Loading...

Skip to main content
Call us at +1-800-604-9114 for more information about our products or contact us online Need help? +1-800-604-9114 or contact us
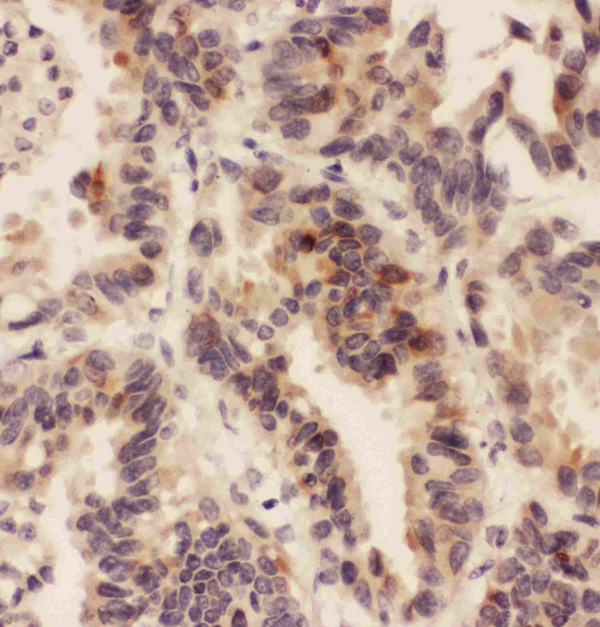
product-image-AAA175209_IHC13.png IHC (Immunohiostchemistry) (Immunohistochemistry of paraffin-embedded Human gastric cancer tissue using VTI1A Polyclonal Antibody at dilution of 1:35(×200))

Rabbit anti-Human, Mouse VTI1A Polyclonal Antibody | anti-VTI1A antibody

VTI1A Polyclonal Antibody

Average rating 0.0
No ratings yet
Gene Names
VTI1A; MMDS3; MVti1; VTI1RP2; Vti1-rp2
Reactivity
Human, Mouse
Applications
ELISA, Immunohistochemistry, Western Blot
Purity
Antigen Affinity Purification
Synonyms
VTI1A, Antibody; VTI1A Polyclonal Antibody; MMDS3; MVti1; SNARE Vti1a beta protein; Vesicle transport through interaction with t-SNAREs homolog 1A; Vesicle transport through interaction with tSNAREs homolog 1A (yeast); Vesicle transport v-SNARE protein Vti1-like 2; Vti1 rp2; Vti1-rp2; Vti1a; VTI1A vesicle transport through interaction with t-SNAREs 1A; VTI1A; VTI1RP2; anti-VTI1A antibody
Ordering
Host
Rabbit
Reactivity
Human, Mouse
Clonality
Polyclonal
Isotype
IgG
Purity/Purification
Antigen Affinity Purification
Form/Format
PBS with 0.05% NaN3 and 40% Glycerol, pH7.4
Concentration
0.5mg/mL (varies by lot)
Sequence Length
217
Applicable Applications for anti-VTI1A antibody
ELISA, IHC (Immunohistochemistry), WB (Western Blot)
Immunogen
Full length fusion protein
Conjugation
Unconjugated
Preparation and Storage
Store at -20 degree C. Avoid freeze/thaw cycles.

IHC (Immunohiostchemistry)

(Immunohistochemistry of paraffin-embedded Human gastric cancer tissue using VTI1A Polyclonal Antibody at dilution of 1:35(×200))

product-image-AAA175209_IHC13.png IHC (Immunohiostchemistry) (Immunohistochemistry of paraffin-embedded Human gastric cancer tissue using VTI1A Polyclonal Antibody at dilution of 1:35(×200))

WB (Western Blot)

