Mouse AREB6/ZEB1 Monoclonal Antibody | anti-ZEB1 antibody
Anti-AREB6/ZEB1 Antibody Picoband (monoclonal, 8B12D7)
Each vial contains 4 mg Trehalose, 0.9 mg NaCl and 0.2 mg Na2HPO4.
IHC-P: 2-5 ug/ml, Human, Mouse, Rat
IF: 5 ug/ml, Human
Tested Species: In-house tested species with positive results.
Enhanced Chemiluminescent Kit with anti-Mouse IgG for Western blot, and HRP Conjugated anti-Mouse IgG Super Vision Assay Kit for IHC(P).
IF (Immunofluorescence)
(Figure 11. IF analysis of AREB6/ZEB1 using anti-AREB6/ZEB1 antibody (AAA19667).AREB6/ZEB1 was detected in a paraffin-embedded section of human glioma tissue. Heat mediated antigen retrieval was performed in EDTA buffer (pH 8.0, epitope retrieval solution). The tissue section was blocked with 10% goat serum. The tissue section was then incubated with 5 ug/mL mouse anti-AREB6/ZEB1 Antibody (AAA19667) overnight at 4 degree C. Biotin conjugated goat anti-mouse IgG (BA1001) was used as secondary antibody and incubated for 30 minutes at 37 degree C. The tissue section was developed using DyLight550 Conjugated Avidin (BA1134). The section was counterstained with DAPI. Visualize using a fluorescence microscope and filter sets appropriate for the label used.)
IHC (Immunohistochemistry)
(Figure 10. IHC analysis of AREB6/ZEB1 using anti-AREB6/ZEB1 antibody (AAA19667).AREB6/ZEB1 was detected in a paraffin-embedded section of rat brain tissue. Heat mediated antigen retrieval was performed in EDTA buffer (pH 8.0, epitope retrieval solution). The tissue section was blocked with 10% goat serum. The tissue section was then incubated with 2 ug/ml mouse anti-AREB6/ZEB1 Antibody (AAA19667) overnight at 4 degree C. Peroxidase Conjugated Goat Anti-mouse IgG was used as secondary antibody and incubated for 30 minutes at 37 degree C. The tissue section was developed using HRP Conjugated Mouse IgG Super Vision Assay Kit with DAB as the chromogen.)
IHC (Immunohistchemistry)
(Figure 9. IHC analysis of AREB6/ZEB1 using anti-AREB6/ZEB1 antibody (AAA19667).AREB6/ZEB1 was detected in a paraffin-embedded section of mouse brain tissue. Heat mediated antigen retrieval was performed in EDTA buffer (pH 8.0, epitope retrieval solution). The tissue section was blocked with 10% goat serum. The tissue section was then incubated with 2 ug/ml mouse anti-AREB6/ZEB1 Antibody (AAA19667) overnight at 4 degree C. Peroxidase Conjugated Goat Anti-mouse IgG was used as secondary antibody and incubated for 30 minutes at 37 degree C. The tissue section was developed using HRP Conjugated Mouse IgG Super Vision Assay Kit with DAB as the chromogen.)
IHC (Immunohistochemistry)
(Figure 8. IHC analysis of AREB6/ZEB1 using anti-AREB6/ZEB1 antibody (AAA19667).AREB6/ZEB1 was detected in a paraffin-embedded section of human testicular germ cell tumor tissue. Heat mediated antigen retrieval was performed in EDTA buffer (pH 8.0, epitope retrieval solution). The tissue section was blocked with 10% goat serum. The tissue section was then incubated with 2 ug/ml mouse anti-AREB6/ZEB1 Antibody (AAA19667) overnight at 4 degree C. Peroxidase Conjugated Goat Anti-mouse IgG was used as secondary antibody and incubated for 30 minutes at 37 degree C. The tissue section was developed using HRP Conjugated Mouse IgG Super Vision Assay Kit with DAB as the chromogen.)
IHC (Immunohistochemistry)
(Figure 7. IHC analysis of AREB6/ZEB1 using anti-AREB6/ZEB1 antibody (AAA19667).AREB6/ZEB1 was detected in a paraffin-embedded section of human lung adenocarcinoma tissue. Heat mediated antigen retrieval was performed in EDTA buffer (pH 8.0, epitope retrieval solution). The tissue section was blocked with 10% goat serum. The tissue section was then incubated with 2 ug/ml mouse anti-AREB6/ZEB1 Antibody (AAA19667) overnight at 4 degree C. Peroxidase Conjugated Goat Anti-mouse IgG was used as secondary antibody and incubated for 30 minutes at 37 degree C. The tissue section was developed using HRP Conjugated Mouse IgG Super Vision Assay Kit with DAB as the chromogen.)
