Host
Mouse
Reactivity
Human
Clonality
Monoclonal
Isotype
Mouse IgG
Form/Format
Affinity Purified antibody
Liquid with PBS buffer, pH7.4 with 0.02% Sodium Azide
Liquid with PBS buffer, pH7.4 with 0.02% Sodium Azide
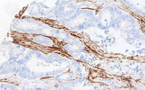
Applicable Applications for anti-PDPN antibody
IHC (Immunohistochemistry)
Immunogen
Recombinant Human Podoplanin
Preparation and Storage
The product can be stored undiluted for several weeks at 4 degree C. Dilute only immediately before use. Aliquot and store at -20 degree C for long term. Avoid freeze thaw-cycles.
Related Product Information for anti-PDPN antibody
Podoplanin Antibody sensitively detects for the presence or absence of podoplanin. Podoplanin is a transmembrane mucoprotein specifically expressed in the endothelium of lymphatic capillaries, but is not present in blood vasculature, and is co-localized with VEGFR3/FLT4 in normal skin and kidney tissues. It can be used to detect lymphangioma, Kaposi's sarcoma, epithelioid mesothelioma, hemangioblastoma, seminoma, and/or angiosarcoma which may have undergone lymphatic differentiation.
NCBI and Uniprot Product Information
NCBI GI #
NCBI GeneID
NCBI Accession #
NCBI GenBank Nucleotide #
Molecular Weight
16,698 Da
NCBI Official Full Name
podoplanin isoform d
NCBI Official Synonym Full Names
podoplanin
NCBI Official Symbol
PDPN
NCBI Official Synonym Symbols
T1A; GP36; GP40; Gp38; OTS8; T1A-2; AGGRUS; HT1A-1; PA2.26
NCBI Protein Information
podoplanin; T1-alpha; hT1alpha-1; hT1alpha-2; PA2.26 antigen; glycoprotein 36; glycoprotein, 36-KD; lung type I cell membrane associated glycoprotein; lung type-I cell membrane-associated glycoprotein (T1A-2)
UniProt Protein Name
Podoplanin
UniProt Gene Name
PDPN
UniProt Synonym Gene Names
GP36; Gp36; T1A
UniProt Entry Name
PDPN_HUMAN
Similar Products
Product Notes
The PDPN pdpn (Catalog #AAA76650) is an Antibody produced from Mouse and is intended for research purposes only. The product is available for immediate purchase. The Podoplanin reacts with Human and may cross-react with other species as described in the data sheet. AAA Biotech's Podoplanin can be used in a range of immunoassay formats including, but not limited to, IHC (Immunohistochemistry). Researchers should empirically determine the suitability of the PDPN pdpn for an application not listed in the data sheet. Researchers commonly develop new applications and it is an integral, important part of the investigative research process. It is sometimes possible for the material contained within the vial of "Podoplanin, Monoclonal Antibody" to become dispersed throughout the inside of the vial, particularly around the seal of said vial, during shipment and storage. We always suggest centrifuging these vials to consolidate all of the liquid away from the lid and to the bottom of the vial prior to opening. Please be advised that certain products may require dry ice for shipping and that, if this is the case, an additional dry ice fee may also be required.Precautions
All products in the AAA Biotech catalog are strictly for research-use only, and are absolutely not suitable for use in any sort of medical, therapeutic, prophylactic, in-vivo, or diagnostic capacity. By purchasing a product from AAA Biotech, you are explicitly certifying that said products will be properly tested and used in line with industry standard. AAA Biotech and its authorized distribution partners reserve the right to refuse to fulfill any order if we have any indication that a purchaser may be intending to use a product outside of our accepted criteria.Disclaimer
Though we do strive to guarantee the information represented in this datasheet, AAA Biotech cannot be held responsible for any oversights or imprecisions. AAA Biotech reserves the right to adjust any aspect of this datasheet at any time and without notice. It is the responsibility of the customer to inform AAA Biotech of any product performance issues observed or experienced within 30 days of receipt of said product. To see additional details on this or any of our other policies, please see our Terms & Conditions page.Item has been added to Shopping Cart
If you are ready to order, navigate to Shopping Cart and get ready to checkout.
