Rabbit PDCD1/PD1/CD279 (Programmed Cell Death 1) Monoclonal Antibody | anti-PDCD1 antibody
PDCD1/PD1/CD279 (Programmed Cell Death 1)
Gene Names
PDCD1; PD1; PD-1; CD279; SLEB2; hPD-1; hPD-l; hSLE1
Reactivity
Human. Others not known.
Applications
Immunohistochemistry, Immunofluorescence, Flow Cytometry, Functional Assay
Synonyms
PDCD1/PD1/CD279 (Programmed Cell Death 1), Antibody; PDCD1/PD1/CD279 (Programmed Cell Death 1); CD279; hPD-1; hSLE1; PD1; PDCD1; Programmed Cell Death Protein 1; Protein PD-1; SLEB2; Systemic lupus erythematosus susceptibility 2; anti-PDCD1 antibody
Host
Rabbit
Reactivity
Human. Others not known.
Clonality
Monoclonal
Isotype
IgG
Clone Number
PDCD1/1410R
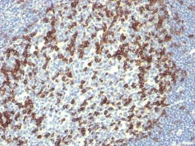
Specificity
PDCD-1 (programmed cell death-1 protein), also designated CD279, is a type I transmembrane receptor and a member of the immunoglobin gene superfamily. It is expressed on activated T-cells, B-cells, and myeloid cells. Anti-PDCD-1 is a marker of angioimmunoblastic lymphoma and suggests a unique cell of origin for this neoplasm. Unlike CD10 and BCL6, PDCD-1 is expressed by few B-cells, so anti-PDCD-1 may be a more specific and useful marker in angioimmunoblastic lymphoma. In addition, PDCD-1 expression provides evidence that angioimmunoblastic lymphoma is a neoplasm derived from germinal center-associated T-cells.
Form/Format
200ug/ml of Ab purified by Protein A/G. Prepared in 10mM PBS with 0.05% BSA & 0.05% azide. Also available WITHOUT BSA & azide at 1.0mg/ml.
Sequence Length
288
Applicable Applications for anti-PDCD1 antibody
IHC (Immunohistochemistry), IF (Immunofluorescence), FCM/FACS (Flow Cytometry)
Immunogen
Human full-length recombinant PDCD1 protein
Cellular Localization
Cell Surface & Cytoplasmic
Hu-chromosome Location
2q37.3
Positive Control
TY cells or Tonsil.
Preparation and Storage
Antibody with azide - store at 2 to 8 degree C.
Antibody without azide - store at -20 to -80 degree C.
Antibody is stable for 24 months. Non-hazardous. No MSDS required.
Antibody without azide - store at -20 to -80 degree C.
Antibody is stable for 24 months. Non-hazardous. No MSDS required.
References
Roncador, G., Verdes-Montenegro, J.F.G., Tedoldi, S., Paterson, J.C., Klapper, W., Ballabio, E., Maestre, L., Pileri, S., Hansmann, M.L, Piris, M.A., Mason, D.Y., Marafioti, T. Expression of two markers of germinal center T cells (SAP and PD-1) in angioimmunoblastic T-cell lymphoma. Haematologica. 2007 Aug; 92(8):1059-66.
NCBI and Uniprot Product Information
NCBI GI #
NCBI GeneID
NCBI Accession #
NCBI GenBank Nucleotide #
Molecular Weight
55kDa
NCBI Official Full Name
programmed cell death protein 1
NCBI Official Synonym Full Names
programmed cell death 1
NCBI Official Symbol
PDCD1
NCBI Official Synonym Symbols
PD1; PD-1; CD279; SLEB2; hPD-1; hPD-l; hSLE1
NCBI Protein Information
programmed cell death protein 1
UniProt Protein Name
Programmed cell death protein 1
UniProt Gene Name
PDCD1
UniProt Synonym Gene Names
PD1; Protein PD-1; hPD-1
Customer Reviews
Loading reviews...
Share Your Experience
Similar Products
Product Notes
The PDCD1 pdcd1 (Catalog #AAA214473) is an Antibody produced from Rabbit and is intended for research purposes only. The product is available for immediate purchase. The PDCD1/PD1/CD279 (Programmed Cell Death 1) reacts with Human. Others not known. and may cross-react with other species as described in the data sheet. AAA Biotech's PDCD1/PD1/CD279 (Programmed Cell Death 1) can be used in a range of immunoassay formats including, but not limited to, IHC (Immunohistochemistry), IF (Immunofluorescence), FCM/FACS (Flow Cytometry). Researchers should empirically determine the suitability of the PDCD1 pdcd1 for an application not listed in the data sheet. Researchers commonly develop new applications and it is an integral, important part of the investigative research process. It is sometimes possible for the material contained within the vial of "PDCD1/PD1/CD279 (Programmed Cell Death 1), Monoclonal Antibody" to become dispersed throughout the inside of the vial, particularly around the seal of said vial, during shipment and storage. We always suggest centrifuging these vials to consolidate all of the liquid away from the lid and to the bottom of the vial prior to opening. Please be advised that certain products may require dry ice for shipping and that, if this is the case, an additional dry ice fee may also be required.Precautions
All products in the AAA Biotech catalog are strictly for research-use only, and are absolutely not suitable for use in any sort of medical, therapeutic, prophylactic, in-vivo, or diagnostic capacity. By purchasing a product from AAA Biotech, you are explicitly certifying that said products will be properly tested and used in line with industry standard. AAA Biotech and its authorized distribution partners reserve the right to refuse to fulfill any order if we have any indication that a purchaser may be intending to use a product outside of our accepted criteria.Disclaimer
Though we do strive to guarantee the information represented in this datasheet, AAA Biotech cannot be held responsible for any oversights or imprecisions. AAA Biotech reserves the right to adjust any aspect of this datasheet at any time and without notice. It is the responsibility of the customer to inform AAA Biotech of any product performance issues observed or experienced within 30 days of receipt of said product. To see additional details on this or any of our other policies, please see our Terms & Conditions page.Item has been added to Shopping Cart
If you are ready to order, navigate to Shopping Cart and get ready to checkout.