IHC (Immunohistchemistry)
(Figure 6. IHC analysis of AREB6/ZEB1 using anti-AREB6/ZEB1 antibody (AAA19667).AREB6/ZEB1 was detected in a paraffin-embedded section of human laryngeal squamous cell carcinoma tissue. Heat mediated antigen retrieval was performed in EDTA buffer (pH 8.0, epitope retrieval solution). The tissue section was blocked with 10% goat serum. The tissue section was then incubated with 2 ug/ml mouse anti-AREB6/ZEB1 Antibody (AAA19667) overnight at 4 degree C. Peroxidase Conjugated Goat Anti-mouse IgG was used as secondary antibody and incubated for 30 minutes at 37 degree C. The tissue section was developed using HRP Conjugated Mouse IgG Super Vision Assay Kit with DAB as the chromogen.)
IHC (Immunohistochemistry)
(Figure 5. IHC analysis of AREB6/ZEB1 using anti-AREB6/ZEB1 antibody (AAA19667).AREB6/ZEB1 was detected in a paraffin-embedded section of human colorectal adenocarcinoma tissue. Heat mediated antigen retrieval was performed in EDTA buffer (pH 8.0, epitope retrieval solution). The tissue section was blocked with 10% goat serum. The tissue section was then incubated with 2 ug/ml mouse anti-AREB6/ZEB1 Antibody (AAA19667) overnight at 4 degree C. Peroxidase Conjugated Goat Anti-mouse IgG was used as secondary antibody and incubated for 30 minutes at 37 degree C. The tissue section was developed using HRP Conjugated Mouse IgG Super Vision Assay Kit with DAB as the chromogen.)
IHC (Immunohistochemistry)
(Figure 4. IHC analysis of AREB6/ZEB1 using anti-AREB6/ZEB1 antibody (AAA19667).AREB6/ZEB1 was detected in a paraffin-embedded section of human breast cancer tissue. Heat mediated antigen retrieval was performed in EDTA buffer (pH 8.0, epitope retrieval solution). The tissue section was blocked with 10% goat serum. The tissue section was then incubated with 2 ug/ml mouse anti-AREB6/ZEB1 Antibody (AAA19667) overnight at 4 degree C. Peroxidase Conjugated Goat Anti-mouse IgG was used as secondary antibody and incubated for 30 minutes at 37 degree C. The tissue section was developed using HRP Conjugated Mouse IgG Super Vision Assay Kit with DAB as the chromogen.)
IHC (Immunohistochemistry)
(Figure 3. IHC analysis of AREB6/ZEB1 using anti-AREB6/ZEB1 antibody (AAA19667).AREB6/ZEB1 was detected in a paraffin-embedded section of human thyroid cancer tissue. Heat mediated antigen retrieval was performed in EDTA buffer (pH 8.0, epitope retrieval solution). The tissue section was blocked with 10% goat serum. The tissue section was then incubated with 2 ug/ml mouse anti-AREB6/ZEB1 Antibody (AAA19667) overnight at 4 degree C. Peroxidase Conjugated Goat Anti-mouse IgG was used as secondary antibody and incubated for 30 minutes at 37 degree C. The tissue section was developed using HRP Conjugated Mouse IgG Super Vision Assay Kit with DAB as the chromogen.)
IHC (Immunohistochemistry)
(Figure 2. IHC analysis of AREB6/ZEB1 using anti-AREB6/ZEB1 antibody (AAA19667).AREB6/ZEB1 was detected in a paraffin-embedded section of human glioblastoma tissue. Heat mediated antigen retrieval was performed in EDTA buffer (pH 8.0, epitope retrieval solution). The tissue section was blocked with 10% goat serum. The tissue section was then incubated with 2 ug/ml mouse anti-AREB6/ZEB1 Antibody (AAA19667) overnight at 4 degree C. Peroxidase Conjugated Goat Anti-mouse IgG was used as secondary antibody and incubated for 30 minutes at 37 degree C. The tissue section was developed using HRP Conjugated Mouse IgG Super Vision Assay Kit with DAB as the chromogen.)