(Western blot analysis of HEPG2 Hela Jurkat 231 and HUVEC cell lysates using VTI1A Polyclonal Antibody at dilution of 1:350)

product-image-AAA175209_WB15.png WB (Western Blot) (Western blot analysis of HEPG2 Hela Jurkat 231 and HUVEC cell lysates using VTI1A Polyclonal Antibody at dilution of 1:350)
Related Product Information for anti-VTI1A antibody
The protein encoded by this gene is a member of the family of soluble N-ethylmaleimide-sensitive fusion protein-attachment protein receptors (SNAREs) that function in intracellular trafficking. This family member is involved in vesicular transport between endosomes and the trans-Golgi network. It is a vesicle-associated SNARE (v-SNARE) that interacts with target membrane SNAREs (t-SNAREs). Polymorphisms in this gene have been associated with binocular function, and also with susceptibility to colorectal and lung cancers. A recurrent rearrangement has been found between this gene and the transcription factor 7-like 2 (TCF7L2) gene in colorectal cancers. Alternative splicing results in multiple transcript variants.
Product Categories/Family for anti-VTI1A antibody

NCBI and Uniprot Product Information

NCBI GI #
NCBI GeneID
NCBI Accession #
NCBI GenBank Nucleotide #
UniProt Accession #
Molecular Weight
25 kDa
NCBI Official Full Name
vesicle transport through interaction with t-SNAREs homolog 1A isoform b
NCBI Official Synonym Full Names
vesicle transport through interaction with t-SNAREs 1A
NCBI Official Symbol
VTI1A
NCBI Official Synonym Symbols
MMDS3; MVti1; VTI1RP2; Vti1-rp2
NCBI Protein Information
vesicle transport through interaction with t-SNAREs homolog 1A
UniProt Protein Name
Vesicle transport through interaction with t-SNAREs homolog 1A
UniProt Gene Name
VTI1A
UniProt Entry Name
VTI1A_HUMAN

Customer Reviews

View All Reviews

Loading reviews...

Share Your Experience

Rating

Similar Products

Product Notes

The VTI1A vti1a (Catalog #AAA175209) is an Antibody produced from Rabbit and is intended for research purposes only. The product is available for immediate purchase. The VTI1A Polyclonal Antibody reacts with Human, Mouse and may cross-react with other species as described in the data sheet. AAA Biotech's VTI1A can be used in a range of immunoassay formats including, but not limited to, ELISA, IHC (Immunohistochemistry), WB (Western Blot). Researchers should empirically determine the suitability of the VTI1A vti1a for an application not listed in the data sheet. Researchers commonly develop new applications and it is an integral, important part of the investigative research process. It is sometimes possible for the material contained within the vial of "VTI1A, Polyclonal Antibody" to become dispersed throughout the inside of the vial, particularly around the seal of said vial, during shipment and storage. We always suggest centrifuging these vials to consolidate all of the liquid away from the lid and to the bottom of the vial prior to opening. Please be advised that certain products may require dry ice for shipping and that, if this is the case, an additional dry ice fee may also be required.

Precautions

All products in the AAA Biotech catalog are strictly for research-use only, and are absolutely not suitable for use in any sort of medical, therapeutic, prophylactic, in-vivo, or diagnostic capacity. By purchasing a product from AAA Biotech, you are explicitly certifying that said products will be properly tested and used in line with industry standard. AAA Biotech and its authorized distribution partners reserve the right to refuse to fulfill any order if we have any indication that a purchaser may be intending to use a product outside of our accepted criteria.

Disclaimer

Though we do strive to guarantee the information represented in this datasheet, AAA Biotech cannot be held responsible for any oversights or imprecisions. AAA Biotech reserves the right to adjust any aspect of this datasheet at any time and without notice. It is the responsibility of the customer to inform AAA Biotech of any product performance issues observed or experienced within 30 days of receipt of said product. To see additional details on this or any of our other policies, please see our Terms & Conditions page.

Item has been added to Shopping Cart

If you are ready to order, navigate to Shopping Cart and get ready to checkout.

Submit a Question

Please complete the form below and a representative will contact you as soon as possible.

Request more Information

Please complete the form below and a representative will contact you as soon as possible.

Request a Manual

Please complete the form below and a representative will contact you as soon as possible.

Request a Quote

Please complete the form below and a representative will contact you as soon as possible.