Loading...

Skip to main content
Call us at +1-800-604-9114 for more information about our products or contact us online Need help? +1-800-604-9114 or contact us

Filters


Clonality

Type

Reactivity

Gene Name

Isotype

Host

Application

Clone

Viewing 3950-4000 of 265194 product results


product-image-AAA26532_IF6.jpg IF (Immunofluorescence) (Immunofluorescence of monoclonal antibody to MAPK3 on HeLa cell. [antibody concentration 10 ug/ml])

MAPK3, Monoclonal Antibody (Cat# AAA26532)

No reviews yet
Full Name
MAPK3 (Mitogen-Activated Protein Kinase 3, ERK1, HS44KDAP, HUMKER1A, MGC20180, P44ERK1, P44MAPK, PRKM3) (HRP)
Gene Names
MAPK3; ERK1; ERT2; ERK-1; PRKM3; P44ERK1; P44MAPK; HS44KDAP; HUMKER1A; p44-ERK1; p44-MAPK
Applications
Immunofluorescence, Western Blot
Purity
Purified
Pricing
product-image-AAA26684_WB6.jpg WB (Western Blot) (Western Blot analysis of OPA1 expression in transfected 293T cell line by OPA1 monoclonal antibody (M06), clone 8A32.Lane 1: OPA1 transfected lysate (Predicted MW: 111.6 KDa).Lane 2: Non-transfected lysate.)

OPA1, Monoclonal Antibody (Cat# AAA26684)

No reviews yet
Full Name
OPA1 (Pptic Atrophy 1 (Autosomal Dominant), FLJ12460, KIAA0567, MGM1, NPG, NTG, LargeG) (PE)
Gene Names
OPA1; NPG; NTG; MGM1; BERHS; largeG; MTDPS14
Applications
Western Blot
Purity
Purified
Pricing
product-image-AAA26730_APP6.jpg Application Data (Staining of human peripheral blood lymphocytes with RAT ANTI HUMAN CD28:RPE)

CD28, Monoclonal Antibody (Cat# AAA26730)

No reviews yet
Full Name
CD28 (CD28 Antigen, CD28 Molecule, MGC138290, T cell Antigen CD28, T cell Specific Surface Glycoprotein, T cell Specific Surface Glycoprotein CD28, Tp44) (Biotin)
Reactivity
Human
Applications
Flow Cytometry, Immunohistochemistry
Purity
Purified by Protein G Affinity Chromatography
Pricing
product-image-AAA26759_APP7.jpg Application Data (Staining of human peripheral blood lymphocytes with MOUSE ANTI HUMAN CD45RA:FITC (MCA88F))

CD45RA, Monoclonal Antibody (Cat# AAA26759)

No reviews yet
Full Name
CD45RA (CD45 Antigen, B220, GP180, Leukocyte Common Antigen, LCA, L-CA, LY5, LY-5, Protein Tyrosine Phosphatase Receptor Type C Polypeptide, PTPRC, T200, T200 Glycoprotein) (HRP)
Reactivity
Human, Monkey
Applications
Flow Cytometry, Immunohistochemistry
Purity
Purified by protein G affinity chromatography from tissue culture supernatant.
Pricing
product-image-AAA28711_WB7.jpg WB (Western Blot) (Western blot analysis of lysate from mouse lung tissue lysate, using Mlkl Antibody (C-term). AAA28711 was diluted at 1:1000. A goat anti-rabbit IgG H&L(HRP) at 1:10000 dilution was used as the secondary antibody. Lysate at 20ug.)

M Mlkl, Polyclonal Antibody (Cat# AAA28711)

No reviews yet
Full Name
M Mlkl Antibody (C-term)
Gene Names
Mlkl; 9130019I15Rik
Reactivity
Mouse
Applications
Western Blot
Purity
Peptide Affinity Purified Rabbit Polyclonal Antibody (Pab)
Pricing
product-image-AAA29210_IHC6.jpg IHC (Immunohistchemistry) (Dilution: Western Blot: 1/500 - 1/2000. IHC-p: 1/100-1/300. ELISA: 1/20000. Not yet tested in other applications.)

