Rabbit anti-Human CD163 Polyclonal Antibody | anti-CD163 antibody
Anti-CD163 antibody
WB (Western Blot)
(Anti-CD163 antibody, AAA45367, Western blottingAll lanes: Anti CD163 (AAA45367) at 0.5ug/mlLane 1: Recombinant Human CD163 Protein 10ngLane 2: Recombinant Human CD163 Protein 5ngLane 3: Recombinant Human CD163 Protein 2.5ngPredicted bind size: 35KDObserved bind size: 35KD)
IHC (Immunohiostchemistry)
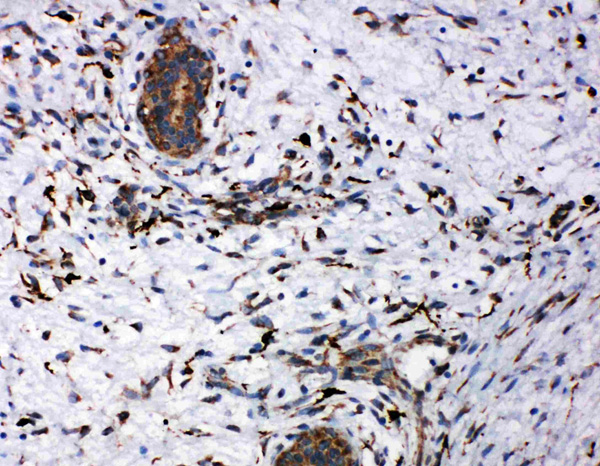
(Anti-CD163 antibody, AAA45367, IHC(P)IHC(P): Human Intestinal Cancer Tissue)
IHC (Immunohistochemistry)
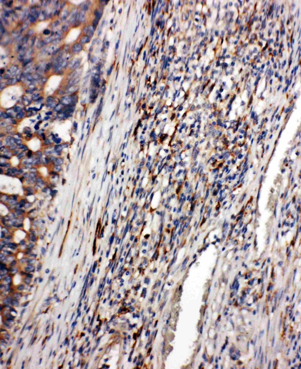
(Anti-CD163 antibody, AAA45367, IHC(P)IHC(P): Human Mammary Cancer Tissue)
Background: CD163(Cluster of Differentiation 163) also known as HEMOGLOBIN SCAVENGER RECEPTOR, is a human protein encoded by the CD163 gene. The receptor belongs to the scavenger receptor cysteine rich family type B and consists of an 1048 amino acid residues extracellular domain, a single transmembrane segment and a cytoplasmic tail with several splice variants. CD163 is a scavenger receptorfor the hemoglobin-haptoglobincomplex. Using FISH, somatic cell hybrid analysis, and radiation hybrid analysis, Stover et al.(2000) mapped the CD163 gene to chromosome 12p13.3. Specific CD163-mediated endocytosis of haptoglobin-hemoglobin complexes was measurable in cells transfected with CD163 cDNA and in CD163-expressing myelomonocytic lymphoma cells.CD163 expression in monocytes promoted bacteria-induced proinflammatory cytokine production that could be blocked by anti-CD163 antibodies. Cells expressing human CD163 and recombinant protein containing the extracellular domain of CD163 supported adhesion of erythroblastic cells.
NCBI and Uniprot Product Information
Customer Reviews
Loading reviews...
Share Your Experience
Similar Products
Product Notes
The CD163 cd163 (Catalog #AAA45367) is an Antibody produced from Rabbit and is intended for research purposes only. The product is available for immediate purchase. The Anti-CD163 antibody reacts with Human and may cross-react with other species as described in the data sheet. AAA Biotech's CD163 can be used in a range of immunoassay formats including, but not limited to, IHC (Immunohistochemistry), WB (Western Blot). Researchers should empirically determine the suitability of the CD163 cd163 for an application not listed in the data sheet. Researchers commonly develop new applications and it is an integral, important part of the investigative research process. It is sometimes possible for the material contained within the vial of "CD163, Polyclonal Antibody" to become dispersed throughout the inside of the vial, particularly around the seal of said vial, during shipment and storage. We always suggest centrifuging these vials to consolidate all of the liquid away from the lid and to the bottom of the vial prior to opening. Please be advised that certain products may require dry ice for shipping and that, if this is the case, an additional dry ice fee may also be required.Precautions
All products in the AAA Biotech catalog are strictly for research-use only, and are absolutely not suitable for use in any sort of medical, therapeutic, prophylactic, in-vivo, or diagnostic capacity. By purchasing a product from AAA Biotech, you are explicitly certifying that said products will be properly tested and used in line with industry standard. AAA Biotech and its authorized distribution partners reserve the right to refuse to fulfill any order if we have any indication that a purchaser may be intending to use a product outside of our accepted criteria.Disclaimer
Though we do strive to guarantee the information represented in this datasheet, AAA Biotech cannot be held responsible for any oversights or imprecisions. AAA Biotech reserves the right to adjust any aspect of this datasheet at any time and without notice. It is the responsibility of the customer to inform AAA Biotech of any product performance issues observed or experienced within 30 days of receipt of said product. To see additional details on this or any of our other policies, please see our Terms & Conditions page.Item has been added to Shopping Cart
If you are ready to order, navigate to Shopping Cart and get ready to checkout.
