Mouse Catenin-beta Monoclonal Antibody | anti-CTNNB1 antibody
Catenin-beta Monoclonal Antibody
Gene Names
CTNNB1; CTNNB; MRD19; armadillo
Reactivity
Human, Mouse, Rat
Applications
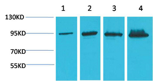
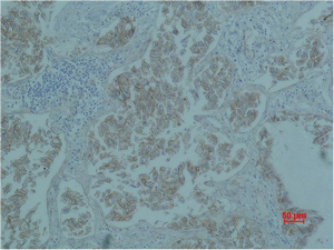
Immunohistochemistry, Western Blot
Purity
The antibody was affinity-purified from antiserum by affinity-chromatography
Synonyms
Catenin-beta, Antibody; Catenin-beta Monoclonal Antibody; Catenin-b Monoclonal Antibody; anti-CTNNB1 antibody
Host
Mouse
Reactivity
Human, Mouse, Rat
Clonality
Monoclonal
Specificity
The antibody detects endogenous Catenin-b protein.
Purity/Purification
The antibody was affinity-purified from antiserum by affinity-chromatography
Form/Format
PBS, pH 7.4, containing 0.02% sodium azide as Preservative and 50% Glycerol.
Concentration
1 mg/ml (varies by lot)
Sequence Length
781
Applicable Applications for anti-CTNNB1 antibody
IHC (Immunohistochemistry), WB (Western Blot)
Immunogen Type
Recombinant Protein
Immunogen Description
Recombinant Protein
Target Name
Catenin-b
Preparation and Storage
Store at -20 degree C/1 year
Product Categories/Family for anti-CTNNB1 antibody
NCBI and Uniprot Product Information
NCBI GI #
NCBI GeneID
NCBI Accession #
NCBI GenBank Nucleotide #
Molecular Weight
9,501 Da
NCBI Official Full Name
catenin beta-1
NCBI Official Synonym Full Names
catenin (cadherin-associated protein), beta 1, 88kDa
NCBI Official Symbol
CTNNB1
NCBI Official Synonym Symbols
CTNNB; MRD19; armadillo
NCBI Protein Information
catenin beta-1
UniProt Protein Name
Catenin beta-1
UniProt Gene Name
CTNNB1
UniProt Synonym Gene Names
CTNNB
UniProt Entry Name
CTNB1_HUMAN
Customer Reviews
Loading reviews...
Share Your Experience
Similar Products
Product Notes
The CTNNB1 ctnnb1 (Catalog #AAA300863) is an Antibody produced from Mouse and is intended for research purposes only. The product is available for immediate purchase. The Catenin-beta Monoclonal Antibody reacts with Human, Mouse, Rat and may cross-react with other species as described in the data sheet. AAA Biotech's Catenin-beta can be used in a range of immunoassay formats including, but not limited to, IHC (Immunohistochemistry), WB (Western Blot). Researchers should empirically determine the suitability of the CTNNB1 ctnnb1 for an application not listed in the data sheet. Researchers commonly develop new applications and it is an integral, important part of the investigative research process. It is sometimes possible for the material contained within the vial of "Catenin-beta, Monoclonal Antibody" to become dispersed throughout the inside of the vial, particularly around the seal of said vial, during shipment and storage. We always suggest centrifuging these vials to consolidate all of the liquid away from the lid and to the bottom of the vial prior to opening. Please be advised that certain products may require dry ice for shipping and that, if this is the case, an additional dry ice fee may also be required.Precautions
All products in the AAA Biotech catalog are strictly for research-use only, and are absolutely not suitable for use in any sort of medical, therapeutic, prophylactic, in-vivo, or diagnostic capacity. By purchasing a product from AAA Biotech, you are explicitly certifying that said products will be properly tested and used in line with industry standard. AAA Biotech and its authorized distribution partners reserve the right to refuse to fulfill any order if we have any indication that a purchaser may be intending to use a product outside of our accepted criteria.Disclaimer
Though we do strive to guarantee the information represented in this datasheet, AAA Biotech cannot be held responsible for any oversights or imprecisions. AAA Biotech reserves the right to adjust any aspect of this datasheet at any time and without notice. It is the responsibility of the customer to inform AAA Biotech of any product performance issues observed or experienced within 30 days of receipt of said product. To see additional details on this or any of our other policies, please see our Terms & Conditions page.Item has been added to Shopping Cart
If you are ready to order, navigate to Shopping Cart and get ready to checkout.
