Rabbit SOX10 Monoclonal Antibody | anti-SOX10 antibody
SOX10 (Melanoma Marker)
Gene Names
SOX10; DOM; WS4; PCWH; WS2E; WS4C
Reactivity
Human, Mouse. Others not known.
Applications
Immunohistochemistry, Western Blot, Immunofluorescence, Flow Cytometry, Functional Assay
Synonyms
SOX10, Antibody; SOX10 (Melanoma Marker); DOM; PCWH; SOX10; SRY (sex determining region Y) box 10; SRY box containing gene 10; SRY related HMG box gene 10; Waardenburg syndrome type 2E‚(WS2E); WS4; Waardenburg syndrome type 4C (WS4C)‚; anti-SOX10 antibody
Host
Rabbit
Reactivity
Human, Mouse. Others not known.
Clonality
Monoclonal
Isotype
IgG
Clone Number
SOX10/2311R
Specificity
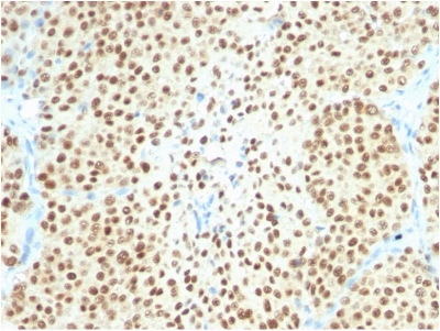
SOX genes comprise a family of genes that are related to the mammalian sex-determining gene SRY. These genes similarly contain sequences that encode for the HMG-box domain, which is responsible for the sequence-specific DNA-binding activity. SOX-10 is a sensitive marker of melanoma, including conventional, spindled, and desmoplastic subtypes. It is expressed by metastatic melanomas and nodal capsular nevus in sentinel lymph nodes, but not by other lymph node components such as dendritic cells, which usually express S100 protein. Commonly used melanoma markers, such as anti-HMB-45 and anti-Melan-A, are poorly expressed in desmoplastic melanomas while SOX-10 is moderately to strongly expressed in desmoplastic melanomas. SOX-10 is considered as a very reliable marker for recognizing residual desmoplastic melanomas.In normal tissues, it is expressed in Schwann cells, melanocytes, and myoepithelial cells of salivary, bronchial and mammary glands. SOX-10 expression is also observed in mast cells.
Form/Format
200ug/ml of Ab purified from Bioreactor Concentrate by Protein A/G. Prepared in 10mM PBS with0.05% BSA & 0.05% azide. Also available WITHOUT BSA & azide at 1.0mg/ml.
Sequence Length
466
Applicable Applications for anti-SOX10 antibody
IHC (Immunohistochemistry), WB (Western Blot), IF (Immunofluorescence), FCM/FACS (Flow Cytometry)
Immunogen
Recombinant fragment of human SOX10 protein (around aa 115-269)
Cellular Localization
Nuclear
Hu-chromosome Location
22q13.1
Positive Control
HepG2 cells. Melanomas, breast carcinomas, gliomas.
Preparation and Storage
Antibody with azide - store at 2 to 8 degree C.
Antibody without azide - store at -20 to -80 degree C.
Antibody is stable for 24 months. Non-hazardous. No MSDS required.
Antibody without azide - store at -20 to -80 degree C.
Antibody is stable for 24 months. Non-hazardous. No MSDS required.
References
Mohamed A, et al. SOX10 Expression in malignant melanoma, carcinoma, and normal tissues. Appl Immunohistochem Mol Morphol. 2013; 21(6):506-10.?
NCBI and Uniprot Product Information
NCBI GI #
NCBI GeneID
NCBI Accession #
NCBI GenBank Nucleotide #
Molecular Weight
49-58kDa
NCBI Official Full Name
transcription factor SOX-10
NCBI Official Synonym Full Names
SRY-box 10
NCBI Official Symbol
SOX10
NCBI Official Synonym Symbols
DOM; WS4; PCWH; WS2E; WS4C
NCBI Protein Information
transcription factor SOX-10
UniProt Protein Name
Transcription factor SOX-10
UniProt Gene Name
SOX10
Customer Reviews
Loading reviews...
Share Your Experience
Similar Products
Product Notes
The SOX10 sox10 (Catalog #AAA214519) is an Antibody produced from Rabbit and is intended for research purposes only. The product is available for immediate purchase. The SOX10 (Melanoma Marker) reacts with Human, Mouse. Others not known. and may cross-react with other species as described in the data sheet. AAA Biotech's SOX10 can be used in a range of immunoassay formats including, but not limited to, IHC (Immunohistochemistry), WB (Western Blot), IF (Immunofluorescence), FCM/FACS (Flow Cytometry). Researchers should empirically determine the suitability of the SOX10 sox10 for an application not listed in the data sheet. Researchers commonly develop new applications and it is an integral, important part of the investigative research process. It is sometimes possible for the material contained within the vial of "SOX10, Monoclonal Antibody" to become dispersed throughout the inside of the vial, particularly around the seal of said vial, during shipment and storage. We always suggest centrifuging these vials to consolidate all of the liquid away from the lid and to the bottom of the vial prior to opening. Please be advised that certain products may require dry ice for shipping and that, if this is the case, an additional dry ice fee may also be required.Precautions
All products in the AAA Biotech catalog are strictly for research-use only, and are absolutely not suitable for use in any sort of medical, therapeutic, prophylactic, in-vivo, or diagnostic capacity. By purchasing a product from AAA Biotech, you are explicitly certifying that said products will be properly tested and used in line with industry standard. AAA Biotech and its authorized distribution partners reserve the right to refuse to fulfill any order if we have any indication that a purchaser may be intending to use a product outside of our accepted criteria.Disclaimer
Though we do strive to guarantee the information represented in this datasheet, AAA Biotech cannot be held responsible for any oversights or imprecisions. AAA Biotech reserves the right to adjust any aspect of this datasheet at any time and without notice. It is the responsibility of the customer to inform AAA Biotech of any product performance issues observed or experienced within 30 days of receipt of said product. To see additional details on this or any of our other policies, please see our Terms & Conditions page.Item has been added to Shopping Cart
If you are ready to order, navigate to Shopping Cart and get ready to checkout.
