Mouse anti-Human CD61/Integrin 3/Platelet Glycoprotein IIIa Monoclonal Antibody | anti-ITGB3 antibody
CD61/Integrin 3/Platelet Glycoprotein IIIa (Platelet Marker)
Gene Names
ITGB3; GT; CD61; GP3A; BDPLT2; GPIIIa; BDPLT16
Reactivity
Human
Applications
Immunohistochemistry
Purity
Purified Ab with BSA and Azide at 200ug/ml OR Purified Ab WITHOUT BSA and Azide at 1.0mg/ml
Synonyms
CD61/Integrin 3/Platelet Glycoprotein IIIa, Antibody; CD61/Integrin 3/Platelet Glycoprotein IIIa (Platelet Marker); BDPLT2; GP3A; GPIIIa; GT; HPA 1; HPA 4; Integrin beta-3; ITGB3; NAIT; Platelet fibrinogen receptor beta subunit; Platelet glycoprotein IIIa; PTP; anti-ITGB3 antibody
Host
Mouse
Reactivity
Human
Clonality
Monoclonal
Isotype
IgG2b, kappa
Clone Number
ITGB3/2597
Specificity
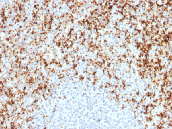
Reacts with human integrin beta3 (GPIIIa, vitronectin receptor beta chain). It associates with the IIb-chain (CD41) to form the GpIIb/GpIIIa complex (CD41/CD61).The CD41/CD61 complex appears early in megakaryocyte maturation. The activated CD41/CD61 complex is a receptor for von Willebrand factor, soluble fibrinogen, fibronectin, vitronectin and thrombospondin. It plays a central role in platelet activation and aggregation. The CD51/CD61 is implicated in tumor metastasis and adenoviral infection. The antibody detects platelets in smears of blood and bone marrow, as well as megakaryocytes in frozen sections and cell smears. The antibody is useful for classification of megakaryoblastic leukemia.
Purity/Purification
Purified Ab with BSA and Azide at 200ug/ml OR Purified Ab WITHOUT BSA and Azide at 1.0mg/ml
Form/Format
200ug/ml of Ab Purified from Bioreactor Concentrate by Protein A/G. Prepared in 10mM PBS with 0.05% BSA & 0.05% azide. Also available WITHOUT BSA & azide at 1.0mg/ml.
Sequence Length
788
Applicable Applications for anti-ITGB3 antibody
IHC (Immunohistochemistry)
Positive Control
U937, KG1a, HEL cells. Spleen.
Immunogen
Recombinant human ITGB3 protein fragment (aa 385-490) (exact sequence is proprietary)
Cellular Localization
Cell Surface
Hu-chromosome Location
17q21.32
Preparation and Storage
Antibody with azide: store at 2 to 8 degree C.
Antibody without azide: store at -20 to -80 degree C.
Antibody is stable for 24 months. Non-hazardous. No MSDS required.
Antibody without azide: store at -20 to -80 degree C.
Antibody is stable for 24 months. Non-hazardous. No MSDS required.
References
Gatter KC., et al. Histopathology 1988; 13:257 -67.
NCBI and Uniprot Product Information
NCBI GI #
NCBI GeneID
NCBI Accession #
NCBI GenBank Nucleotide #
UniProt Accession #
Molecular Weight
105kDa & 90kDa
NCBI Official Full Name
integrin beta-3
NCBI Official Synonym Full Names
integrin subunit beta 3
NCBI Official Symbol
ITGB3
NCBI Official Synonym Symbols
GT; CD61; GP3A; BDPLT2; GPIIIa; BDPLT16
NCBI Protein Information
integrin beta-3
UniProt Protein Name
Integrin beta-3
UniProt Gene Name
ITGB3
UniProt Synonym Gene Names
GP3A; GPIIIa
UniProt Entry Name
ITB3_HUMAN
Customer Reviews
Loading reviews...
Share Your Experience
Similar Products
Product Notes
The ITGB3 itgb3 (Catalog #AAA215044) is an Antibody produced from Mouse and is intended for research purposes only. The product is available for immediate purchase. The CD61/Integrin 3/Platelet Glycoprotein IIIa (Platelet Marker) reacts with Human and may cross-react with other species as described in the data sheet. AAA Biotech's CD61/Integrin 3/Platelet Glycoprotein IIIa can be used in a range of immunoassay formats including, but not limited to, IHC (Immunohistochemistry). Researchers should empirically determine the suitability of the ITGB3 itgb3 for an application not listed in the data sheet. Researchers commonly develop new applications and it is an integral, important part of the investigative research process. It is sometimes possible for the material contained within the vial of "CD61/Integrin 3/Platelet Glycoprotein IIIa, Monoclonal Antibody" to become dispersed throughout the inside of the vial, particularly around the seal of said vial, during shipment and storage. We always suggest centrifuging these vials to consolidate all of the liquid away from the lid and to the bottom of the vial prior to opening. Please be advised that certain products may require dry ice for shipping and that, if this is the case, an additional dry ice fee may also be required.Precautions
All products in the AAA Biotech catalog are strictly for research-use only, and are absolutely not suitable for use in any sort of medical, therapeutic, prophylactic, in-vivo, or diagnostic capacity. By purchasing a product from AAA Biotech, you are explicitly certifying that said products will be properly tested and used in line with industry standard. AAA Biotech and its authorized distribution partners reserve the right to refuse to fulfill any order if we have any indication that a purchaser may be intending to use a product outside of our accepted criteria.Disclaimer
Though we do strive to guarantee the information represented in this datasheet, AAA Biotech cannot be held responsible for any oversights or imprecisions. AAA Biotech reserves the right to adjust any aspect of this datasheet at any time and without notice. It is the responsibility of the customer to inform AAA Biotech of any product performance issues observed or experienced within 30 days of receipt of said product. To see additional details on this or any of our other policies, please see our Terms & Conditions page.Item has been added to Shopping Cart
If you are ready to order, navigate to Shopping Cart and get ready to checkout.