IL-28, Polyclonal Antibody (Cat# AAA29210)

No reviews yet
Full Name
IL-28 Polyclonal Antibody
Gene Names
IFNL2; IL28A; IL-28A
Reactivity
Human
Applications
Western Blot, Immunohistochemistry
Pricing
product-image-AAA28980_IHC7.jpg IHC (Immunohistochemistry) (Dilution: Western Blot: 1/500 - 1/2000. Immunohistochemistry: 1/100 - 1/300. ELISA: 1/5000. Not yet tested in other applications.)

Cathepsin B, Polyclonal Antibody (Cat# AAA28980)

No reviews yet
Full Name
Cathepsin B Polyclonal Antibody
Reactivity
Human, Mouse, Rat
Applications
Western Blot, Immunohistochemistry
Pricing
product-image-AAA29025_WB6.jpg WB (Western Blot) (Dilution: Western Blot: 1/500 - 1/2000. Immunohistochemistry: 1/100 - 1/300. ELISA: 1/20000. Not yet tested in other applications.)

FN1, Polyclonal Antibody (Cat# AAA29025)

No reviews yet
Full Name
FN1 Polyclonal Antibody
Gene Names
FN1; FN; CIG; FNZ; MSF; ED-B; FINC; GFND; LETS; GFND2
Reactivity
Human, Mouse, Rat
Applications
Western Blot, Immunohistochemistry
Pricing
product-image-AAA28538_IHC6.jpg IHC (Immunohistchemistry) (Immunohistochemistry analysis of paraffin-embedded Rat lung using FADD Rabbit mAb (AAA28538) at dilution of 1:100 (40x lens). High pressure antigen retrieval performed with 0.01M Citrate Bufferr (pH 6.0) prior to IHC staining.)

FADD, Monoclonal Antibody (Cat# AAA28538)

No reviews yet
Full Name
FADD Rabbit mAb
Reactivity
Mouse
Applications
Western Blot, Immunohistochemistry
Purity
Affinity purification
Pricing
product-image-AAA30620_WB6.jpg WB (Western Blot) (Western blot analysis of extracts of various cell lines, using CD34 at 1:1000 dilution.)

CD34, Polyclonal Antibody (Cat# AAA30620)

No reviews yet
Full Name
CD34 Rabbit Polyclonal Antibody
Reactivity
Human, Mouse, Rat
Applications
Western Blot, Immunohistochemistry, Immunofluorescence
Purity
Affinity purification
Pricing
product-image-AAA25872_WB7.jpg WB (Western Blot) (TRIM33 monoclonal antibody, Western Blot analysis of TRIM33 expression in Hela NE)

TRIM33, Monoclonal Antibody (Cat# AAA25872)

No reviews yet
Full Name
TRIM33 (E3 Ubiquitin-protein Ligase TRIM33, Ectodermin Homolog, RET-fused Gene 7 Protein, Protein Rfg7, Transcription Intermediary Factor 1-gamma, TIF1-gamma, Tripartite Motif-containing Protein 33, KIAA1113, RFG7, TIF1G) (PE)
Gene Names
TRIM33; ECTO; PTC7; RFG7; TF1G; TIF1G; TIFGAMMA; TIF1GAMMA
Reactivity
Human, Mouse, Rat
Applications
Immunofluorescence, Immunohistochemistry, Western Blot
Purity
Purified by Protein A Affinity Chromatography.
Pricing
product-image-AAA26114_IHC6.jpg IHC (Immunohistchemistry) (Immunoperoxidase of monoclonal antibody to FOXA2 on formalin-fixed paraffin-embedded human pancreas. [antibody concentration 0.5 ug/ml])

FOXA2, Monoclonal Antibody (Cat# AAA26114)

No reviews yet
Full Name
FOXA2 (Forkhead Box A2, HNF3B, MGC19807, TCF3B) (APC)
Gene Names
FOXA2; HNF3B; TCF3B
Applications
Immunofluorescence, Immunohistochemistry, Western Blot
Purity
Purified
Pricing
product-image-AAA30033_ICC9.jpg ICC (Immunocytochemistry) (ICC staining Hsp90 alpha in NIH/3T3 cells (green). The nuclear counter stain is DAPI (blue). Cells were fixed in paraformaldehyde, permeabilised with 0.25% Triton X100/PBS.)

