Host
Rabbit
Clonality
Monoclonal
Clone Number
T16-K
Specificity
Human
Applicable Applications for anti-KRT5 antibody
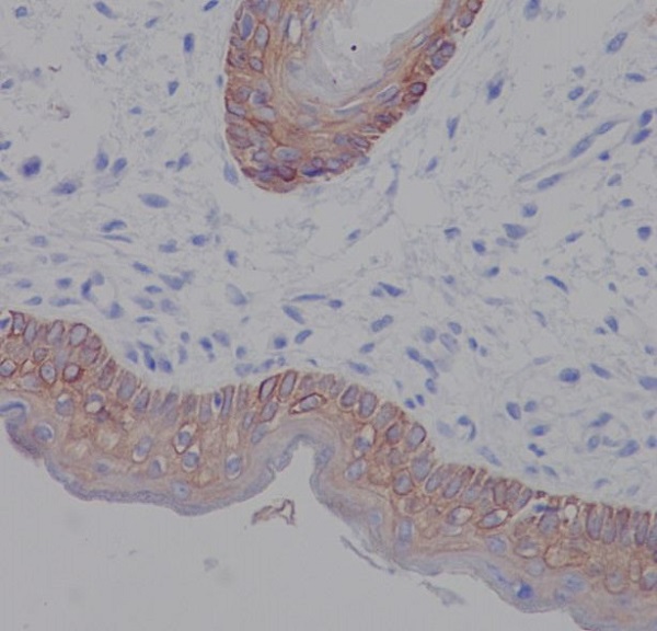
IHC (Immunohistochemistry)
Buffer
20 mM Tris-HCl, pH 8.0
Stabilizer
20 mg/ml BSA
Preservative
0.05% NaN3
Immunogen
Peptide derived from C-terminal sequence of human cytokeratin 6. Antibody recognizes the epitope (identical with cytokeratin 5) between Thr548 – His564.
Cellular Localization
Cytoplasm
Positive Control
Skin or prostate tissue (basal cells); squamous cell carcinoma tissue
Precautions
1. We strongly recommend to use Primary Antibody Diluent, eventually alternative diluent (containing protease free BSA at the concentrations > 1mg/ml) for dilution of concentrated antibodies, otherwise the warranty might be voided.
2. Centrifuge the vial before use.
3. Intended for professional use in laboratories.
4. Do not use after expiration date stamped on vial label.
5. Avoid contamination of the reagent.
6. Any discrepancies in the recommended procedures stated in the working protocol may affect the final results.
7. The reagent contains sodium azide (NaN3) which is highly toxic in higher concentrations. The concentration in the reagent (0.05%) is not considered as hazardous.
8. Disposal of waste material must be conducted in accordance with local regulations.
9. Wear appropriate Personal Protective Equipment to avoid contact with eyes and skin.
2. Centrifuge the vial before use.
3. Intended for professional use in laboratories.
4. Do not use after expiration date stamped on vial label.
5. Avoid contamination of the reagent.
6. Any discrepancies in the recommended procedures stated in the working protocol may affect the final results.
7. The reagent contains sodium azide (NaN3) which is highly toxic in higher concentrations. The concentration in the reagent (0.05%) is not considered as hazardous.
8. Disposal of waste material must be conducted in accordance with local regulations.
9. Wear appropriate Personal Protective Equipment to avoid contact with eyes and skin.
Preparation and Storage
Store at +4°C
NCBI and Uniprot Product Information
NCBI GI #
NCBI GeneID
NCBI Accession #
NCBI GenBank Nucleotide #
NCBI Official Full Name
keratin, type II cytoskeletal 5
NCBI Official Synonym Full Names
keratin 5
NCBI Official Symbol
KRT5
NCBI Official Synonym Symbols
K5; CK5; DDD; DDD1; EBS2; KRT5A
NCBI Protein Information
keratin, type II cytoskeletal 5
UniProt Protein Name
Keratin, type II cytoskeletal 5
UniProt Gene Name
KRT5
UniProt Synonym Gene Names
CK-5; K5
UniProt Entry Name
K2C5_HUMAN
Customer Reviews
Loading reviews...
Share Your Experience
Similar Products
Product Notes
The KRT5 krt5 (Catalog #AAA79020) is an Antibody produced from Rabbit and is intended for research purposes only. The product is available for immediate purchase. AAA Biotech's Cytokeratin 5/6 can be used in a range of immunoassay formats including, but not limited to, IHC (Immunohistochemistry). Researchers should empirically determine the suitability of the KRT5 krt5 for an application not listed in the data sheet. Researchers commonly develop new applications and it is an integral, important part of the investigative research process. It is sometimes possible for the material contained within the vial of "Cytokeratin 5/6, Monoclonal Antibody" to become dispersed throughout the inside of the vial, particularly around the seal of said vial, during shipment and storage. We always suggest centrifuging these vials to consolidate all of the liquid away from the lid and to the bottom of the vial prior to opening. Please be advised that certain products may require dry ice for shipping and that, if this is the case, an additional dry ice fee may also be required.Precautions
All products in the AAA Biotech catalog are strictly for research-use only, and are absolutely not suitable for use in any sort of medical, therapeutic, prophylactic, in-vivo, or diagnostic capacity. By purchasing a product from AAA Biotech, you are explicitly certifying that said products will be properly tested and used in line with industry standard. AAA Biotech and its authorized distribution partners reserve the right to refuse to fulfill any order if we have any indication that a purchaser may be intending to use a product outside of our accepted criteria.Disclaimer
Though we do strive to guarantee the information represented in this datasheet, AAA Biotech cannot be held responsible for any oversights or imprecisions. AAA Biotech reserves the right to adjust any aspect of this datasheet at any time and without notice. It is the responsibility of the customer to inform AAA Biotech of any product performance issues observed or experienced within 30 days of receipt of said product. To see additional details on this or any of our other policies, please see our Terms & Conditions page.Item has been added to Shopping Cart
If you are ready to order, navigate to Shopping Cart and get ready to checkout.
