Cytokeratin 20 Recombinant Antibody | KRT20 recombinant antibody
Cytokeratin 20 Antibody
Gene Names
KRT20; K20; CD20; CK20; CK-20; KRT21
Reactivity
Human, Rat
Applications
Flow Cytometry, Functional Assay, Immunoprecipitation, Immunofluorescence, Immunocytochemistry, Immunohistochemistry, Western Blot
Purity
Affinity-chromatography
Synonyms
Cytokeratin 20, Recombinant Antibody; Cytokeratin 20 Antibody; CD20; CK-20; CK20; cytokeratin 20; Cytokeratin-20; K1C20; K20; keratin 20; Keratin, type I cytoskeletal 20; Keratin-20; KRT20; KRT21; MGC35423; Protein IT; KRT20 recombinant antibody
Host
Rabbit
Reactivity
Human, Rat
Clonality
Monoclonal
Isotype
Rabbit IgG
Purity/Purification
Affinity-chromatography
Form/Format
Rabbit IgG in phosphate buffered saline, pH7.4, 150mM NaCl, 0.02% sodium azide and 50% glycerol.
Applicable Applications for KRT20 recombinant antibody
FCM/FACS (Flow Cytometry), IP (Immunoprecipitation), IF (Immunofluorescence), ICC (Immunocytochemistry), IHC (Immunohistochemistry), WB (Western Blot)
Immunogen
A synthesized peptide derived from human Cytokeratin 20
Preparation and Storage
Store at +4 degree C short term. Store at -20 degree C long term. Avoid freeze/thaw cycle.
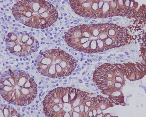
IHC (Immunohistochemisry)
(Immunohistochemical analysis of paraffin-embedded human colon, using Cytokeratin 20 Antibody.)
Related Product Information for KRT20 recombinant antibody
Intermediate-sized filament (IF) protein designated cytokeratin (CK) 20 is a major cellular protein of matureenterocytes and goblet cells commonly found in mucosal epithelium of the mammalian gastrointestinal tract.Results strongly suggest that transcriptional regulation of keratin genes in the intestinal epithelium occurs atthe level of both immature and terminally differentiated epithelial cells, and is tightly regulated during both fetaldevelopment and crypt-to-villus differentiation of the intestinal epithelium. CK20 has recently been reported tobe useful to distinguish between primary and metastatic lung adenocarcinoma. CK20 expression wassignificantly more prevalent in adenocarcinoma that originated in the GI tract than that of pulmonary or breastorigin.
Product Categories/Family for KRT20 recombinant antibody
NCBI and Uniprot Product Information
NCBI GI #
NCBI GeneID
NCBI Accession #
NCBI GenBank Nucleotide #
Molecular Weight
48,487 Da
NCBI Official Full Name
keratin, type I cytoskeletal 20
NCBI Official Synonym Full Names
keratin 20
NCBI Official Symbol
KRT20
NCBI Official Synonym Symbols
K20; CD20; CK20; CK-20; KRT21
NCBI Protein Information
keratin, type I cytoskeletal 20; keratin-20; protein IT; cytokeratin 20; cytokeratin-20
UniProt Protein Name
Keratin, type I cytoskeletal 20
UniProt Gene Name
KRT20
UniProt Synonym Gene Names
CK-20; K20
UniProt Entry Name
K1C20_HUMAN
Customer Reviews
Loading reviews...
Share Your Experience
Similar Products
Product Notes
The KRT20 krt20 (Catalog #AAA314965) is a Recombinant Antibody produced from Rabbit and is intended for research purposes only. The product is available for immediate purchase. The Cytokeratin 20 Antibody reacts with Human, Rat and may cross-react with other species as described in the data sheet. AAA Biotech's Cytokeratin 20 can be used in a range of immunoassay formats including, but not limited to, FCM/FACS (Flow Cytometry), IP (Immunoprecipitation), IF (Immunofluorescence), ICC (Immunocytochemistry), IHC (Immunohistochemistry), WB (Western Blot). Researchers should empirically determine the suitability of the KRT20 krt20 for an application not listed in the data sheet. Researchers commonly develop new applications and it is an integral, important part of the investigative research process. It is sometimes possible for the material contained within the vial of "Cytokeratin 20, Monoclonal Recombinant Antibody" to become dispersed throughout the inside of the vial, particularly around the seal of said vial, during shipment and storage. We always suggest centrifuging these vials to consolidate all of the liquid away from the lid and to the bottom of the vial prior to opening. Please be advised that certain products may require dry ice for shipping and that, if this is the case, an additional dry ice fee may also be required.Precautions
All products in the AAA Biotech catalog are strictly for research-use only, and are absolutely not suitable for use in any sort of medical, therapeutic, prophylactic, in-vivo, or diagnostic capacity. By purchasing a product from AAA Biotech, you are explicitly certifying that said products will be properly tested and used in line with industry standard. AAA Biotech and its authorized distribution partners reserve the right to refuse to fulfill any order if we have any indication that a purchaser may be intending to use a product outside of our accepted criteria.Disclaimer
Though we do strive to guarantee the information represented in this datasheet, AAA Biotech cannot be held responsible for any oversights or imprecisions. AAA Biotech reserves the right to adjust any aspect of this datasheet at any time and without notice. It is the responsibility of the customer to inform AAA Biotech of any product performance issues observed or experienced within 30 days of receipt of said product. To see additional details on this or any of our other policies, please see our Terms & Conditions page.Item has been added to Shopping Cart
If you are ready to order, navigate to Shopping Cart and get ready to checkout.
