days of receipt of said product. To see additional details on this or any of our other policies, please see our Terms & Conditions page.Item has been added to Shopping Cart
If you are ready to order, navigate to Shopping Cart and get ready to checkout.
