Rabbit Angiotensin II type 1A receptor Polyclonal Antibody
Angiotensin II type 1A receptor Antibody
IHC (Immunohistochemistry)
(Paraformaldehyde-fixed, paraffin embedded (rat kidney); Antigen retrieval by boiling in sodium citrate buffer (pH6.0) for 15min; Block endogenous peroxidase by 3% hydrogen peroxide for 20 minutes; Blocking buffer (normal goat serum) at 37°C for 30min; Antibody incubation with (Angiotensin II type 1A receptor) Polyclonal Antibody, Unconjugated at 1:200 overnight at 4°C, DAB staining.)
IHC (Immunohistochemistry)
(Paraformaldehyde-fixed, paraffin embedded (Rat brain); Antigen retrieval by boiling in sodium citrate buffer (pH6.0) for 15min; Block endogenous peroxidase by 3% hydrogen peroxide for 20 minutes; Blocking buffer (normal goat serum) at 37°C for 30min; Antibody incubation with (Angiotensin II type 1A receptor) Polyclonal Antibody, Unconjugated at 1:400 overnight at 4°C, DAB staining.)
WB (Western Blot)
(Liver (Mouse) Lysate at 40 ug; Lung (Mouse) Lysate at 40 ug; Adrenal gland (Rat) Lysate at 40 ug; Primary: Angiotensin II type 1A receptor at 1/1000 dilution; Secondary: Goat Anti-Rabbit IgG at 1/20000 dilution; Predicted band size: 41 kD; Observed band size: 56 kD)
WB (Western Blot)
(A549(Human) Cell Lysate at 40 ug; Primary: Angiotensin II type 1A receptor at 1/500 dilution; Secondary: Goat Anti-Rabbit IgG at 1/20000 dilution; Predicted band size: 41 kD; Observed band size: 41/51 kD)
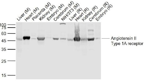
WB (Western Blot)
(Lane 1: Liver (Mouse) Lysate at 40 ug; Lane 2: Heart (Mouse) Lysate at 40 ug; Lane 3: Placenta (Mouse) Lysate at 40 ug; Lane 4: Kidney (Mouse) Lysate at 40 ug; Lane 5: Embryo (Mouse) Lysate at 40 ug; Lane 6: Cerebrum (Mouse) Lysate at 40 ug; Lane 7: NIH/3T3 (Mouse) cell Lysate at 30 ug; Lane 8: Liver (Rat) Lysate at 40 ug; Lane 9: Heart (Rat) Lysate at 40 ug; Lane 10: Kidney (Rat) Lysate at 40 ug; Lane 11: Cerebrum (Rat) Lysate at 40 ug; Lane 12: Embryo (Rat) Lysate at 40 ug; Primary: Angiotensin II type 1A receptor at 1/1000 dilution; Secondary: Goat Anti-Rabbit IgG at 1/20000 dilution; Predicted band size: 43 kD; Observed band size: 46 kD)
Customer Reviews
Loading reviews...
Share Your Experience
Similar Products
Product Notes
The Angiotensin II type 1A receptor (Catalog #AAA315517) is an Antibody produced from Rabbit and is intended for research purposes only. The product is available for immediate purchase. The Angiotensin II type 1A receptor Antibody reacts with Human; Mouse; Rat and may cross-react with other species as described in the data sheet. AAA Biotech's Angiotensin II type 1A receptor can be used in a range of immunoassay formats including, but not limited to, IF (Immunofluorescence), IHC (Immunohistochemistry), WB (Western Blot). Researchers should empirically determine the suitability of the Angiotensin II type 1A receptor for an application not listed in the data sheet. Researchers commonly develop new applications and it is an integral, important part of the investigative research process. It is sometimes possible for the material contained within the vial of "Angiotensin II type 1A receptor, Polyclonal Antibody" to become dispersed throughout the inside of the vial, particularly around the seal of said vial, during shipment and storage. We always suggest centrifuging these vials to consolidate all of the liquid away from the lid and to the bottom of the vial prior to opening. Please be advised that certain products may require dry ice for shipping and that, if this is the case, an additional dry ice fee may also be required.Precautions
All products in the AAA Biotech catalog are strictly for research-use only, and are absolutely not suitable for use in any sort of medical, therapeutic, prophylactic, in-vivo, or diagnostic capacity. By purchasing a product from AAA Biotech, you are explicitly certifying that said products will be properly tested and used in line with industry standard. AAA Biotech and its authorized distribution partners reserve the right to refuse to fulfill any order if we have any indication that a purchaser may be intending to use a product outside of our accepted criteria.Disclaimer
Though we do strive to guarantee the information represented in this datasheet, AAA Biotech cannot be held responsible for any oversights or imprecisions. AAA Biotech reserves the right to adjust any aspect of this datasheet at any time and without notice. It is the responsibility of the customer to inform AAA Biotech of any product performance issues observed or experienced within 30 days of receipt of said product. To see additional details on this or any of our other policies, please see our Terms & Conditions page.Item has been added to Shopping Cart
If you are ready to order, navigate to Shopping Cart and get ready to checkout.
