Rabbit 4EBP1 Polyclonal Antibody | anti-4EBP1 antibody
Phospho-4EBP1(Ser65/Thr70) Antibody
Phosphate buffered saline, pH 7.4, 150mM NaCl, 0.02% sodium azide and 50% glycerol.
WB (Western Blot)
(Western blot analysis of extracts of 293 cells treated with 20% FBS , using Phospho-4EBP1(Ser65/Thr70) Antibody.)
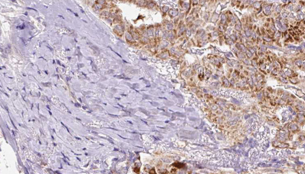
IHC (Immunohistochemistry)
(AAA321292 at 1/100 staining Human thyroid cancer tissue by IHC-P. The sample was formaldehyde fixed and a heat mediated antigen retrieval step in citrate buffer was performed. The sample was then blocked and incubated with the antibody for 1.5 hours at 22 degree C. An HRP conjugated goat anti-rabbit antibody was used as the secondary.)
Subunit Structure: Hypophosphorylated EIF4EBP1 competes with EIF4G1/EIF4G3 to interact with EIF4E; insulin stimulated MAP-kinase (MAPK1 and MAPK3) or mTORC1 phosphorylation of EIF4EBP1 causes dissociation of the complex allowing EIF4G1/EIF4G3 to bind and consequent initiation of translation. Interacts (via TOS motif) with RPTOR; promoting phosphorylation by mTORC1 (PubMed:12747827).
Post-translational Modifications: Phosphorylated on serine and threonine residues in response to insulin, EGF and PDGF. Phosphorylation at Thr-37, Thr-46, Ser-65 and Thr-70, corresponding to the hyperphosphorylated form, is regulated by mTORC1 and abolishes binding to EIF4E. Ubiquitinated: when eIF4E levels are low, hypophosphorylated form is ubiquitinated by the BCR(KLHL25) complex, leading to its degradation and serving as a homeostatic mechanism to maintain translation and prevent eIF4E inhibition when eIF4E levels are low. Not ubiquitinated when hyperphosphorylated (at Thr-37, Thr-46, Ser-65 and Thr-70) or associated with eIF4E.
Similarity: The TOS motif mediates interaction with RPTOR, leading to promote phosphorylation by mTORC1 complex. Belongs to the eIF4E-binding protein family.
NCBI and Uniprot Product Information
Predicted: 13 kDa
Customer Reviews
Loading reviews...
Share Your Experience
Similar Products
Product Notes
The 4EBP1 eif4ebp1 (Catalog #AAA321292) is an Antibody produced from Rabbit and is intended for research purposes only. The product is available for immediate purchase. The Phospho-4EBP1(Ser65/Thr70) Antibody reacts with Human, Mouse, Rat and may cross-react with other species as described in the data sheet. AAA Biotech's 4EBP1 can be used in a range of immunoassay formats including, but not limited to, IHC (Immunohistochemistry), WB (Western Blot). Researchers should empirically determine the suitability of the 4EBP1 eif4ebp1 for an application not listed in the data sheet. Researchers commonly develop new applications and it is an integral, important part of the investigative research process. It is sometimes possible for the material contained within the vial of "4EBP1, Polyclonal Antibody" to become dispersed throughout the inside of the vial, particularly around the seal of said vial, during shipment and storage. We always suggest centrifuging these vials to consolidate all of the liquid away from the lid and to the bottom of the vial prior to opening. Please be advised that certain products may require dry ice for shipping and that, if this is the case, an additional dry ice fee may also be required.Precautions
All products in the AAA Biotech catalog are strictly for research-use only, and are absolutely not suitable for use in any sort of medical, therapeutic, prophylactic, in-vivo, or diagnostic capacity. By purchasing a product from AAA Biotech, you are explicitly certifying that said products will be properly tested and used in line with industry standard. AAA Biotech and its authorized distribution partners reserve the right to refuse to fulfill any order if we have any indication that a purchaser may be intending to use a product outside of our accepted criteria.Disclaimer
Though we do strive to guarantee the information represented in this datasheet, AAA Biotech cannot be held responsible for any oversights or imprecisions. AAA Biotech reserves the right to adjust any aspect of this datasheet at any time and without notice. It is the responsibility of the customer to inform AAA Biotech of any product performance issues observed or experienced within 30 days of receipt of said product. To see additional details on this or any of our other policies, please see our Terms & Conditions page.Item has been added to Shopping Cart
If you are ready to order, navigate to Shopping Cart and get ready to checkout.
