Host
Mouse
Reactivity
Human
Clonality
Monoclonal
Isotype
IgG1
Clone Number
D5/16B4
Form/Format
Cytokeratin 5 & 6 is a cocktail of mouse monoclonal antibodies derived from cell culture supernatant that is concentrated, dialyzed, filter sterilized and diluted in buffer pH 7.5, containing BSA and sodium azide as a preservative.
Control
Mesothelioma, Prostate
Localization
Cytoplasmic
Reactivity Note
Paraffin, Frozen
Preparation and Storage
Store at 2 to 8 degree C in the dark.
Related Product Information for anti-Cytokeratin 5 & 6 antibody
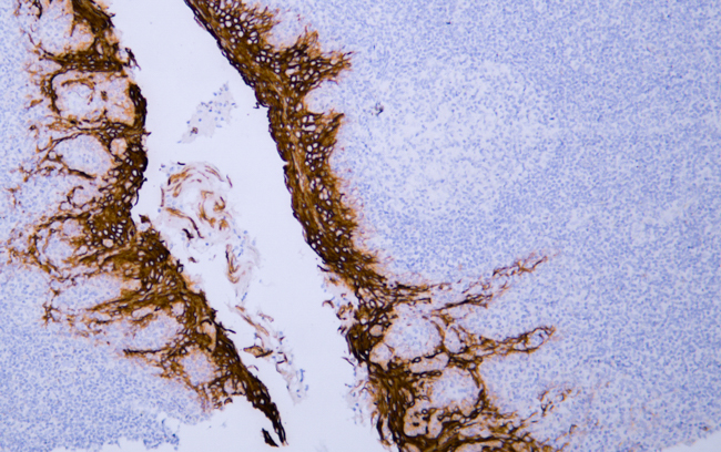
Cytokeratin 5 (58 kDa) is a high-molecular weight, basic type of cytokeratin expressed in basal, intermediate and superficial-cell layers of stratified epithelia as well as transitional epithelia, complex epithelia, mesothelial cells and Mesothelioma. Cytokeratin 6 (56 kD) is also a high-molecular weight, basic type cytokeratin expressed by proliferating squamous epithelium often paired with Cytokeratin 16. CK 5 and 6 are positively seen in nearly 100% of Malignant Mesotheliomas and is rarely seen in Lung Adeno-carcinomas. CK 5 and 6 can positively be seen in undifferentiated Large-cell Carcinoma as well as Squamous Carcinoma. Fewer than 10% of Carcinomas of the breast, colon, and prostate stain positively for this marker. CK 5 and 6 have also been used successfully as a myoepithelial cell marker in the prostate to determine malignancy.
Customer Reviews
Loading reviews...
Share Your Experience
Similar Products
Product Notes
The Cytokeratin 5 & 6 (Catalog #AAA59208) is an Antibody produced from Mouse and is intended for research purposes only. The product is available for immediate purchase. The Cytokeratin 5 & 6 reacts with Human and may cross-react with other species as described in the data sheet. It is sometimes possible for the material contained within the vial of "Cytokeratin 5 & 6, Monoclonal Antibody" to become dispersed throughout the inside of the vial, particularly around the seal of said vial, during shipment and storage. We always suggest centrifuging these vials to consolidate all of the liquid away from the lid and to the bottom of the vial prior to opening. Please be advised that certain products may require dry ice for shipping and that, if this is the case, an additional dry ice fee may also be required.Precautions
All products in the AAA Biotech catalog are strictly for research-use only, and are absolutely not suitable for use in any sort of medical, therapeutic, prophylactic, in-vivo, or diagnostic capacity. By purchasing a product from AAA Biotech, you are explicitly certifying that said products will be properly tested and used in line with industry standard. AAA Biotech and its authorized distribution partners reserve the right to refuse to fulfill any order if we have any indication that a purchaser may be intending to use a product outside of our accepted criteria.Disclaimer
Though we do strive to guarantee the information represented in this datasheet, AAA Biotech cannot be held responsible for any oversights or imprecisions. AAA Biotech reserves the right to adjust any aspect of this datasheet at any time and without notice. It is the responsibility of the customer to inform AAA Biotech of any product performance issues observed or experienced within 30 days of receipt of said product. To see additional details on this or any of our other policies, please see our Terms & Conditions page.Item has been added to Shopping Cart
If you are ready to order, navigate to Shopping Cart and get ready to checkout.
