Rabbit beta COP Polyclonal Antibody | anti-COPB1 antibody
beta COP Antibody
Predicted Reactivity: Pig(100%), Zebrafish(100%), Bovine(100%), Horse(100%), Sheep(100%), Rabbit(100%), Dog(100%), Chicken(100%), Xenopus(100%)
Predicted Reactivity: Pig(100%), Zebrafish(100%), Bovine(100%), Horse(100%), Sheep(100%), Rabbit(100%), Dog(100%), Chicken(100%), Xenopus(100%)
IF: 1:100-1:500
ICC: 1:100-1:500
IHC: 1:50-1:200
ELISA(peptide): 1:20,000-1:40,000
IHC (Immunohistochemistry-Paraffin)
(AAA31167 at 1/100 staining Mouse liver tissue by IHC-P. The sample was formaldehyde fixed and a heat mediated antigen retrieval step in citrate buffer was performed. The sample was then blocked and incubated with the primary antibody at 4°C overnight. An HRP conjugated anti-Rabbit antibody was used as the secondary antibody.)
IHC (Immunohistchemistry-Paraffin)
(AAA31167 at 1/100 staining Mouse kidney tissue by IHC-P. The sample was formaldehyde fixed and a heat mediated antigen retrieval step in citrate buffer was performed. The sample was then blocked and incubated with the primary antibody at 4°C overnight. An HRP conjugated anti-Rabbit antibody was used as the secondary antibody.)
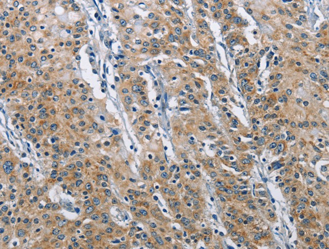
IHC (Immunohistochemistry-Paraffin)
(AAA31167 at 1/100 staining Rat heart tissue by IHC-P. The sample was formaldehyde fixed and a heat mediated antigen retrieval step in citrate buffer was performed. The sample was then blocked and incubated with the primary antibody at 4°C overnight. An HRP conjugated anti-Rabbit antibody was used as the secondary antibody.)
IHC (Immunohistochemistry-Paraffin)
(AAA31167 at 1/100 staining Rat spleen tissue by IHC-P. The sample was formaldehyde fixed and a heat mediated antigen retrieval step in citrate buffer was performed. The sample was then blocked and incubated with the primary antibody at 4°C overnight. An HRP conjugated anti-Rabbit antibody was used as the secondary antibody.)
IHC (Immunohistchemistry-Paraffin)
(AAA31167 at 1/100 staining Rat lung tissue by IHC-P. The sample was formaldehyde fixed and a heat mediated antigen retrieval step in citrate buffer was performed. The sample was then blocked and incubated with the primary antibody at 4°C overnight. An HRP conjugated anti-Rabbit antibody was used as the secondary antibody.)
IHC (Immunohistochemistry-Paraffin)
(AAA31167 at 1/100 staining Rat kidney tissue by IHC-P. The sample was formaldehyde fixed and a heat mediated antigen retrieval step in citrate buffer was performed. The sample was then blocked and incubated with the primary antibody at 4°C overnight. An HRP conjugated anti-Rabbit antibody was used as the secondary antibody.)
IHC (Immunohistochemistry-Paraffin)
(AAA31167 at 1/100 staining Rat brain tissue by IHC-P. The sample was formaldehyde fixed and a heat mediated antigen retrieval step in citrate buffer was performed. The sample was then blocked and incubated with the primary antibody at 4°C overnight. An HRP conjugated anti-Rabbit antibody was used as the secondary antibody.)
IHC (Immunohistochemistry-Paraffin)
(AAA31167 at 1/100 staining Rat stomach tissue by IHC-P. The sample was formaldehyde fixed and a heat mediated antigen retrieval step in citrate buffer was performed. The sample was then blocked and incubated with the primary antibody at 4°C overnight. An HRP conjugated anti-Rabbit antibody was used as the secondary antibody.)
IHC (Immunohistochemistry-Paraffin)
(AAA31167 at 1/100 staining Rat colorectal tissue by IHC-P. The sample was formaldehyde fixed and a heat mediated antigen retrieval step in citrate buffer was performed. The sample was then blocked and incubated with the primary antibody at 4°C overnight. An HRP conjugated anti-Rabbit antibody was used as the secondary antibody.)
WB (Western Blot)
(Western blot analysis of extracts from 3T3, using beta COP. The lane on the left was treated with blocking peptide.)
Post Translational Modifications: Proteolytically cleaved between Ser-528 and Ser-529 by CAPN8.
