Rabbit Caldesmon Polyclonal Antibody | anti-CALD1 antibody
Anti-Caldesmon Antibody
No cross reactivity with other proteins.
No cross reactivity with other proteins.
IHC (Immunohistochemistry)
(Caldesmon was detected in paraffin-embedded sections of human intestinal tissues using rabbit anti- Caldesmon Antigen Affinity purified polyclonal antibody at 1 ug/mL. The immunohistochemical section was developed using SABC method.)
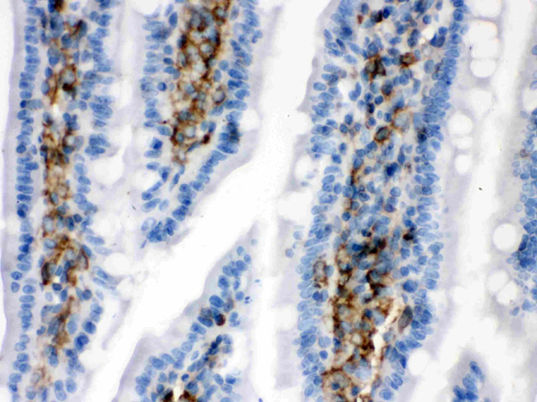
IHC (Immunohistochemisry)
(Caldesmon was detected in paraffin-embedded sections of rat intestine tissues using rabbit anti- Caldesmon Antigen Affinity purified polyclonal antibody at 1ug/mL. The immunohistochemical section was developed using SABC method.)
IHC (Immunohiostchemistry)
(Caldesmon was detected in paraffin-embedded sections of mouse intestine tissues using rabbit anti- Caldesmon Antigen Affinity purified polyclonal antibody at 1ug/mL. The immunohistochemical section was developed using SABC method.)
WB (Western Blot)
(Western blot analysis of Caldesmon expression in rat skeletal muscle extract (lane 1) and HELA whole cell lysates (lane 2). Caldesmon at 93KD was detected using rabbit anti- Caldesmon Antigen Affinity purified polyclonal antibody at 0.5ug/mL. The blot was developed using chemiluminescence (ECL) method.)
Background: Caldesmon is a protein that in humans is encoded by the CALD1 gene. It is mapped to 7q33. This gene encodes a calmodulin- and actin-binding protein that plays an essential role in the regulation of smooth muscle and nonmuscle contraction. The conserved domain of this protein possesses the binding activities to Ca(2+)-calmodulin, actin, tropomyosin, myosin, and phospholipids. This protein is a potent inhibitor of the actin-tropomyosin activated myosin MgATPase, and serves as a mediating factor for Ca(2+)-dependent inhibition of smooth muscle contraction. Alternative splicing of this gene results in multiple transcript variants encoding distinct isoforms.
2. Humphrey MB, Herrera-Sosa H, Gonzalez G, et al. (1992). "Cloning of cDNAs encoding human caldesmons". Gene 112(2): 197-204.
3. Novy RE, Lin JL, Lin JJ (Oct 1991). "Characterization of cDNA clones encoding a human fibroblast caldesmon isoform and analysis of caldesmon expression in normal and transformed cells". J Biol Chem 266 (25): 16917-24.
NCBI and Uniprot Product Information
Customer Reviews
Loading reviews...
Share Your Experience
Similar Products
Product Notes
The CALD1 cald1 (Catalog #AAA46600) is an Antibody produced from Rabbit and is intended for research purposes only. The product is available for immediate purchase. The Anti-Caldesmon Antibody reacts with Human, Mouse, Rat No cross reactivity with other proteins. and may cross-react with other species as described in the data sheet. AAA Biotech's Caldesmon can be used in a range of immunoassay formats including, but not limited to, IHC (Immunohistochemistry), WB (Western Blot). Researchers should empirically determine the suitability of the CALD1 cald1 for an application not listed in the data sheet. Researchers commonly develop new applications and it is an integral, important part of the investigative research process. It is sometimes possible for the material contained within the vial of "Caldesmon, Polyclonal Antibody" to become dispersed throughout the inside of the vial, particularly around the seal of said vial, during shipment and storage. We always suggest centrifuging these vials to consolidate all of the liquid away from the lid and to the bottom of the vial prior to opening. Please be advised that certain products may require dry ice for shipping and that, if this is the case, an additional dry ice fee may also be required.Precautions
All products in the AAA Biotech catalog are strictly for research-use only, and are absolutely not suitable for use in any sort of medical, therapeutic, prophylactic, in-vivo, or diagnostic capacity. By purchasing a product from AAA Biotech, you are explicitly certifying that said products will be properly tested and used in line with industry standard. AAA Biotech and its authorized distribution partners reserve the right to refuse to fulfill any order if we have any indication that a purchaser may be intending to use a product outside of our accepted criteria.Disclaimer
Though we do strive to guarantee the information represented in this datasheet, AAA Biotech cannot be held responsible for any oversights or imprecisions. AAA Biotech reserves the right to adjust any aspect of this datasheet at any time and without notice. It is the responsibility of the customer to inform AAA Biotech of any product performance issues observed or experienced within 30 days of receipt of said product. To see additional details on this or any of our other policies, please see our Terms & Conditions page.Item has been added to Shopping Cart
If you are ready to order, navigate to Shopping Cart and get ready to checkout.
