Rabbit anti-Human ANKRD33 Polyclonal Antibody | anti-ANKRD33 antibody
ANKRD33 Antibody
Gene Names
ANKRD33; PANKY; C12orf7
Reactivity
Human
Applications
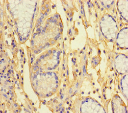
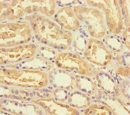
Immunohistochemistry, ELISA
Purity
>95%,Protein G purified
Synonyms
ANKRD33, Antibody; ANKRD33 Antibody; Ankyrin repeat domain-containing protein 33; ANKRD33; C12orf7; anti-ANKRD33 antibody
Host
Rabbit
Reactivity
Human
Clonality
Polyclonal
Isotype
IgG
Purity/Purification
>95%,Protein G purified
Form/Format
Liquid
Sequence Length
272
Applicable Applications for anti-ANKRD33 antibody
IHC (Immunohistochemistry), ELISA
Immunogen
Recombinant human Ankyrin repeat domain-containing protein 33 protein
Conjugation
Non-conjugated
Storage Buffer
Preservative: 0.03% Proclin 300 Constituents: 50% Glycerol, 0.01M PBS, PH 7.4
Santa Cruz Alternative
Potential replacement for Santa Cruz Biotechnology antibody catalog# sc-244932 / sc-244934
Preparation and Storage
Shipped at 4 degree C. Upon delivery, aliquot and store at -20 degree C or -80 degree C.
Related Product Information for anti-ANKRD33 antibody
nucleus, negative regulation of transcription from RNA polymerase II promoter, negative regulation of transcription regulatory region DNA binding
NCBI and Uniprot Product Information
NCBI GI #
NCBI GeneID
NCBI Accession #
NCBI GenBank Nucleotide #
Molecular Weight
49,403 Da
NCBI Official Full Name
ankyrin repeat domain-containing protein 33 isoform 1
NCBI Official Synonym Full Names
ankyrin repeat domain 33
NCBI Official Symbol
ANKRD33
NCBI Official Synonym Symbols
PANKY; C12orf7
NCBI Protein Information
ankyrin repeat domain-containing protein 33
UniProt Protein Name
Ankyrin repeat domain-containing protein 33
UniProt Gene Name
ANKRD33
UniProt Synonym Gene Names
C12orf7
UniProt Entry Name
ANR33_HUMAN
Customer Reviews
Loading reviews...
Share Your Experience
Similar Products
Product Notes
The ANKRD33 ankrd33 (Catalog #AAA230234) is an Antibody produced from Rabbit and is intended for research purposes only. The product is available for immediate purchase. The ANKRD33 Antibody reacts with Human and may cross-react with other species as described in the data sheet. AAA Biotech's ANKRD33 can be used in a range of immunoassay formats including, but not limited to, IHC (Immunohistochemistry), ELISA. Researchers should empirically determine the suitability of the ANKRD33 ankrd33 for an application not listed in the data sheet. Researchers commonly develop new applications and it is an integral, important part of the investigative research process. It is sometimes possible for the material contained within the vial of "ANKRD33, Polyclonal Antibody" to become dispersed throughout the inside of the vial, particularly around the seal of said vial, during shipment and storage. We always suggest centrifuging these vials to consolidate all of the liquid away from the lid and to the bottom of the vial prior to opening. Please be advised that certain products may require dry ice for shipping and that, if this is the case, an additional dry ice fee may also be required.Precautions
All products in the AAA Biotech catalog are strictly for research-use only, and are absolutely not suitable for use in any sort of medical, therapeutic, prophylactic, in-vivo, or diagnostic capacity. By purchasing a product from AAA Biotech, you are explicitly certifying that said products will be properly tested and used in line with industry standard. AAA Biotech and its authorized distribution partners reserve the right to refuse to fulfill any order if we have any indication that a purchaser may be intending to use a product outside of our accepted criteria.Disclaimer
Though we do strive to guarantee the information represented in this datasheet, AAA Biotech cannot be held responsible for any oversights or imprecisions. AAA Biotech reserves the right to adjust any aspect of this datasheet at any time and without notice. It is the responsibility of the customer to inform AAA Biotech of any product performance issues observed or experienced within 30 days of receipt of said product. To see additional details on this or any of our other policies, please see our Terms & Conditions page.Item has been added to Shopping Cart
If you are ready to order, navigate to Shopping Cart and get ready to checkout.