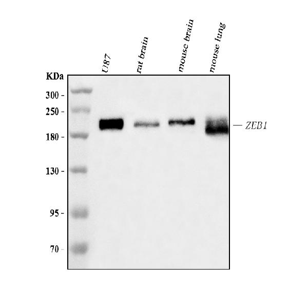
WB (Western Blot)
(Figure 1. Western blot analysis of AREB6/ZEB1 using anti-AREB6/ZEB1 antibody (AAA19667).Electrophoresis was performed on a 5-20% SDS-PAGE gel at 70V (Stacking gel)/90V (Resolving gel) for 2-3 hours. The sample well of each lane was loaded with 30 ug of sample under reducing conditions.Lane 1: human U87 whole cell lysates,Lane 2: rat brain tissue lysates,Lane 3: mouse brain tissue lysates,Lane 4: mouse lung tissue lysates.After electrophoresis, proteins were transferred to a nitrocellulose membrane at 150 mA for 50-90 minutes. Blocked the membrane with 5% non-fat milk/TBS for 1.5 hour at RT. The membrane was incubated with mouse anti-AREB6/ZEB1 antigen affinity purified monoclonal antibody (#AAA19667) at 0.5 ug/mL overnight at 4 degree C, then washed with TBS-0.1%Tween 3 times with 5 minutes each and probed with a goat anti-mouse IgG-HRP secondary antibody at a dilution of 1:10000 for 1.5 hour at RT. The signal is developed using an Enhanced Chemiluminescent detection (ECL) kit with Tanon 5200 system. A specific band was detected for AREB6/ZEB1 at approximately 200 kDa. The expected band size for AREB6/ZEB1 is at 124 kDa.)
NCBI and Uniprot Product Information
Observed: 130 kDa
Customer Reviews
Loading reviews...
Share Your Experience
Similar Products
Product Notes
The ZEB1 zeb1 (Catalog #AAA19667) is an Antibody produced from Mouse and is intended for research purposes only. The product is available for immediate purchase. The Anti-AREB6/ZEB1 Antibody Picoband (monoclonal, 8B12D7) reacts with Human, Mouse, Rat and may cross-react with other species as described in the data sheet. AAA Biotech's AREB6/ZEB1 can be used in a range of immunoassay formats including, but not limited to, IF (Immunofluorescence), IHC (Immunohistochemistry), WB (Western Blot). WB: 0.25-0.5 ug/ml, Human, Mouse, Rat IHC-P: 2-5 ug/ml, Human, Mouse, Rat IF: 5 ug/ml, Human Tested Species: In-house tested species with positive results. Enhanced Chemiluminescent Kit with anti-Mouse IgG for Western blot, and HRP Conjugated anti-Mouse IgG Super Vision Assay Kit for IHC(P). Researchers should empirically determine the suitability of the ZEB1 zeb1 for an application not listed in the data sheet. Researchers commonly develop new applications and it is an integral, important part of the investigative research process. It is sometimes possible for the material contained within the vial of "AREB6/ZEB1, Monoclonal Antibody" to become dispersed throughout the inside of the vial, particularly around the seal of said vial, during shipment and storage. We always suggest centrifuging these vials to consolidate all of the liquid away from the lid and to the bottom of the vial prior to opening. Please be advised that certain products may require dry ice for shipping and that, if this is the case, an additional dry ice fee may also be required.Precautions
All products in the AAA Biotech catalog are strictly for research-use only, and are absolutely not suitable for use in any sort of medical, therapeutic, prophylactic, in-vivo, or diagnostic capacity. By purchasing a product from AAA Biotech, you are explicitly certifying that said products will be properly tested and used in line with industry standard. AAA Biotech and its authorized distribution partners reserve the right to refuse to fulfill any order if we have any indication that a purchaser may be intending to use a product outside of our accepted criteria.Disclaimer
Though we do strive to guarantee the information represented in this datasheet, AAA Biotech cannot be held responsible for any oversights or imprecisions. AAA Biotech reserves the right to adjust any aspect of this datasheet at any time and without notice. It is the responsibility of the customer to inform AAA Biotech of any product performance issues observed or experienced within 30 days of receipt of said product. To see additional details on this or any of our other policies, please see our Terms & Conditions page.Item has been added to Shopping Cart
If you are ready to order, navigate to Shopping Cart and get ready to checkout.