Hsp90 alpha, Monoclonal Antibody (Cat# AAA30033)

No reviews yet
Full Name
Hsp90 alpha Antibody
Gene Names
HSP90AA1; EL52; HSPN; LAP2; HSP86; HSPC1; HSPCA; Hsp89; Hsp90; HSP89A; HSP90A; HSP90N; HSPCAL1; HSPCAL4
Reactivity
Human, Mouse, Rat
Applications
Western Blot, Immunocytochemistry, Immunofluorescence, Immunohistochemistry
Purity
ProA affinity purified
Pricing
product-image-AAA29910_FCM6.jpg FCM (Flow Cytometry) (Flow cytometric analysis of Jurkat cells with INCENP antibody at 1/100 dilution (green) compared with an unlabelled control (cells without incubation with primary antibody; red).)

INCENP, Monoclonal Antibody (Cat# AAA29910)

No reviews yet
Full Name
INCENP Antibody
Reactivity
Human
Applications
Western Blot, Immunocytochemistry, Immunohistochemistry, Flow Cytometry
Purity
ProA affinity purified
Pricing
product-image-AAA29652_IF7.jpg IF (Immunofluorescence) (Immunofluorescence analysis of A549 cell using HDAC4 antibody. Blue: DAPI for nuclear staining.)

HDAC4, Polyclonal Antibody (Cat# AAA29652)

No reviews yet
Full Name
HDAC4 Antibody
Gene Names
HDAC4; HD4; AHO3; BDMR; HDACA; HA6116; HDAC-4; HDAC-A
Reactivity
Human
Applications
Western Blot, Immunohistochemistry, Immunofluorescence, Immunoprecipitation, Chromatin Immunoprecipitation
Purity
Antibodies were purified by affinity purification using immunogen.
Pricing
product-image-AAA17201_SC.jpg Standard Curve (Sample)

Breast And Kidney Expressed Chemokine, ELISA Kit (Cat# AAA17201)

No reviews yet
Full Name
Canine Breast And Kidney Expressed Chemokine ELISA Kit
Gene Names
Cxcl14; BRAK
Reactivity
Canine
Pricing
product-image-AAA27198_SC.jpg Standard Curve (Sample)

Carnosine synthase 1 (ATPGD1), ELISA Kit (Cat# AAA27198)

No reviews yet
Full Name
Human Carnosine synthase 1 (ATPGD1) ELISA Kit
Gene Names
Carns1; Atpgd1; AI790298; mKIAA1394
Reactivity
Human
Pricing
product-image-AAA17732_SC.jpg Standard Curve (Sample)

Neurofilament light polypeptide, ELISA Kit (Cat# AAA17732)

No reviews yet
Full Name
Human Neurofilament light polypeptide ELISA Kit
Gene Names
NEFL; NFL; NF-L; NF68; CMT1F; CMT2E; PPP1R110
Reactivity
Human
Pricing
product-image-AAA12637_SC.jpg Standard Curve (Sample)

Antineutrophil cytoplasmic antibodies (ANCA), ELISA Kit (Cat# AAA12637)

No reviews yet
Full Name
Human Antineutrophil cytoplasmic antibodies (ANCA) ELISA Kit
Reactivity
Human
Pricing
product-image-AAA27235_SC.jpg Standard Curve (Sample)

Myocyte-specific enhancer factor 2C (MEF2C), ELISA Kit (Cat# AAA27235)

No reviews yet
Full Name
Rat Myocyte-specific enhancer factor 2C (MEF2C) ELISA Kit
Gene Names
MEF2C; DEL5q14.3; C5DELq14.3
Reactivity
Rat
Pricing
product-image-AAA26813_APP6.jpg Application Data (Staining of CD209 transfected K562 cells with MOUSE ANTI HUMAN CD209: FITC)

DC-SIGN, Monoclonal Antibody (Cat# AAA26813)

No reviews yet
Full Name
DC-SIGN (Dendritic Cell-specific ICAM3 grabbing Non-integrin, C Type Lectin Domain Family 4 Member L, CLEC4L, CD209, CD209 Antigen, CDSIGN, Dendritic Cell-specific ICAM-3-grabbing Non-integrin 1, DC SIGN1, DC-SIGN1, HIV GP120 Binding Protein, MGC129965) (
Reactivity
Human
Applications
FC/FACS, IF
Purity
Purified by protein G affinity chromatography from tissue culture supernatant.
Pricing
product-image-AAA18396_SC.png Standard Curve (Sample)

gremlin 2, cysteine knot superfamily, homolog (Xenopus laevis), ELISA Kit (Cat# AAA18396)

