Rabbit NTF3 Antibody | anti-NTF3 antibody
NTF3 Antibody
Gene Names
NTF3; NT3; HDNF; NGF2; NT-3; NGF-2
Reactivity
Human, Mouse, Rat
Applications
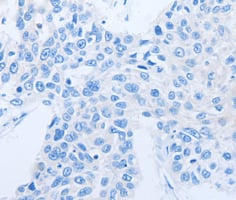
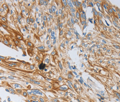
Immunohistochemistry, Western Blot
Purity
Affinity purification
Synonyms
NTF3; N/A; NTF3 Antibody; NT3; HDNF; NGF2; NGF-2; anti-NTF3 antibody
Host
Rabbit
Reactivity
Human, Mouse, Rat
Isotype
IgG
Purity/Purification
Affinity purification
Sequence Length
270
Applicable Applications for anti-NTF3 antibody
IHC (Immunohistochemistry), WB (Western Blot)
Immunogen
Recombinant protein of human NTF3
Storage Buffer
PBS with 0.02% sodium azide, 50% glycerol, pH7.3.
Preparation and Storage
Store at-20 degree C or-80 degree C. Avoid freeze/thaw cycles.
Related Product Information for anti-NTF3 antibody
The protein encoded by this gene is a member of the neurotrophin family, that controls survival and differentiation of mammalian neurons. This protein is closely related to both nerve growth factor and brain-derived neurotrophic factor. It may be involved in the maintenance of the adult nervous system, and may affect development of neurons in the embryo when it is expressed in human placenta. NTF3-deficient mice generated by gene targeting display severe movement defects of the limbs. The mature peptide of this protein is identical in all mammals examined including human, pig, rat and mouse.
Product Categories/Family for anti-NTF3 antibody
NCBI and Uniprot Product Information
NCBI GI #
NCBI GeneID
NCBI Accession #
NCBI GenBank Nucleotide #
Molecular Weight
31kDa
NCBI Official Full Name
neurotrophin-3 isoform 1 preproprotein
NCBI Official Synonym Full Names
neurotrophin 3
NCBI Official Symbol
NTF3
NCBI Official Synonym Symbols
NT3; HDNF; NGF2; NT-3; NGF-2
NCBI Protein Information
neurotrophin-3
UniProt Protein Name
Neurotrophin-3
UniProt Gene Name
NTF3
UniProt Synonym Gene Names
NT-3; NGF-2
Customer Reviews
Loading reviews...
Share Your Experience
Similar Products
Product Notes
The NTF3 ntf3 (Catalog #AAA267142) is an Antibody produced from Rabbit and is intended for research purposes only. The product is available for immediate purchase. The NTF3 Antibody reacts with Human, Mouse, Rat and may cross-react with other species as described in the data sheet. AAA Biotech's NTF3 can be used in a range of immunoassay formats including, but not limited to, IHC (Immunohistochemistry), WB (Western Blot). Researchers should empirically determine the suitability of the NTF3 ntf3 for an application not listed in the data sheet. Researchers commonly develop new applications and it is an integral, important part of the investigative research process. It is sometimes possible for the material contained within the vial of "NTF3, Antibody" to become dispersed throughout the inside of the vial, particularly around the seal of said vial, during shipment and storage. We always suggest centrifuging these vials to consolidate all of the liquid away from the lid and to the bottom of the vial prior to opening. Please be advised that certain products may require dry ice for shipping and that, if this is the case, an additional dry ice fee may also be required.Precautions
All products in the AAA Biotech catalog are strictly for research-use only, and are absolutely not suitable for use in any sort of medical, therapeutic, prophylactic, in-vivo, or diagnostic capacity. By purchasing a product from AAA Biotech, you are explicitly certifying that said products will be properly tested and used in line with industry standard. AAA Biotech and its authorized distribution partners reserve the right to refuse to fulfill any order if we have any indication that a purchaser may be intending to use a product outside of our accepted criteria.Disclaimer
Though we do strive to guarantee the information represented in this datasheet, AAA Biotech cannot be held responsible for any oversights or imprecisions. AAA Biotech reserves the right to adjust any aspect of this datasheet at any time and without notice. It is the responsibility of the customer to inform AAA Biotech of any product performance issues observed or experienced within 30 days of receipt of said product. To see additional details on this or any of our other policies, please see our Terms & Conditions page.Item has been added to Shopping Cart
If you are ready to order, navigate to Shopping Cart and get ready to checkout.
