Mouse ZAP70 Monoclonal Antibody | anti-ZAP70 antibody
ZAP70 antibody
Gene Names
ZAP70; SRK; STD; TZK; STCD; IMD48; ADMIO2; ZAP-70
Applications
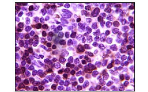
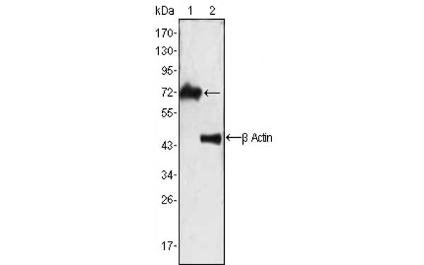
Western Blot, Immunohistochemistry, ELISA
Synonyms
ZAP70, Antibody; ZAP70 antibody; Mouse monoclonal ZAP70 antibody; Monoclonal ZAP70 antibody; Anti-ZAP70 antibody; Zeta-chain associated protein kinase antibody; Zeta-chain associated protein kinase 70 antibody; ZAP70; ZAP 70; ZAP-70; ZAP 70 antibody; ZAP-70 antibody; anti-ZAP70 antibody
Host
Mouse
Clonality
Monoclonal
Isotype
IgG1
Clone Number
3D2A4
Form/Format
Liquid in ascitic fluid containing 0.03% sodium azide.
Concentration
1.0 mg/ml (varies by lot)
Sequence Length
493
Applicable Applications for anti-ZAP70 antibody
WB (Western Blot), IHC (Immunohistochemistry), ELISA
Immunogen
ZAP70 antibody was raised in Mouse using a purified recombinant fragment of human ZAP70 expressed in E Coli as the immunogen.
Cross-Reactivity
Human
Preparation and Storage
Store at 4 degree C for short term storage.
Store at-20 degree C for long term storage.
Avoid repeated freeze/thaw cycles.
Store at-20 degree C for long term storage.
Avoid repeated freeze/thaw cycles.
Related Product Information for anti-ZAP70 antibody
ZAP70 is a member of the SYK tyrosine kinase family, plays a central role in lymphocyte activation and development, and is implicated in several immune disorders. ZAP70 controls TCR(T-cell antigen receptor)-linked signal transduction pathways. Its key role in thymocytes development and mature T lymphocytes activation has been illustrated by the characterization of several human immunodeficiencies presenting with mutations in the ZAP70 gene. ZAP70 is also expressed in several types of B-cell neoplasm and is easily detected by immunohistochemistry, providing a useful prognostic marker in patients with chronic lymphocytic leukaemia.
Product Categories/Family for anti-ZAP70 antibody
NCBI and Uniprot Product Information
NCBI GI #
NCBI GeneID
Molecular Weight
55,873 Da
NCBI Official Full Name
ZAP70 protein
NCBI Official Synonym Full Names
zeta chain of T cell receptor associated protein kinase 70
NCBI Official Symbol
ZAP70
NCBI Official Synonym Symbols
SRK; STD; TZK; STCD; IMD48; ADMIO2; ZAP-70
NCBI Protein Information
tyrosine-protein kinase ZAP-70
UniProt Protein Name
Tyrosine-protein kinase ZAP-70
UniProt Gene Name
ZAP70
UniProt Synonym Gene Names
SRK
Customer Reviews
Loading reviews...
Share Your Experience
Similar Products
Product Notes
The ZAP70 zap70 (Catalog #AAA225009) is an Antibody produced from Mouse and is intended for research purposes only. The product is available for immediate purchase. AAA Biotech's ZAP70 can be used in a range of immunoassay formats including, but not limited to, WB (Western Blot), IHC (Immunohistochemistry), ELISA. Researchers should empirically determine the suitability of the ZAP70 zap70 for an application not listed in the data sheet. Researchers commonly develop new applications and it is an integral, important part of the investigative research process. It is sometimes possible for the material contained within the vial of "ZAP70, Monoclonal Antibody" to become dispersed throughout the inside of the vial, particularly around the seal of said vial, during shipment and storage. We always suggest centrifuging these vials to consolidate all of the liquid away from the lid and to the bottom of the vial prior to opening. Please be advised that certain products may require dry ice for shipping and that, if this is the case, an additional dry ice fee may also be required.Precautions
All products in the AAA Biotech catalog are strictly for research-use only, and are absolutely not suitable for use in any sort of medical, therapeutic, prophylactic, in-vivo, or diagnostic capacity. By purchasing a product from AAA Biotech, you are explicitly certifying that said products will be properly tested and used in line with industry standard. AAA Biotech and its authorized distribution partners reserve the right to refuse to fulfill any order if we have any indication that a purchaser may be intending to use a product outside of our accepted criteria.Disclaimer
Though we do strive to guarantee the information represented in this datasheet, AAA Biotech cannot be held responsible for any oversights or imprecisions. AAA Biotech reserves the right to adjust any aspect of this datasheet at any time and without notice. It is the responsibility of the customer to inform AAA Biotech of any product performance issues observed or experienced within 30 days of receipt of said product. To see additional details on this or any of our other policies, please see our Terms & Conditions page.Item has been added to Shopping Cart
If you are ready to order, navigate to Shopping Cart and get ready to checkout.