No reviews yet
Full Name
Human Gremlin-2, GREM2 ELISA Kit
Gene Names
GREM2; PRDC; DAND3; CKTSF1B2
Reactivity
Human
Pricing
product-image-AAA18142_SC.png Standard Curve (Sample)

triggering receptor expressed on myeloid cells 2, ELISA Kit (Cat# AAA18142)

No reviews yet
Full Name
Mouse Triggering receptor expressed on myeloid cells 2, TREM2 ELISA Kit
Gene Names
Trem2; TREM-2; Trem2a; Trem2b; Trem2c
Reactivity
Mouse
Pricing
product-image-AAA25714_APP6.jpg Application Data (Detection limit for recombinant GST tagged HIP1 is ~0.3ng/ml as a capture antibody.)

HIP1, Monoclonal Antibody (Cat# AAA25714)

No reviews yet
Full Name
HIP1 (Huntingtin-interacting Protein 1, Huntingtin-interacting Protein I, MGC126506) (PE)
Gene Names
HIP1; SHON; HIP-I; ILWEQ; SHONbeta; SHONgamma
Reactivity
Human
Applications
Immunohistochemistry, Immunoprecipitation, Western Blot
Purity
Purified by Protein A Affinity Chromatography.
Pricing
product-image-AAA25724_WB6.jpg WB (Western Blot) (IL20 monoclonal antibody, Western Blot analysis of IL20 expression in K-562.)

Interleukin 20, Monoclonal Antibody (Cat# AAA25724)

No reviews yet
Full Name
Interleukin 20 (Interleukin-20, IL-20, IL20, Cytokine Zcyto10, IL10D, MGC96907, UNQ852/PRO1801, ZCYTO10) (PE)
Gene Names
IL20; IL-20; IL10D; ZCYTO10
Reactivity
Human
Applications
Immunoprecipitation, Western Blot
Purity
Purified by Protein A Affinity Chromatography.
Pricing
product-image-AAA26932_IF6.jpg IF (Immunofluorescence) (Immunofluorescent analysis of A549 cells using AAA26932 at a dilution of 1:100 and Alexa Fluor 488-congugated AffiniPure Goat Anti-Rabbit IgG(H+L))

TRPM2, Polyclonal Antibody (Cat# AAA26932)

No reviews yet
Full Name
TRPM2 Antibody
Gene Names
TRPM2; KNP3; EREG1; TRPC7; LTRPC2; NUDT9H; LTrpC-2; NUDT9L1
Reactivity
Human, mouse
Applications
Western Blot, Immunohistochemistry, Immunofluorescence
Purity
>95%,Protein G purified
Pricing
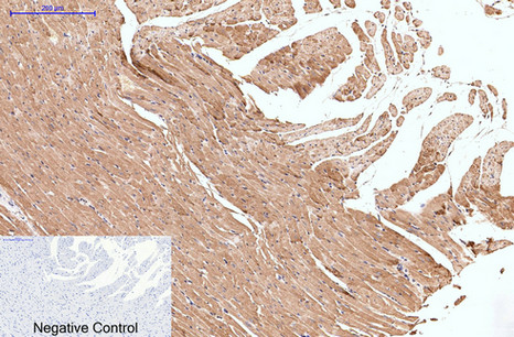
product-image-AAA28084_IHC9.jpg IHC (Immunohistchemistry) (Immunohistochemistry of paraffin-embedded rat heart using SNRPA Antibody at dilution of 1:100 (40x lens).)

SNRPA, Polyclonal Antibody (Cat# AAA28084)

No reviews yet
Full Name
SNRPA Polyclonal Antibody
Gene Names
SNRPA; U1A; Mud1; U1-A
Reactivity
Human, Mouse, Rat
Applications
Western Blot, Immunohistochemistry, Immunofluorescence
Purity
Affinity Purification
Pricing
product-image-AAA28215_IHC6.jpg IHC (Immunohistchemistry) (Immunohistochemistry of paraffin-embedded mouse heart using BAZ1B antibody at dilution of 1:100 (40x lens).)

