Rabbit anti-Human, Mouse C-Type Lectin Domain Family 4 Polyclonal Antibody | anti-CLEC4M antibody
Polyclonal Antibody to C-Type Lectin Domain Family 4, Member M (CLEC4M)
Gene Names
CLEC4M; CD299; LSIGN; CD209L; L-SIGN; DCSIGNR; HP10347; DC-SIGN2; DC-SIGNR
Reactivity
Human, Mouse
Applications
ELISA, Immunohistochemistry, Immunocytochemistry, Western Blot
Purity
Affinity Chromatography
Synonyms
C-Type Lectin Domain Family 4, Antibody; Polyclonal Antibody to C-Type Lectin Domain Family 4, Member M (CLEC4M); anti-CLEC4M antibody
Host
Rabbit
Reactivity
Human, Mouse
Clonality
Polyclonal
Specificity
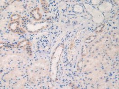
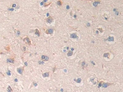
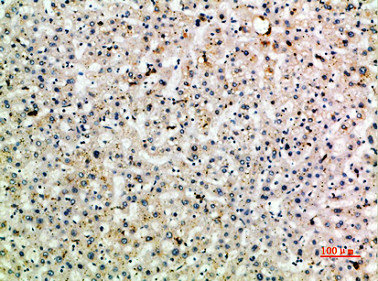
The antibody is a rabbit polyclonal antibody raised against CLEC4M. It has beenselected for its ability to recognize CLEC4M in immunohistochemical staining andwestern blotting.
Purity/Purification
Affinity Chromatography
Form/Format
Liquid
Concentration
500ug/mL (varies by lot)
Sequence
Antigen: The target protein is fused with two N-terminal Tags, His-tag and T7-tag and its sequence is listed below.
MGSSHHHHHH SSGLVPRGSH MASMTGGQQM GRGSEF- PDQSKQQQI YQELTDLKTA FERLCRHCPK DWTFFQGNCY FMSNSQRNWH DSVTACQEVR AQLVVIKTAE EQNFLQLQTS RSNRFSWMGL SDLNQEGTWQ WVDGSPLSPS FQRYWNSGEP
MGSSHHHHHH SSGLVPRGSH MASMTGGQQM GRGSEF- PDQSKQQQI YQELTDLKTA FERLCRHCPK DWTFFQGNCY FMSNSQRNWH DSVTACQEVR AQLVVIKTAE EQNFLQLQTS RSNRFSWMGL SDLNQEGTWQ WVDGSPLSPS FQRYWNSGEP
Applicable Applications for anti-CLEC4M antibody
ELISA, IHC (Immunohistochemistry), ICC (Immunocytochemistry), WB (Western Blot)
Fragment
CLEC4M (Pro242~Glu399)
Organism Species
Homo sapiens (Human)
Cross Reactivity
Human, Mouse
Conjugate
No Conjugate
Immunogen
Recombinant CLEC4M (Pro242~Glu399) expressed in E Coli.
Conjugated Antibody
The APC conjugated antibody version of this item is also available as
Preparation and Storage
Store at 4 degree C for frequent use. Stored at -20 degree C to -80 degree C in a manual defrost freezer for one year without detectable loss of activity. Avoid repeated freeze-thaw cycles.
NCBI and Uniprot Product Information
NCBI GI #
NCBI GeneID
NCBI Accession #
NCBI GenBank Nucleotide #
UniProt Accession #
Molecular Weight
24,408 Da
NCBI Official Full Name
C-type lectin domain family 4 member M isoform 12
NCBI Official Synonym Full Names
C-type lectin domain family 4 member M
NCBI Official Symbol
CLEC4M
NCBI Official Synonym Symbols
CD299; LSIGN; CD209L; L-SIGN; DCSIGNR; HP10347; DC-SIGN2; DC-SIGNR
NCBI Protein Information
C-type lectin domain family 4 member M
UniProt Protein Name
C-type lectin domain family 4 member M
UniProt Gene Name
CLEC4M
UniProt Synonym Gene Names
CD209L; CD209L1; CD299; DC-SIGNR; DC-SIGN2; L-SIGN
Customer Reviews
Loading reviews...
Share Your Experience
Similar Products
Product Notes
The CLEC4M clec4m (Catalog #AAA143829) is an Antibody produced from Rabbit and is intended for research purposes only. The product is available for immediate purchase. The Polyclonal Antibody to C-Type Lectin Domain Family 4, Member M (CLEC4M) reacts with Human, Mouse and may cross-react with other species as described in the data sheet. AAA Biotech's C-Type Lectin Domain Family 4 can be used in a range of immunoassay formats including, but not limited to, ELISA, IHC (Immunohistochemistry), ICC (Immunocytochemistry), WB (Western Blot). Researchers should empirically determine the suitability of the CLEC4M clec4m for an application not listed in the data sheet. Researchers commonly develop new applications and it is an integral, important part of the investigative research process. The amino acid sequence is listed below: Antigen: The target protein is fused with two N-terminal Tags, His-tag and T7-tag and its sequence is listed below. MGSSHHHHHH SSGLVPRGSH MASMTGGQQM GRGSEF- PDQSKQQQI YQELTDLKTA FERLCRHCPK DWTFFQGNCY FMSNSQRNWH DSVTACQEVR AQLVVIKTAE EQNFLQLQTS RSNRFSWMGL SDLNQEGTWQ WVDGSPLSPS FQRYWNSGEP. It is sometimes possible for the material contained within the vial of "C-Type Lectin Domain Family 4, Polyclonal Antibody" to become dispersed throughout the inside of the vial, particularly around the seal of said vial, during shipment and storage. We always suggest centrifuging these vials to consolidate all of the liquid away from the lid and to the bottom of the vial prior to opening. Please be advised that certain products may require dry ice for shipping and that, if this is the case, an additional dry ice fee may also be required.Precautions
All products in the AAA Biotech catalog are strictly for research-use only, and are absolutely not suitable for use in any sort of medical, therapeutic, prophylactic, in-vivo, or diagnostic capacity. By purchasing a product from AAA Biotech, you are explicitly certifying that said products will be properly tested and used in line with industry standard. AAA Biotech and its authorized distribution partners reserve the right to refuse to fulfill any order if we have any indication that a purchaser may be intending to use a product outside of our accepted criteria.Disclaimer
Though we do strive to guarantee the information represented in this datasheet, AAA Biotech cannot be held responsible for any oversights or imprecisions. AAA Biotech reserves the right to adjust any aspect of this datasheet at any time and without notice. It is the responsibility of the customer to inform AAA Biotech of any product performance issues observed or experienced within 30 days of receipt of said product. To see additional details on this or any of our other policies, please see our Terms & Conditions page.Item has been added to Shopping Cart
If you are ready to order, navigate to Shopping Cart and get ready to checkout.
