Mouse Cytokeratin 5/6/18 Monoclonal Antibody
Cytokeratin 5/6/18
Reactivity
Human, Cow, Rat
Applications
Immunohistochemistry, Western Blot, Immunofluorescence, Flow Cytometry, Functional Assay
Purity
Purified Ab with BSA and Azide at 200ug/ml OR Purified Ab WITHOUT BSA and Azide at 1.0mg/ml
Synonyms
Cytokeratin 5/6/18, Antibody; Cytokeratin 5/6/18; CK5; Keratin-5; KRT5; Cytoskeletal 6;; KRT6; CK18; CYK18; K18; Keratin-18; KRT18; anti-Cytokeratin 5/6/18 antibody
Host
Mouse
Reactivity
Human, Cow, Rat
Clonality
Monoclonal
Isotype
IgG1, kappa
Clone Number
SPM267
Specificity
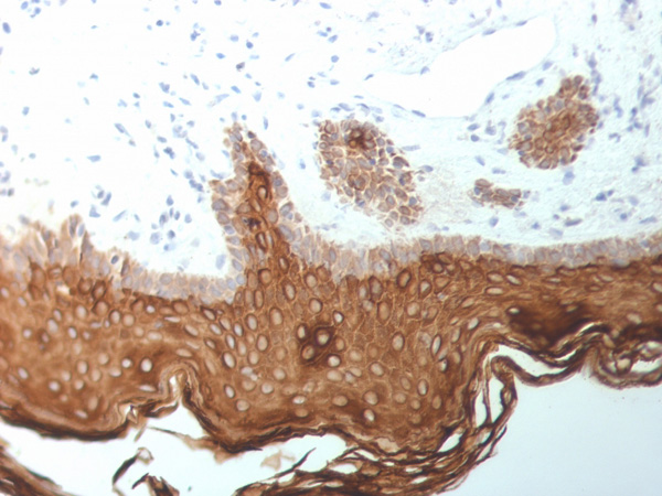
It recognizes polypeptides of 58kDa, 56kDa, and 45kDa, identified as cytokeratin 5, 6, and 18 respectively. It shows no reaction with keratin 1, 8, or 19. This MAb shows a broad pattern of reactivity with epithelial tissues, from simple glandular epithelia to stratified squamous epithelia. Epithelial cells are labeled whether they are ectodermal, mesodermal, or endodermal in origin. This MAb is useful in detecting cells of epithelial origin in mixed tumors, in effusions, in bone marrow samples, or in tissue culture cells.
Purity/Purification
Purified Ab with BSA and Azide at 200ug/ml OR Purified Ab WITHOUT BSA and Azide at 1.0mg/ml
Form/Format
200ug/ml of Ab Purified from Bioreactor Concentrate by Protein A/G. Prepared in 10mM PBS with 0.05% BSA & 0.05% azide. Also available WITHOUT BSA & azide at 1.0mg/ml.
Applicable Applications for anti-Cytokeratin 5/6/18 antibody
IHC (Immunohistochemistry), WB (Western Blot), IF (Immunofluorescence), FCM/FACS (Flow Cytometry)
Positive Control
HeLa, HepG2 or PC12 cells. Tonsil or Skin.
Immunogen
Detergent-insoluble fraction of psoriatic human epidermis
Cellular Localization
Cytoplasmic
Hu-chromosome Location
Multiple
Preparation and Storage
Antibody with azide: store at 2 to 8 degree C.
Antibody without azide: store at -20 to -80 degree C.
Antibody is stable for 24 months. Non-hazardous. No MSDS required.
Antibody without azide: store at -20 to -80 degree C.
Antibody is stable for 24 months. Non-hazardous. No MSDS required.
References
Lane EB, et. al. Annals of the New York Academy of Sciences, 1985, 455:241-58.
Customer Reviews
Loading reviews...
Share Your Experience
Similar Products
Product Notes
The Cytokeratin 5/6/18 (Catalog #AAA215341) is an Antibody produced from Mouse and is intended for research purposes only. The product is available for immediate purchase. The Cytokeratin 5/6/18 reacts with Human, Cow, Rat and may cross-react with other species as described in the data sheet. AAA Biotech's Cytokeratin 5/6/18 can be used in a range of immunoassay formats including, but not limited to, IHC (Immunohistochemistry), WB (Western Blot), IF (Immunofluorescence), FCM/FACS (Flow Cytometry). Researchers should empirically determine the suitability of the Cytokeratin 5/6/18 for an application not listed in the data sheet. Researchers commonly develop new applications and it is an integral, important part of the investigative research process. It is sometimes possible for the material contained within the vial of "Cytokeratin 5/6/18, Monoclonal Antibody" to become dispersed throughout the inside of the vial, particularly around the seal of said vial, during shipment and storage. We always suggest centrifuging these vials to consolidate all of the liquid away from the lid and to the bottom of the vial prior to opening. Please be advised that certain products may require dry ice for shipping and that, if this is the case, an additional dry ice fee may also be required.Precautions
All products in the AAA Biotech catalog are strictly for research-use only, and are absolutely not suitable for use in any sort of medical, therapeutic, prophylactic, in-vivo, or diagnostic capacity. By purchasing a product from AAA Biotech, you are explicitly certifying that said products will be properly tested and used in line with industry standard. AAA Biotech and its authorized distribution partners reserve the right to refuse to fulfill any order if we have any indication that a purchaser may be intending to use a product outside of our accepted criteria.Disclaimer
Though we do strive to guarantee the information represented in this datasheet, AAA Biotech cannot be held responsible for any oversights or imprecisions. AAA Biotech reserves the right to adjust any aspect of this datasheet at any time and without notice. It is the responsibility of the customer to inform AAA Biotech of any product performance issues observed or experienced within 30 days of receipt of said product. To see additional details on this or any of our other policies, please see our Terms & Conditions page.Item has been added to Shopping Cart
If you are ready to order, navigate to Shopping Cart and get ready to checkout.
