Mouse anti-Human Kindlin-1/KIND1 Monoclonal Antibody | anti-FERMT1 antibody
Kindlin-1/KIND1
Gene Names
FERMT1; URP1; KIND1; DTGCU2; UNC112A; C20orf42
Reactivity
Human
Applications
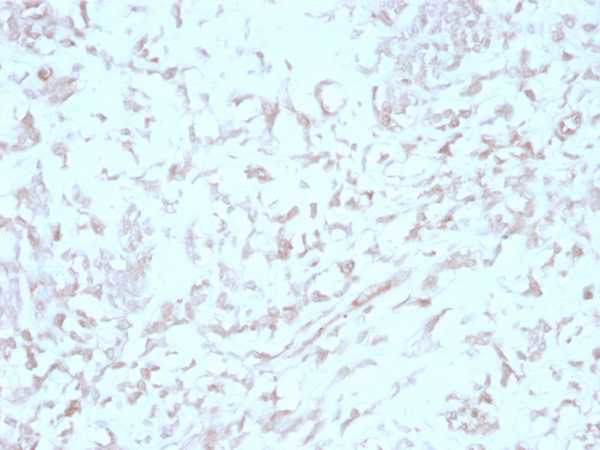
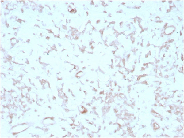
Western Blot, Immunohistochemistry, Immunoprecipitation
Purity
200ug/ml of Ab purified from Bioreactor Concentrate by Protein A/G. Prepared in 10mM PBS with 0.05% azide.
Synonyms
Kindlin-1/KIND1, Antibody; Kindlin-1/KIND1; Fermitin family homolog 1 (Fermt1); Kindlin-1 (KIND1); Kindlerin; Unc-112; UNC112A; URP1; DTGCU2; anti-FERMT1 antibody
Host
Mouse
Reactivity
Human
Clonality
Monoclonal
Isotype
IgG2a, lambda
Clone Number
4A5.14
Specificity
Kindlin-1 (also known as KIND1, KINDLERIN, UNC112-RELATED PROTEIN 1 (URP1) is an important component of cell-extracellular matrix adhesion. Kindlin-1 is involved in cell adhesion, possibly via its interaction with integrins and may mediate TGF-beta 1 signaling during tumor progression. Kindlin-1 has been shown to be significantly upregulated in lung and colon carcinomas. Mutations in the kindlin-1 gene, FERMT1, causes Kindler syndrome. Kindler syndrome is an autosomal recessive disorder characterized by neonatal blistering, sun sensitivity, atrophy, abnormal pigmentation and fragility of the skin. We have developed monoclonal anti-kidlin-1 antibodies. This monoclonal antibody recognizes kindlin-1 in multiple assays including Western blotting, immunoprecipitation, immunohistochemical and immunofluorescent staining.
Purity/Purification
200ug/ml of Ab purified from Bioreactor Concentrate by Protein A/G. Prepared in 10mM PBS with 0.05% azide.
Form/Format
Purified Ab with BSA and Azide at 200ug/ml
Sequence Length
677
Applicable Applications for anti-FERMT1 antibody
WB (Western Blot), IHC (Immunohistochemistry), IP (Immunoprecipitation)
Immunogen
Recombinant protein containing Kindlin-1 (residues 216-677)
Cellular Localization
Cytoplasm
Human Chromosome Location
20p12.3
Positive Control
293T whole cell lysate. Human Tonsil or Liver.
Preparation and Storage
Antibody with azide: store at 2 to 8°C.
Antibody is stable for 24 months. Non-hazardous. No MSDS required.
Antibody is stable for 24 months. Non-hazardous. No MSDS required.
References
Histopathology (2007) 51(4):499-508.
NCBI and Uniprot Product Information
NCBI GI #
NCBI GeneID
NCBI Accession #
NCBI GenBank Nucleotide #
UniProt Accession #
Molecular Weight
77kDa
NCBI Official Full Name
fermitin family homolog 1
NCBI Official Synonym Full Names
fermitin family member 1
NCBI Official Symbol
FERMT1
NCBI Official Synonym Symbols
URP1; KIND1; DTGCU2; UNC112A; C20orf42
NCBI Protein Information
fermitin family homolog 1
UniProt Protein Name
Fermitin family homolog 1
UniProt Gene Name
FERMT1
UniProt Synonym Gene Names
C20orf42; KIND1; URP1
UniProt Entry Name
FERM1_HUMAN
Customer Reviews
Loading reviews...
Share Your Experience
Similar Products
Product Notes
The FERMT1 fermt1 (Catalog #AAA215463) is an Antibody produced from Mouse and is intended for research purposes only. The product is available for immediate purchase. The Kindlin-1/KIND1 reacts with Human and may cross-react with other species as described in the data sheet. AAA Biotech's Kindlin-1/KIND1 can be used in a range of immunoassay formats including, but not limited to, WB (Western Blot), IHC (Immunohistochemistry), IP (Immunoprecipitation). Researchers should empirically determine the suitability of the FERMT1 fermt1 for an application not listed in the data sheet. Researchers commonly develop new applications and it is an integral, important part of the investigative research process. It is sometimes possible for the material contained within the vial of "Kindlin-1/KIND1, Monoclonal Antibody" to become dispersed throughout the inside of the vial, particularly around the seal of said vial, during shipment and storage. We always suggest centrifuging these vials to consolidate all of the liquid away from the lid and to the bottom of the vial prior to opening. Please be advised that certain products may require dry ice for shipping and that, if this is the case, an additional dry ice fee may also be required.Precautions
All products in the AAA Biotech catalog are strictly for research-use only, and are absolutely not suitable for use in any sort of medical, therapeutic, prophylactic, in-vivo, or diagnostic capacity. By purchasing a product from AAA Biotech, you are explicitly certifying that said products will be properly tested and used in line with industry standard. AAA Biotech and its authorized distribution partners reserve the right to refuse to fulfill any order if we have any indication that a purchaser may be intending to use a product outside of our accepted criteria.Disclaimer
Though we do strive to guarantee the information represented in this datasheet, AAA Biotech cannot be held responsible for any oversights or imprecisions. AAA Biotech reserves the right to adjust any aspect of this datasheet at any time and without notice. It is the responsibility of the customer to inform AAA Biotech of any product performance issues observed or experienced within 30 days of receipt of said product. To see additional details on this or any of our other policies, please see our Terms & Conditions page.Item has been added to Shopping Cart
If you are ready to order, navigate to Shopping Cart and get ready to checkout.
