CA9 recombinant antibody
CA9 Rabbit mAb
Gene Names
CA9; MN; CAIX
Reactivity
Human
Applications
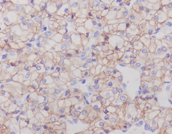
Immunohistochemistry, Western Blot
Purity
Affinity-chromatography
Synonyms
CA9, Recombinant Antibody; CA9 Rabbit mAb; MN; P54/58N; CAIX; CA9; Carbonic anhydrase IX; CAH9; CA9 recombinant antibody
Host
Rabbit
Reactivity
Human
Clonality
Monoclonal
Isotype
Rabbit IgG
Specificity
CA9 Antibody detects endogenous levels of CA9
Purity/Purification
Affinity-chromatography
Form/Format
Rabbit IgG in phosphate buffered saline, pH7.4, 150mM NaCl, 0.02% sodium azide and 50% glycerol.
Applicable Applications for CA9 recombinant antibody
IHC (Immunohistochemistry), WB (Western Blot)
Immunogen
A synthesized peptide derived from human CA9
Preparation and Storage
Store at +4 degree C short term. Store at -20 degree C long term. Avoid freeze/thaw cycle.
Related Product Information for CA9 recombinant antibody
CA IX is a transmembrane protein and the only tumor-associated carbonic anhydrase isoenzyme known. It is expressed in all clear-cell renal cell carcinoma, but is not detected in normal kidney or most other normal tissues. It may be involved in cell proliferation and transformation. Reversible hydration of carbon dioxide. Participates in pH regulation. May be involved in the control of cell proliferation and transformation. Appears to be a novel specific biomarker for a cervical neoplasia.
Product Categories/Family for CA9 recombinant antibody
NCBI and Uniprot Product Information
NCBI GI #
NCBI GeneID
Molecular Weight
49,698 Da
NCBI Official Full Name
carbonic anhydrase IX
NCBI Official Synonym Full Names
carbonic anhydrase 9
NCBI Official Symbol
CA9
NCBI Official Synonym Symbols
MN; CAIX
NCBI Protein Information
carbonic anhydrase 9
UniProt Protein Name
Carbonic anhydrase 9
UniProt Gene Name
CA9
UniProt Synonym Gene Names
G250; MN; CA-IX; CAIX; RCC-associated antigen G250
Customer Reviews
Loading reviews...
Share Your Experience
Similar Products
Product Notes
The CA9 ca9 (Catalog #AAA315252) is a Recombinant Antibody produced from Rabbit and is intended for research purposes only. The product is available for immediate purchase. The CA9 Rabbit mAb reacts with Human and may cross-react with other species as described in the data sheet. AAA Biotech's CA9 can be used in a range of immunoassay formats including, but not limited to, IHC (Immunohistochemistry), WB (Western Blot). Researchers should empirically determine the suitability of the CA9 ca9 for an application not listed in the data sheet. Researchers commonly develop new applications and it is an integral, important part of the investigative research process. It is sometimes possible for the material contained within the vial of "CA9, Monoclonal Recombinant Antibody" to become dispersed throughout the inside of the vial, particularly around the seal of said vial, during shipment and storage. We always suggest centrifuging these vials to consolidate all of the liquid away from the lid and to the bottom of the vial prior to opening. Please be advised that certain products may require dry ice for shipping and that, if this is the case, an additional dry ice fee may also be required.Precautions
All products in the AAA Biotech catalog are strictly for research-use only, and are absolutely not suitable for use in any sort of medical, therapeutic, prophylactic, in-vivo, or diagnostic capacity. By purchasing a product from AAA Biotech, you are explicitly certifying that said products will be properly tested and used in line with industry standard. AAA Biotech and its authorized distribution partners reserve the right to refuse to fulfill any order if we have any indication that a purchaser may be intending to use a product outside of our accepted criteria.Disclaimer
Though we do strive to guarantee the information represented in this datasheet, AAA Biotech cannot be held responsible for any oversights or imprecisions. AAA Biotech reserves the right to adjust any aspect of this datasheet at any time and without notice. It is the responsibility of the customer to inform AAA Biotech of any product performance issues observed or experienced within 30 days of receipt of said product. To see additional details on this or any of our other policies, please see our Terms & Conditions page.Item has been added to Shopping Cart
If you are ready to order, navigate to Shopping Cart and get ready to checkout.
