Rabbit ZC3H12D Polyclonal Antibody | anti-ZC3H12D antibody
ZC3H12D Polyclonal Antibody
Gene Names
ZC3H12D; TFL; p34; MCPIP4; C6orf95; dJ281H8.1
Reactivity
Human, Mouse, Rat
Applications
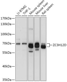
Immunofluorescence, Western Blot
Purity
Affinity purification
Synonyms
ZC3H12D, Antibody; ZC3H12D Polyclonal Antibody; C6orf95; MCPIP4; TFL; dJ281H8.1; p34; ZC3H12D; anti-ZC3H12D antibody
Host
Rabbit
Reactivity
Human, Mouse, Rat
Clonality
Polyclonal
Isotype
IgG
Purity/Purification
Affinity purification
Form/Format
PBS with 0.01% thiomersal,50% glycerol,pH7.3.
Concentration
1mg/mL (varies by lot)
Applicable Applications for anti-ZC3H12D antibody
IF (Immunofluorescence), WB (Western Blot)
Immunogen
Recombinant fusion protein of human ZC3H12D
Preparation and Storage
Storage: -20 degree C/One year. Avoid freeze/thaw cycles.
Related Product Information for anti-ZC3H12D antibody
May regulate cell growth likely by suppressing RB1 phosphorylation. May function as RNase and regulate the levels of target RNA species (Potential. In association with ZC3H12A enhances the degradation of interleukin IL-6 mRNA level in activated macrophages. Serve as a tumor suppressor in certain leukemia cells. Overexpression inhibits the G1 to S phase progression through suppression of RB1 phosphorylation.
Product Categories/Family for anti-ZC3H12D antibody
NCBI and Uniprot Product Information
NCBI GI #
NCBI GeneID
Molecular Weight
36,199 Da
NCBI Official Full Name
hCG1749747, isoform CRA_a
NCBI Official Synonym Full Names
zinc finger CCCH-type containing 12D
NCBI Official Symbol
ZC3H12D
NCBI Official Synonym Symbols
TFL; p34; MCPIP4; C6orf95; dJ281H8.1
NCBI Protein Information
probable ribonuclease ZC3H12D; p34; tumor suppressor TFL; transformed follicular lymphoma; Zinc finger CCCH domain-containing protein 12D
UniProt Protein Name
Probable ribonuclease ZC3H12D
UniProt Gene Name
ZC3H12D
UniProt Entry Name
ZC12D_HUMAN
Similar Products
Product Notes
The ZC3H12D zc3h12d (Catalog #AAA179131) is an Antibody produced from Rabbit and is intended for research purposes only. The product is available for immediate purchase. The ZC3H12D Polyclonal Antibody reacts with Human, Mouse, Rat and may cross-react with other species as described in the data sheet. AAA Biotech's ZC3H12D can be used in a range of immunoassay formats including, but not limited to, IF (Immunofluorescence), WB (Western Blot). Researchers should empirically determine the suitability of the ZC3H12D zc3h12d for an application not listed in the data sheet. Researchers commonly develop new applications and it is an integral, important part of the investigative research process. It is sometimes possible for the material contained within the vial of "ZC3H12D, Polyclonal Antibody" to become dispersed throughout the inside of the vial, particularly around the seal of said vial, during shipment and storage. We always suggest centrifuging these vials to consolidate all of the liquid away from the lid and to the bottom of the vial prior to opening. Please be advised that certain products may require dry ice for shipping and that, if this is the case, an additional dry ice fee may also be required.Precautions
All products in the AAA Biotech catalog are strictly for research-use only, and are absolutely not suitable for use in any sort of medical, therapeutic, prophylactic, in-vivo, or diagnostic capacity. By purchasing a product from AAA Biotech, you are explicitly certifying that said products will be properly tested and used in line with industry standard. AAA Biotech and its authorized distribution partners reserve the right to refuse to fulfill any order if we have any indication that a purchaser may be intending to use a product outside of our accepted criteria.Disclaimer
Though we do strive to guarantee the information represented in this datasheet, AAA Biotech cannot be held responsible for any oversights or imprecisions. AAA Biotech reserves the right to adjust any aspect of this datasheet at any time and without notice. It is the responsibility of the customer to inform AAA Biotech of any product performance issues observed or experienced within 30 days of receipt of said product. To see additional details on this or any of our other policies, please see our Terms & Conditions page.Item has been added to Shopping Cart
If you are ready to order, navigate to Shopping Cart and get ready to checkout.