BAZ1B, Polyclonal Antibody (Cat# AAA28215)

No reviews yet
Full Name
BAZ1B Polyclonal Antibody
Gene Names
BAZ1B; WSTF; WBSCR9; WBSCR10
Reactivity
Human, Mouse, Rat
Applications
Western Blot
Purity
Affinity purification
Pricing
product-image-AAA28793_FCM6.jpg FCM (Flow Cytometry) (SEPT9 Antibody (A555) flow cytometric analysis of HepG2 cells (right histogram) compared to a negative control cell (left histogram).FITC-conjugated goat-anti-rabbit secondary antibodies were used for the analysis.)

SEPT9, Polyclonal Antibody (Cat# AAA28793)

No reviews yet
Full Name
SEPT9 Antibody (C-term)
Gene Names
SEPT9; MSF; MSF1; NAPB; SINT1; PNUTL4; SeptD1; AF17q25
Reactivity
Human
Applications
Western Blot, Immunohistochemistry, Flow Cytometry
Purity
Purified Rabbit Polyclonal Antibody (Pab)
Pricing
product-image-AAA29035_IHC7.jpg IHC (Immunohistochemistry) (Dilution: Western Blot: 1/500 - 1/2000. Immunohistochemistry: 1/100 - 1/300. ELISA: 1/5000. Not yet tested in other applications.)

HDAC5/9, Polyclonal Antibody (Cat# AAA29035)

No reviews yet
Full Name
HDAC5/9 Polyclonal Antibody
Gene Names
HDAC5; HD5; NY-CO-9
Reactivity
Human, Mouse
Applications
Western Blot, Immunohistochemistry
Pricing
product-image-AAA29107_IHC7.jpg IHC (Immunohistochemistry) (Dilution: Western Blot: 1/500 - 1/2000. Immunohistochemistry: 1/100 - 1/300. Immunofluorescence: 1/200 - 1/1000. ELISA: 1/20000. Not yet tested in other applications.)

Rb, Polyclonal Antibody (Cat# AAA29107)

No reviews yet
Full Name
Rb Polyclonal Antibody
Gene Names
RB1; RB; pRb; OSRC; pp110; p105-Rb
Reactivity
Human, Mouse, Rat
Applications
Western Blot, Immunohistochemistry, Immunofluorescence
Pricing
product-image-AAA29129_IHC7.jpg IHC (Immunohistochemistry) (Dilution: IHC-p: 100-300.Western Blot: 1/500 - 1/2000. ELISA: 1/40000. Not yet tested in other applications.)

TdT, Polyclonal Antibody (Cat# AAA29129)

No reviews yet
Full Name
TdT Polyclonal Antibody
Gene Names
DNTT; TDT
Reactivity
Human
Applications
Western Blot, Immunohistochemistry
Pricing
product-image-AAA19697_FCM6.png FCM (Flow Cytometry) (Figure 6. Flow Cytometry analysis of A431 cells using anti-CTBP2 antibody (AAA19697).Overlay histogram showing A431 cells stained with AAA19697 (Blue line). The cells were blocked with 10% normal goat serum. And then incubated with mouse anti-CTBP2 Antibody (AAA19697, 1 ug/1x10^6 cells) for 30 min at 20 degree C. DyLight488 conjugated goat anti-mouse IgG was used as secondary antibody for 30 minutes at 20 degree C. Isotype control antibody (Green line) was mouse IgG (1 ug/1x10^6) used under the same conditions. Unlabelled sample (Red line) was also used as a control.)

CTBP2, Monoclonal Antibody (Cat# AAA19697)

No reviews yet
Full Name
Anti-CTBP2 Antibody Picoband (monoclonal, 10E9D2)
Reactivity
Human
Applications
WB, IHC, ICC, IF, FC/FACS
Purity
Immunogen affinity purified.
Pricing
product-image-AAA11686_IHC4.jpg IHC (Immunohistochemistry) (TECTA was detected in paraffin-embedded sections of human testis tissues using rabbit anti- TECTA Antigen Affinity purified polyclonal antibody at 1ug/mL. The immunohistochemical section was developed using SABC method.)

