Mouse anti-Human Megalin Monoclonal Antibody | anti-LRP2 antibody
Mouse Anti-Human Megalin
Gene Names
LRP2; DBS; GP330
Reactivity
Human
Applications
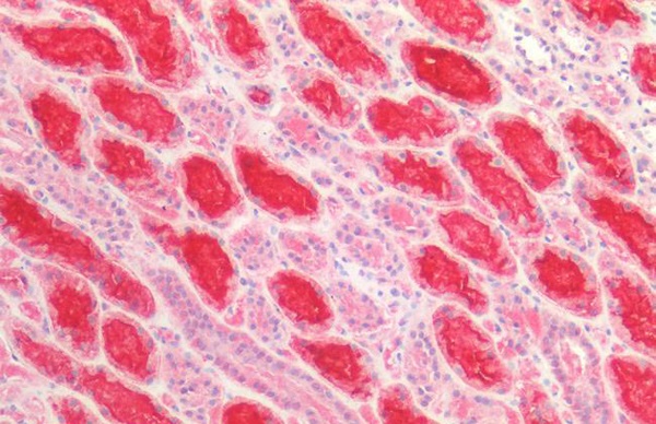
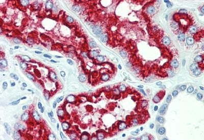
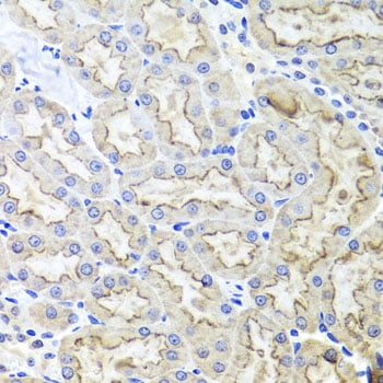
Immunofluorescence, Immunohistochemistry
Purity
Protein G purified
Synonyms
Megalin, Antibody; Mouse Anti-Human Megalin; Low-density lipoprotein receptor-related protein 2, Glycoprotein 330, gp330; anti-LRP2 antibody
Host
Mouse
Reactivity
Human
Clonality
Monoclonal
Isotype
IgG1
Clone Number
CD7D5
Specificity
This antibody cross reacts with rat and mouse Megalin.
Purity/Purification
Protein G purified
Form/Format
Sterile filtered antibody solution was lyophilized from PBS; does not contain stabilizers or preservatives.
Applicable Applications for anti-LRP2 antibody
IF (Immunofluorescence), IHC (Immunohistochemistry)
Application Notes
IF/IHC: use at 2-5ug/ml
Optimal dilution should be determined by end user for each application.
Optimal dilution should be determined by end user for each application.
Immunogen
Purified Human Megalin
Preparation
Monoclonal antibodies were produced with the help of BALB/c mice using purified human Megalin as the immunizing antigen.
Reconstitution
Centrifuge vial prior to opening. Reconstitute in sterile water to a concentration of 0.1-1.0 mg/ml.
Cross Reactivity
Rat, Mouse
Preparation and Storage
Lyophilized at -20 degree C to -80 degree C for long term.
Lyophilized at 4 degree C for 3 months.
Lyophilized at Room Temperature for 1 month.
Reconstituted at 2-8 degree C for 2 weeks.
After initial reconstitution, prepare working aliquots and store at -20 degree C to -80 degree C for 6 months.
Lyophilized at 4 degree C for 3 months.
Lyophilized at Room Temperature for 1 month.
Reconstituted at 2-8 degree C for 2 weeks.
After initial reconstitution, prepare working aliquots and store at -20 degree C to -80 degree C for 6 months.
Related Product Information for anti-LRP2 antibody
Megalin/gp330, an approx. 600 kDa transmembrane glycoprotein is a large cell surface receptor that mediates the binding and internalization of a number of structurally and functionally distinct ligands from the lipoprotein and protease:protease inhibitor families.
References
1. Farquhar et al., J Am Soc Nephrol. 6:35, 1995 2. Saito et al., PNAS 93:8601, 1996 3. Hiesberger et al., JBC 271:28792, 1996 4. Orlando et al., PNAS 94:2368, 1997 5. Kerjaschki et al., J Clin Invest. 100:2303, 1997 6. Ziak et al., J Am Soc Nephrol. 10:203, 1999
NCBI and Uniprot Product Information
NCBI GI #
NCBI GeneID
NCBI Accession #
NCBI GenBank Nucleotide #
Molecular Weight
~50 kDa HC and ~25 kDa LC
NCBI Official Full Name
low-density lipoprotein receptor-related protein 2
NCBI Official Synonym Full Names
low density lipoprotein receptor-related protein 2
NCBI Official Symbol
LRP2
NCBI Official Synonym Symbols
DBS; GP330
NCBI Protein Information
low-density lipoprotein receptor-related protein 2; LRP-2; megalin; glycoprotein 330; calcium sensor protein; Heymann nephritis antigen homolog
UniProt Protein Name
Low-density lipoprotein receptor-related protein 2
UniProt Gene Name
LRP2
UniProt Synonym Gene Names
LRP-2; gp330
UniProt Entry Name
LRP2_HUMAN
Customer Reviews
Loading reviews...
Share Your Experience
Similar Products
Product Notes
The LRP2 lrp2 (Catalog #AAA14941) is an Antibody produced from Mouse and is intended for research purposes only. The product is available for immediate purchase. The Mouse Anti-Human Megalin reacts with Human and may cross-react with other species as described in the data sheet. AAA Biotech's Megalin can be used in a range of immunoassay formats including, but not limited to, IF (Immunofluorescence), IHC (Immunohistochemistry). IF/IHC: use at 2-5ug/ml Optimal dilution should be determined by end user for each application. Researchers should empirically determine the suitability of the LRP2 lrp2 for an application not listed in the data sheet. Researchers commonly develop new applications and it is an integral, important part of the investigative research process. It is sometimes possible for the material contained within the vial of "Megalin, Monoclonal Antibody" to become dispersed throughout the inside of the vial, particularly around the seal of said vial, during shipment and storage. We always suggest centrifuging these vials to consolidate all of the liquid away from the lid and to the bottom of the vial prior to opening. Please be advised that certain products may require dry ice for shipping and that, if this is the case, an additional dry ice fee may also be required.Precautions
All products in the AAA Biotech catalog are strictly for research-use only, and are absolutely not suitable for use in any sort of medical, therapeutic, prophylactic, in-vivo, or diagnostic capacity. By purchasing a product from AAA Biotech, you are explicitly certifying that said products will be properly tested and used in line with industry standard. AAA Biotech and its authorized distribution partners reserve the right to refuse to fulfill any order if we have any indication that a purchaser may be intending to use a product outside of our accepted criteria.Disclaimer
Though we do strive to guarantee the information represented in this datasheet, AAA Biotech cannot be held responsible for any oversights or imprecisions. AAA Biotech reserves the right to adjust any aspect of this datasheet at any time and without notice. It is the responsibility of the customer to inform AAA Biotech of any product performance issues observed or experienced within 30 days of receipt of said product. To see additional details on this or any of our other policies, please see our Terms & Conditions page.Item has been added to Shopping Cart
If you are ready to order, navigate to Shopping Cart and get ready to checkout.
