Rabbit CASR Polyclonal Antibody | anti-CASR antibody
Anti-CASR Antibody
No cross reactivity with other proteins.
No cross reactivity with other proteins.
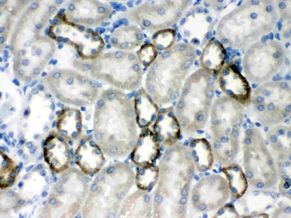
IHC (Immunohistochemisry)
(CASR was detected in paraffin-embedded sections of rat kidney tissues using rabbit anti- CASR Antigen Affinity purified polyclonal antibody at 1ug/mL. The immunohistochemical section was developed using SABC method.)
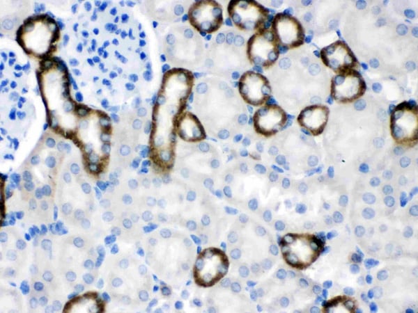
IHC (Immunohiostchemistry)
(CASR was detected in paraffin-embedded sections of mouse kidney tissues using rabbit anti- CASR Antigen Affinity purified polyclonal antibody at 1 ug/mL. The immunohistochemical section was developed using SABC method.)
WB (Western Blot)
(Western blot analysis of CASR expression in HELA whole cell lysates (lane 1) and 22RV1 whole cell lysates (lane 2). CASR at 150KD was detected using rabbit anti- CASR Antigen Affinity purified polyclonal antibody at 0.5ug/mL. The blot was developed using chemiluminescence (ECL) method.)
Background: The calcium-sensing receptor (CaSR) is a G protein-coupled receptor that is expressed in the parathyroid hormone (PTH)-producing chief cells of the parathyroid gland, and the cells lining the kidney tubule. It senses small changes in circulating calcium concentration and couples this information to intracellular signaling pathways that modify PTH secretion or renal cation handling, thus this protein plays an essential role in maintaining mineral ion homeostasis. Mutations in this gene cause familial hypocalciuric hypercalcemia, familial, isolated hypoparathyroidism, and neonatal severe primary hyperparathyroidism.
2. D'Souza-Li L (Aug 2006). "The calcium-sensing receptor and related diseases". Arquivos Brasileiros De Endocrinologia E Metabologia 50 (4): 628-39.
3. Pidasheva S, Canaff L, Simonds WF, Marx SJ, Hendy GN (Jun 2005). "Impaired cotranslational processing of the calcium-sensing receptor due to signal peptide missense mutations in familial hypocalciuric hypercalcemia". Human Molecular Genetics 14 (12): 1679-90.
NCBI and Uniprot Product Information
Customer Reviews
Loading reviews...
Share Your Experience
Similar Products
Product Notes
The CASR casr (Catalog #AAA46601) is an Antibody produced from Rabbit and is intended for research purposes only. The product is available for immediate purchase. The Anti-CASR Antibody reacts with Human, Mouse, Rat No cross reactivity with other proteins. and may cross-react with other species as described in the data sheet. AAA Biotech's CASR can be used in a range of immunoassay formats including, but not limited to, IHC (Immunohistochemistry), WB (Western Blot). Researchers should empirically determine the suitability of the CASR casr for an application not listed in the data sheet. Researchers commonly develop new applications and it is an integral, important part of the investigative research process. It is sometimes possible for the material contained within the vial of "CASR, Polyclonal Antibody" to become dispersed throughout the inside of the vial, particularly around the seal of said vial, during shipment and storage. We always suggest centrifuging these vials to consolidate all of the liquid away from the lid and to the bottom of the vial prior to opening. Please be advised that certain products may require dry ice for shipping and that, if this is the case, an additional dry ice fee may also be required.Precautions
All products in the AAA Biotech catalog are strictly for research-use only, and are absolutely not suitable for use in any sort of medical, therapeutic, prophylactic, in-vivo, or diagnostic capacity. By purchasing a product from AAA Biotech, you are explicitly certifying that said products will be properly tested and used in line with industry standard. AAA Biotech and its authorized distribution partners reserve the right to refuse to fulfill any order if we have any indication that a purchaser may be intending to use a product outside of our accepted criteria.Disclaimer
Though we do strive to guarantee the information represented in this datasheet, AAA Biotech cannot be held responsible for any oversights or imprecisions. AAA Biotech reserves the right to adjust any aspect of this datasheet at any time and without notice. It is the responsibility of the customer to inform AAA Biotech of any product performance issues observed or experienced within 30 days of receipt of said product. To see additional details on this or any of our other policies, please see our Terms & Conditions page.Item has been added to Shopping Cart
If you are ready to order, navigate to Shopping Cart and get ready to checkout.