Subcellular Location: Cytoplasm. Golgi apparatus membrane>Peripheral membrane protein>Cytoplasmic side. Cytoplasmic vesicle>COPI-coated vesicle membrane>Peripheral membrane protein>Cytoplasmic side. Cell membrane. Endoplasmic reticulum-Golgi intermediate compartment. Note: The coatomer is cytoplasmic or polymerized on the cytoplasmic side of the Golgi, as well as on the vesicles/buds originating from it (By similarity). Proteolytic cleavage by CAPN8 triggers translocation from Golgi to cytoplasm (By similarity). Found in perinuclear vesicular-tubular clusters (VTCs) and in the Golgi region where associated with vesicles, buds and rims of the Golgi stack (By similarity). Occasionally present at the trans-side of Golgi, but mainly present at the cis-Golgi side in transitional areas (TA), on so-called peripheral elements (PE) consisting of tubules and vesicles located between the cup-shaped transitional elements (TE) of the rough endoplasmic reticulum (RER) and the cis-most Golgi cisternae (By similarity). Present in cytoplasm, not associated with visible coats or membranes, with a minor fraction present on small clusters of tubules and vesicles (By similarity). Some association with high-density and low-density microsomes and mitochondria/nuclei fraction (By similarity). Very little found in plasma membrane fraction (PubMed:20362547).
Subunit Structure: Oligomeric complex that consists of at least the alpha, beta, beta', gamma, delta, epsilon and zeta subunits. Interacts with SCYL1. Interacts with COPG1. Interacts (via trunk domain) with ARF1 (via switch I region); the interaction is direct. Interacts with KCNK2/TREK (via N-terminus); this interaction increases the channel-mediated whole cell currents and promotes plasma membrane expression of KCNK2/TREK. Interacts with anthrax lethal factor (LF); this interaction may facilitate endosomal vesicle membrane translocation of LF and its release from the lumen of endosomal vesicles to external milieu. Interacts with CAPN8 and PRKCE (By similarity). Interacts with ARF1 (myristoylated); this interaction is required for binding of COPB1 to Golgi membranes (By similarity). Interacts with STX17 (By similarity). Interacts with TMEM115. Interacts with HLA-G-B2M complex; this interaction mediates the endoplasmic reticulum (ER) retrieval of HLA-E-B2M complexes that bind low affinity peptides.(Microbial infection) Interacts (via C-terminus) with HIV-1 Nef; the interaction is direct.
NCBI and Uniprot Product Information
Predicted Molecular Weight: (Calculated)107kDa.
Customer Reviews
Loading reviews...
Share Your Experience
Similar Products
Product Notes
The COPB1 copb1 (Catalog #AAA31167) is an Antibody produced from Rabbit and is intended for research purposes only. The product is available for immediate purchase. The beta COP Antibody reacts with Human, Mouse, Rat Predicted Reactivity: Pig(100%), Zebrafish(100%), Bovine(100%), Horse(100%), Sheep(100%), Rabbit(100%), Dog(100%), Chicken(100%), Xenopus(100%) and may cross-react with other species as described in the data sheet. AAA Biotech's beta COP can be used in a range of immunoassay formats including, but not limited to, WB (Western Blot), IF (Immunofluorescence), ICC (Immunocytochemistry), ELISA. WB: 1:500-1:2000 IF: 1:100-1:500 ICC: 1:100-1:500 IHC: 1:50-1:200 ELISA(peptide): 1:20,000-1:40,000. Researchers should empirically determine the suitability of the COPB1 copb1 for an application not listed in the data sheet. Researchers commonly develop new applications and it is an integral, important part of the investigative research process. It is sometimes possible for the material contained within the vial of "beta COP, Polyclonal Antibody" to become dispersed throughout the inside of the vial, particularly around the seal of said vial, during shipment and storage. We always suggest centrifuging these vials to consolidate all of the liquid away from the lid and to the bottom of the vial prior to opening. Please be advised that certain products may require dry ice for shipping and that, if this is the case, an additional dry ice fee may also be required.Precautions
All products in the AAA Biotech catalog are strictly for research-use only, and are absolutely not suitable for use in any sort of medical, therapeutic, prophylactic, in-vivo, or diagnostic capacity. By purchasing a product from AAA Biotech, you are explicitly certifying that said products will be properly tested and used in line with industry standard. AAA Biotech and its authorized distribution partners reserve the right to refuse to fulfill any order if we have any indication that a purchaser may be intending to use a product outside of our accepted criteria.Disclaimer
Though we do strive to guarantee the information represented in this datasheet, AAA Biotech cannot be held responsible for any oversights or imprecisions. AAA Biotech reserves the right to adjust any aspect of this datasheet at any time and without notice. It is the responsibility of the customer to inform AAA Biotech of any product performance issues observed or experienced within 30 days of receipt of said product. To see additional details on this or any of our other policies, please see our Terms & Conditions page.Item has been added to Shopping Cart
If you are ready to order, navigate to Shopping Cart and get ready to checkout.