TECTA, Polyclonal Antibody (Cat# AAA11686)

No reviews yet
Full Name
Anti-TECTA Antibody
Gene Names
TECTA; DFNA8; DFNA12; DFNB21
Reactivity
Human, Mouse, Rat
Applications
Western Blot, Immunohistochemistry
Purity
Immunogen affinity purified.
Pricing
product-image-AAA11970_APP10.jpg Application Data (Published customer image: Representative images of the inflammatory changes in the facial nucleus during axonal regeneration, one week following facial nerve transaction. a, b: CD11b immunoreactivity for microglia is increased in the axotomized facial nucleus, and microglia enwrap the facial motor neurons, e.g. at arrows. The regenerating neurons were retrogradely labelled with fluorogold. c, d: CD6- positive T-cells accumulated in the injured motor nucleus (arrows). They had little cytoplasm but dense nuclei (c) and were sometimes clustered around neurons retrogradely labelled with fluorogold (d). The scale bar in (a) also applies to (b) and that in (c) also applies to (d).From: Shokouhi et al. BMC Neuroscience 2010 11:13.)

CD11b, Monoclonal Antibody (Cat# AAA11970)

No reviews yet
Full Name
MOUSE ANTI RAT CD11b
Gene Names
ITGAM; CD11B
Applications
Immunohistochemistry, Flow Cytometry, Immunofluorescence, Immunoprecipitation
Pricing
product-image-AAA11925_APP10.gif Application Data (Staining of human peripheral blood lymphocytes with Mouse anti Human CD4: Pacific Blue (AAA11925PB))

CD4, Monoclonal Antibody (Cat# AAA11925)

No reviews yet
Full Name
MOUSE ANTI HUMAN CD4
Gene Names
CD4; CD4mut
Applications
Immunohistochemistry, Flow Cytometry
Pricing
product-image-AAA19777_FCM9.png FCM (Flow Cytometry) (Figure 9. Flow Cytometry analysis of HEL cells using anti-GNAI2 antibody (AAA19777).Overlay histogram showing HEL cells stained with AAA19777 (Blue line). To facilitate intracellular staining, cells were fixed with 4% paraformaldehyde and permeabilized with permeabilization buffer. The cells were blocked with 10% normal goat serum. And then incubated with rabbit anti-GNAI2 Antibody (AAA19777, 1ug/1x106 cells) for 30 min at 20 degree C. DyLight488 conjugated goat anti-rabbit IgG was used as secondary antibody for 30 minutes at 20 degree C. Isotype control antibody (Green line) was rabbit IgG (1ug/1x106) used under the same conditions. Unlabelled sample (Red line) was also used as a control.)

GNAI2, Polyclonal Antibody (Cat# AAA19777)

No reviews yet
Full Name
Anti-GNAI2 Antibody Picoband
Gene Names
GNAI2; GIP; GNAI2B; H_LUCA15.1; H_LUCA16.1
Reactivity
Human, Mouse, Rat
Applications
Western Blot, Immunohistochemistry, Immunocytochemistry, Immunofluorescence, Flow Cytometry
Purity
Immunogen affinity purified.
Pricing
product-image-AAA20007_FCM9.png FCM (Flow Cytometry) (Figure 9. Flow Cytometry analysis of Hela cells using anti-MOSPD2 antibody (AAA20007).Overlay histogram showing Hela cells stained with AAA20007 (Blue line). To facilitate intracellular staining, cells were fixed with 4% paraformaldehyde and permeabilized with permeabilization buffer. The cells were blocked with 10% normal goat serum. And then incubated with rabbit anti-MOSPD2 Antibody (AAA20007, 1ug/1x106 cells) for 30 min at 20 degree C. DyLight488 conjugated goat anti-rabbit IgG was used as secondary antibody for 30 minutes at 20 degree C. Isotype control antibody (Green line) was rabbit IgG (1ug/1x106) used under the same conditions. Unlabelled sample (Red line) was also used as a control.)

MOSPD2, Polyclonal Antibody (Cat# AAA20007)

No reviews yet
Full Name
Anti-MOSPD2 Antibody Picoband
Reactivity
Human, Mouse, Rat
Applications
Western Blot, Immunohistochemistry, Flow Cytometry
Purity
Immunogen affinity purified.
Pricing
product-image-AAA23869_WB8.jpg WB (Western Blot) (Detection of mouse UCHL1 by western blot. Samples: Whole cell lysate (50 ug) from TCMK-1, NIH 3T3, ND7/23 (10 ug), RenCa, and EL4 (10 ug) cells prepared using NETN lysis buffer. Antibody: Rabbit anti-UCHL1 recombinant monoclonal antibody (AAA23869 lot 1) used at 1:1000. Secondary: HRP-conjugated goat anti-rabbit IgG . Detection: Chemiluminescence with an exposure time of 30 seconds. Lower Panel: Rabbit anti-Actin recombinant monoclonal antibody .)

