Rabbit anti-Human Bcl-6 Antibody | anti-Bcl-6 antibody
Bcl-6 (Follicular Lymphoma Marker)
Gene Names
BCL6; BCL5; LAZ3; BCL6A; ZNF51; ZBTB27
Reactivity
Human
Applications
Immunohistochemistry
Purity
Purified Ab with BSA and Azide at 200ug/ml OR Purified Ab WITHOUT BSA and Azide at 1.0mg/ml
Synonyms
Bcl-6; N/A; Bcl-6 (Follicular Lymphoma Marker); B-cell lymphoma 5 protein; B-Cell Lymphoma 6 Protein; BCL5; BCL6; BCL6A; cys his2 zinc finger transcription factor; Lymphoma Associated Zinc Finger Gene On Chromosome 3 (LAZ3); Zinc finger and BTB domain-containing protein 27 (ZBTB27); Zinc Finger Protein 51 (ZNF51); zinc finger transcription factor BCL6S; anti-Bcl-6 antibody
Host
Rabbit
Reactivity
Human
Isotype
IgG
Clone Number
BCL6/2497R
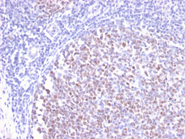
Specificity
Recognizes a protein of 95kDa, which is identified as Bcl-6. Antibody to bcl-6 is helpful in a number of settings: (1) In the differential small B-cell lymphoma. Follicular lymphoma will show bcl-6 (and CD10) positivity whereas other small B-cell lymphomas are usually negative. (2) Bcl-6 is an important prognostic marker in diffuse large B-cell lymphomas (DLBCL), where CD10, bcl-6 and MUM1/IRF4 are used to identify germinal center and activated B-cell phenotypes. (3) Bcl-6 can be valuable in distinguishing classical Hodgkin lymphoma from nodular lymphocyte predominant Hodgkin lymphoma (NLPHL). The Reed-Sternberg cells of classical Hodgkin lymphoma are bcl-6 negative whereas the large ('LH') cells of NLPHL are bcl-6 positive. In contrast, anti-Bcl-6 rarely stains mantle-cell lymphoma and MALT lymphoma.
Purity/Purification
Purified Ab with BSA and Azide at 200ug/ml OR Purified Ab WITHOUT BSA and Azide at 1.0mg/ml
Form/Format
200ug/ml of Ab Purified from Bioreactor Concentrate by Protein A/G. Prepared in 10mM PBS with 0.05% BSA & 0.05% azide. Also available WITHOUT BSA & azide at 1.0mg/ml.
Sequence Length
706
Applicable Applications for anti-Bcl-6 antibody
IHC (Immunohistochemistry)
Positive Control
Raji or Ramos cells. Tonsil or Hodgkin's lymphoma.
Immunogen
Recombinant human bcl-6 protein fragment (aa256-389) (exact sequence is proprietary)
Cellular Localization
Nuclear
Hu-chromosome Location
3q27.3
Antibody Type
Recombinant Rabbit Monoclonal Antibody
Preparation and Storage
Antibody with azide: store at 2 to 8 degree C.
Antibody without azide: store at -20 to -80 degree C.
Antibody is stable for 24 months. Non-hazardous. No MSDS required.
Antibody without azide: store at -20 to -80 degree C.
Antibody is stable for 24 months. Non-hazardous. No MSDS required.
References
1. Ree, H.J., et al. 2003. Hum. Pathol. 34: 610-616. 2. Garcia JF, et al. 2006. J. Histochem Cytochem. 54:31.
NCBI and Uniprot Product Information
NCBI GI #
NCBI GeneID
NCBI Accession #
NCBI GenBank Nucleotide #
UniProt Accession #
Molecular Weight
95kDa
NCBI Official Full Name
B-cell lymphoma 6 protein isoform 1
NCBI Official Synonym Full Names
BCL6 transcription repressor
NCBI Official Symbol
BCL6
NCBI Official Synonym Symbols
BCL5; LAZ3; BCL6A; ZNF51; ZBTB27
NCBI Protein Information
B-cell lymphoma 6 protein
UniProt Protein Name
B-cell lymphoma 6 protein
UniProt Gene Name
BCL6
UniProt Synonym Gene Names
BCL5; LAZ3; ZBTB27; ZNF51; BCL-6; BCL-5
UniProt Entry Name
BCL6_HUMAN
Customer Reviews
Loading reviews...
Share Your Experience
Similar Products
Product Notes
The Bcl-6 bcl6 (Catalog #AAA215185) is an Antibody produced from Rabbit and is intended for research purposes only. The product is available for immediate purchase. The Bcl-6 (Follicular Lymphoma Marker) reacts with Human and may cross-react with other species as described in the data sheet. AAA Biotech's Bcl-6 can be used in a range of immunoassay formats including, but not limited to, IHC (Immunohistochemistry). Researchers should empirically determine the suitability of the Bcl-6 bcl6 for an application not listed in the data sheet. Researchers commonly develop new applications and it is an integral, important part of the investigative research process. It is sometimes possible for the material contained within the vial of "Bcl-6, Antibody" to become dispersed throughout the inside of the vial, particularly around the seal of said vial, during shipment and storage. We always suggest centrifuging these vials to consolidate all of the liquid away from the lid and to the bottom of the vial prior to opening. Please be advised that certain products may require dry ice for shipping and that, if this is the case, an additional dry ice fee may also be required.Precautions
All products in the AAA Biotech catalog are strictly for research-use only, and are absolutely not suitable for use in any sort of medical, therapeutic, prophylactic, in-vivo, or diagnostic capacity. By purchasing a product from AAA Biotech, you are explicitly certifying that said products will be properly tested and used in line with industry standard. AAA Biotech and its authorized distribution partners reserve the right to refuse to fulfill any order if we have any indication that a purchaser may be intending to use a product outside of our accepted criteria.Disclaimer
Though we do strive to guarantee the information represented in this datasheet, AAA Biotech cannot be held responsible for any oversights or imprecisions. AAA Biotech reserves the right to adjust any aspect of this datasheet at any time and without notice. It is the responsibility of the customer to inform AAA Biotech of any product performance issues observed or experienced within 30 days of receipt of said product. To see additional details on this or any of our other policies, please see our Terms & Conditions page.Item has been added to Shopping Cart
If you are ready to order, navigate to Shopping Cart and get ready to checkout.
