Rabbit Neurofilament (NF-L) Monoclonal Antibody | anti-NF-L antibody
Neurofilament (NF-L) (Neuronal Marker)
Gene Names
NEFL; NFL; NF-L; NF68; CMT1F; CMT2E; CMTDIG; PPP1R110
Reactivity
Human, Rat, Pig, Cow, Chicken. Others not known.
Applications
Immunohistochemistry
Purity
Purified Ab with BSA and Azide at 200ug/ml OR Purified Ab WITHOUT BSA and Azide at 1.0mg/ml
Synonyms
Neurofilament (NF-L), Antibody; Neurofilament (NF-L) (Neuronal Marker); 68kDa neurofilament protein; Light molecular weight neurofilament protein; NEFL; Neurofilament light polypeptide 68kDa; Neurofilament light polypeptide; Neurofilament protein; light chain; Neurofilament subunit NF-L; Neurofilament triplet L protein; NF-L; NF68; anti-NF-L antibody
Host
Rabbit
Reactivity
Human, Rat, Pig, Cow, Chicken. Others not known.
Clonality
Monoclonal
Isotype
IgG
Clone Number
NEFL/2983R
Specificity
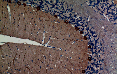
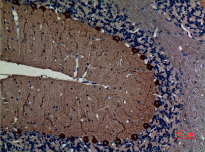
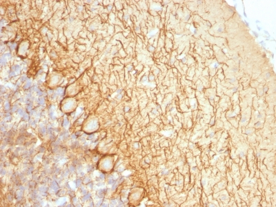
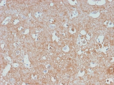
This MAb reacts with a 68kDa protein, identified as light sub-unit of neurofilaments (NF-L). Neurofilaments make up the main structural elements of axons and dendrites and are found in neurons, peripheral nerves, and sympathetic ganglion cells. Neurofilaments consist of three major subunits with molecular weights of 68kDa (NF-L), 160kDa (NF-M) and 200kDa (NF-H). Anti-neurofilament stains a number of neural, neuroendocrine, and endocrine tumors. Neuromas, ganglioneuromas, gangliogliomas, ganglioneuroblastomas, and neuroblastomas stain positively for anti-neurofilament. Neurofilaments are also present in paragangliomas as well as adrenal and extra-adrenal pheochromocytomas. Carcinoids, neuroendocrine carcinomas of the skin, and oat cell carcinomas of the lung also express neurofilament.
Purity/Purification
Purified Ab with BSA and Azide at 200ug/ml OR Purified Ab WITHOUT BSA and Azide at 1.0mg/ml
Form/Format
200ug/ml of Ab purified from Bioreactor Concentrate by Protein A/G. Prepared in 10mM PBS with 0.05% BSA & 0.05% azide. Also available WITHOUT BSA & azide at 1.0mg/ml.
Sequence Length
543
Applicable Applications for anti-NF-L antibody
IHC (Immunohistochemistry)
Immunogen
Recombinant full-length human NEFL protein
Positive Control
Brain, Neuroblastoma
Cellular Localization
Cytoplasmic
Chromosome Location
8p21.2
Preparation and Storage
Antibody without azide - store at -20 to -80 degree C. Antibody is stable for 24 months. Non-hazardous. No MSDS required.
Related Product Information for anti-NF-L antibody
Recombinant Rabbit Monoclonal Antibody
References
Angelides, K.J., et. al. 1989. J. Cell Biol. 108: 1495-1506.; Debus E., et al. Differentiation 25 (2): 193-203, (1983).
NCBI and Uniprot Product Information
NCBI GI #
NCBI GeneID
NCBI Accession #
NCBI GenBank Nucleotide #
Molecular Weight
68kDa
NCBI Official Full Name
neurofilament light polypeptide
NCBI Official Synonym Full Names
neurofilament light
NCBI Official Symbol
NEFL
NCBI Official Synonym Symbols
NFL; NF-L; NF68; CMT1F; CMT2E; CMTDIG; PPP1R110
NCBI Protein Information
neurofilament light polypeptide
UniProt Protein Name
Neurofilament light polypeptide
UniProt Gene Name
NEFL
UniProt Synonym Gene Names
NF68; NFL; NF-L
Customer Reviews
Loading reviews...
Share Your Experience
Similar Products
Product Notes
The NF-L nefl (Catalog #AAA214786) is an Antibody produced from Rabbit and is intended for research purposes only. The product is available for immediate purchase. The Neurofilament (NF-L) (Neuronal Marker) reacts with Human, Rat, Pig, Cow, Chicken. Others not known. and may cross-react with other species as described in the data sheet. AAA Biotech's Neurofilament (NF-L) can be used in a range of immunoassay formats including, but not limited to, IHC (Immunohistochemistry). Researchers should empirically determine the suitability of the NF-L nefl for an application not listed in the data sheet. Researchers commonly develop new applications and it is an integral, important part of the investigative research process. It is sometimes possible for the material contained within the vial of "Neurofilament (NF-L), Monoclonal Antibody" to become dispersed throughout the inside of the vial, particularly around the seal of said vial, during shipment and storage. We always suggest centrifuging these vials to consolidate all of the liquid away from the lid and to the bottom of the vial prior to opening. Please be advised that certain products may require dry ice for shipping and that, if this is the case, an additional dry ice fee may also be required.Precautions
All products in the AAA Biotech catalog are strictly for research-use only, and are absolutely not suitable for use in any sort of medical, therapeutic, prophylactic, in-vivo, or diagnostic capacity. By purchasing a product from AAA Biotech, you are explicitly certifying that said products will be properly tested and used in line with industry standard. AAA Biotech and its authorized distribution partners reserve the right to refuse to fulfill any order if we have any indication that a purchaser may be intending to use a product outside of our accepted criteria.Disclaimer
Though we do strive to guarantee the information represented in this datasheet, AAA Biotech cannot be held responsible for any oversights or imprecisions. AAA Biotech reserves the right to adjust any aspect of this datasheet at any time and without notice. It is the responsibility of the customer to inform AAA Biotech of any product performance issues observed or experienced within 30 days of receipt of said product. To see additional details on this or any of our other policies, please see our Terms & Conditions page.Item has been added to Shopping Cart
If you are ready to order, navigate to Shopping Cart and get ready to checkout.