UCHL1, Monoclonal Recombinant Antibody (Cat# AAA23869)

No reviews yet
Full Name
Rabbit anti-UCHL1 Recombinant Monoclonal Antibody [BLR216K]
Gene Names
UCHL1; PARK5; PGP95; PGP9.5; Uch-L1; PGP 9.5
Reactivity
Human, Mouse
Applications
Western Blot, Immunohistochemistry, Immunocytochemistry, Flow Cytometry
Purity
Purified
Pricing
product-image-AAA24611_APP7.jpg Application Data (Proximity Ligation Analysis of protein-protein interactions between PDGFRB and PLCG1. Mahlavu cells were stained with anti-PDGFRB rabbit purified polyclonal 1:600 and anti-PLCG1 mouse monoclonal antibody 1:100. Each red dot represents the detection of protein-protein interaction complex, and nuclei were counterstained with DAPI (blue).)

Phospholipase C, gamma 1, Monoclonal Antibody (Cat# AAA24611)

No reviews yet
Full Name
Phospholipase C, gamma 1 (Phospholipase C-gamma-1, PLCgamma1, PLC-gamma-1, PLCg1, NCKAP3, 1-Phosphatidylinositol-4,5-bisphosphate Phosphodiesterase gamma-1, Phospholipase C-II, PLC-II, Phosphoinositide Phospholipase C-gamma-1, PLC1, PLC148, PLC-148) APC
Gene Names
PLCG1; PLC1; NCKAP3; PLC-II; PLC148; PLCgamma1
Reactivity
Human
Applications
Immunofluorescence, Western Blot
Purity
Purified by Protein A Affinity Chromatography.
Pricing
product-image-AAA24670_WB6.jpg WB (Western Blot) (SPRY2 monoclonal antibody Western Blot analysis of SPRY2 expression in C32)

SPRY2, Monoclonal Antibody (Cat# AAA24670)

No reviews yet
Full Name
SPRY2 (Protein Sprouty Homolog 2, Spry-2, hSPRY2) APC
Gene Names
SPRY2; IGAN3; hSPRY2
Reactivity
Human
Applications
Immunofluorescence, Immunohistochemistry, Western Blot
Purity
Purified by Protein A Affinity Chromatography.
Pricing
product-image-AAA24881_APP6.jpg Application Data (Detection limit for recombinant GST tagged NKX3-1 is ~0.1ng/ml as a capture antibody.)

NKX3-1, Monoclonal Antibody (Cat# AAA24881)

No reviews yet
Full Name
NKX3-1 (Homeobox Protein Nkx-3.1, Homeobox Protein NK-3 Homolog A, NKX3.1, NKX3A) (Biotin)
Gene Names
NKX3-1; NKX3; BAPX2; NKX3A; NKX3.1
Reactivity
Human, Mouse, Rat
Applications
Immunofluorescence, Western Blot
Purity
Purified by Protein A Affinity Chromatography.
Pricing
product-image-AAA25346_WB6.jpg WB (Western Blot) (CDC2 monoclonal antibody, Western Blot analysis of CDC2 expression in Hela.)

CDC2, Monoclonal Antibody (Cat# AAA25346)

No reviews yet
Full Name
CDC2 (Cell Division Control Protein 2 Homolog, CDC28A, Cell Division Protein Kinase 1, Cyclin-dependent Kinase 1, CDK1, p34 Protein Kinase, P34CDC2) (HRP)
Gene Names
CDK1; CDC2; CDC28A; P34CDC2
Reactivity
Human
Applications
Immunohistochemistry, Western Blot
Purity
Purified by Protein A Affinity Chromatography.
Pricing
product-image-AAA25454_APP7.jpg Application Data (Detection limit for recombinant GST tagged MEOX2 is ~0.3ng/ml as a capture antibody.)

MEOX2, Monoclonal Antibody (Cat# AAA25454)

No reviews yet
Full Name
MEOX2 (GAX, MOX2, Homeobox Protein MOX-2, Growth Arrest-specific Homeobox, Mesenchyme Homeobox 2) (HRP)
Gene Names
MEOX2; GAX; MOX2
Reactivity
Human, Mouse, Rat
Applications
Immunohistochemistry, Western Blot
Purity
Purified by Protein A Affinity Chromatography.
Pricing
product-image-AAA30495_FCM8.jpg FCM (Flow Cytometry) (Flow cytometric analysis of LOVO cells with SF3B3 antibody at 1/100 dilution (yellow) compared with an unlabelled control (cells without incubation with primary antibody; purple).Alexa Fluor 488-conjugated goat anti-rabbit IgG was used as the secondary antibody.)

SF3B3, Monoclonal Antibody (Cat# AAA30495)

No reviews yet
Full Name
SF3B3 Antibody
Gene Names
SF3B3; RSE1; SAP130; SF3b130; STAF130
Reactivity
Human, Mouse, Rat
Applications
Western Blot, Immunocytochemistry, Immunohistochemistry, Flow Cytometry
Purity
ProA affinity purified
Pricing
product-image-AAA30278_FCM6.jpg FCM (Flow Cytometry) (Flow cytometric analysis of 293T cells with ABCG2 antibody at 1/50 dilution (red) compared with an unlabelled control (cells without incubation with primary antibody; black). Alexa Fluor 488-conjugated goat anti rabbit IgG was used as the secondary antibody)

ABCG2, Monoclonal Antibody (Cat# AAA30278)

No reviews yet
Full Name
ABCG2 Antibody
Gene Names
ABCG2; MRX; MXR; ABCP; BCRP; BMDP; MXR1; ABC15; BCRP1; CD338; GOUT1; CDw338; UAQTL1; EST157481
Reactivity
Human, Mouse
Applications
Western Blot, Immunocytochemistry, Immunofluorescence, Immunohistochemistry, Flow Cytometry
Purity
ProA affinity purified
Pricing
product-image-AAA30544_WB7.jpg WB (Western Blot) (Western blot analysis of extracts of HCT116 cells, using Bcl-2 antibody at 1:1000 dilution.HCT116 cells treated with different concentrations of B7-H4.)

Bcl-2, Polyclonal Antibody (Cat# AAA30544)

No reviews yet
Full Name
Bcl-2 Polyclonal Antibody
Gene Names
BCL2; Bcl-2; PPP1R50
Reactivity
Human, Mouse, Rat
Applications
Western Blot, Immunohistochemistry, Immunofluorescence
Purity
Affinity purification
Pricing
product-image-AAA31462_IHC6.jpg IHC (Immunohistchemistry) (At 1/100 staining Mouse liver tissue by IHC-P. The sample was formaldehyde fixed and a heat mediated antigen retrieval step in citrate buffer was performed. The sample was then blocked and incubated with the primary antibody at 4 degree C overnight. An HRP conjugated anti-Rabbit antibody was used as the secondary antibody.)

NDEL1, Polyclonal Antibody (Cat# AAA31462)

No reviews yet
Full Name
Phospho-NDEL1 (Thr219) Antibody
Gene Names
NDEL1; EOPA; NDE2; NUDEL; MITAP1; NDE1L1
Reactivity
Human, Mouse, Rat
Predicted Reactivity: Pig (100%), Bovine (100%), Horse (100%), Sheep (100%), Rabbit (100%), Dog (100%), Chicken (100%), Xenopus (100%)
Applications
Western Blot, Immunohistochemistry, Peptide ELISA
Purity
The antibody is from purified rabbit serum by affinity purification via sequential chromatography on phospho-peptide and non-phospho-peptide affinity columns.
Pricing
product-image-AAA20483_SC.jpg Standard Curve (Sample)

Fatty Acid Binding Protein 4, Adipocyte (FABP4), ELISA Kit (Cat# AAA20483)

No reviews yet
Full Name
Rat Fatty Acid Binding Protein 4, Adipocyte (FABP4) ELISA Kit
Gene Names
FABP4; aP2; ALBP; AFABP; A-FABP; HEL-S-104
Reactivity
Rat
Pricing
product-image-AAA17203_SC.jpg Standard Curve (Sample)

Peptidoglycan, ELISA Kit (Cat# AAA17203)

No reviews yet
Full Name
Human Peptidoglycan ELISA Kit
Reactivity
Human
Pricing

Submit a Question

Please complete the form below and a representative will contact you as soon as possible.

Request more Information

Please complete the form below and a representative will contact you as soon as possible.

Request a Manual

Please complete the form below and a representative will contact you as soon as possible.

Request a Quote

Please complete the form below and a representative will contact you as soon as possible.