Rabbit anti-Human CD31/PECAM-1 Polyclonal Antibody | anti-PECAM1 antibody
CD31/PECAM-1 (Endothelial Cell Marker)
Gene Names
PECAM1; CD31; PECA1; GPIIA'; PECAM-1; endoCAM; CD31/EndoCAM
Reactivity
Human
Applications
Immunohistochemistry, Western Blot, Flow Cytometry, Functional Assay
Purity
Purified Ab with BSA and Azide at 200ug/ml OR Purified Ab WITHOUT BSA and Azide at 1.0mg/ml
Synonyms
CD31/PECAM-1, Antibody; CD31/PECAM-1 (Endothelial Cell Marker); EndoCAM; PECA1; Platelet Endothelial Cell Adhesion Molecule 1; GPIIA'; anti-PECAM1 antibody
Host
Rabbit
Reactivity
Human
Clonality
Polyclonal
Isotype
IgG
Specificity
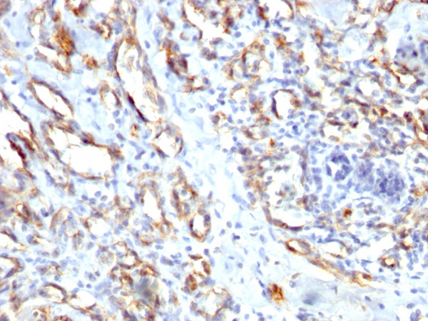
CD31 (PECAM-1) is a transmembrane glycoprotein member of the immunoglobulin supergene family of adhesion molecules. CD31 is expressed by stem cells of the hematopoietic system and is primarily used to identify and concentrate these cells for experimental studies as well as for bone marrow transplantation. Anti-CD31 has shown to be highly specific and sensitive for vascular endothelial cells. Staining of nonvascular tumors (excluding hematopoietic neoplasms) is rare. CD31 antibody reacts with normal, benign, and malignant endothelial cells which make up blood vessel lining. The level of CD31 expression can help to determine the degree of tumor angiogenesis, and a high level of CD31 expression may imply a rapidly growing tumor and potentially a predictor of tumor recurrence.
Purity/Purification
Purified Ab with BSA and Azide at 200ug/ml OR Purified Ab WITHOUT BSA and Azide at 1.0mg/ml
Form/Format
200ug/ml of Ab Purified by Protein A/G. Prepared in 10mM PBS with 0.05% BSA & 0.05% azide. Also available WITHOUT BSA & azide at 1.0mg/ml.
Sequence Length
738
Applicable Applications for anti-PECAM1 antibody
IHC (Immunohistochemistry), WB (Western Blot), FCM/FACS (Flow Cytometry)
Positive Control
THP-1, Jurkat cells. Tonsil or Angiosarcoma.
Immunogen
Human recombinant CD31 protein
Cellular Localization
Cell Surface and Cytoplasmic
Hu-chromosome Location
17q23.3
Preparation and Storage
Antibody with azide: store at 2 to 8 degree C.
Antibody without azide: store at -20 to -80 degree C.
Antibody is stable for 24 months. Non-hazardous. No MSDS required.
Antibody without azide: store at -20 to -80 degree C.
Antibody is stable for 24 months. Non-hazardous. No MSDS required.
References
Gratzinger D et. al. Am J Clin Pathol 131:264-278 (2009)
NCBI and Uniprot Product Information
NCBI GI #
NCBI GeneID
NCBI Accession #
NCBI GenBank Nucleotide #
UniProt Accession #
Molecular Weight
~100kDa (endothelium) and ~130kDa (platelets)
NCBI Official Full Name
platelet endothelial cell adhesion molecule
NCBI Official Synonym Full Names
platelet and endothelial cell adhesion molecule 1
NCBI Official Symbol
PECAM1
NCBI Official Synonym Symbols
CD31; PECA1; GPIIA'; PECAM-1; endoCAM; CD31/EndoCAM
NCBI Protein Information
platelet endothelial cell adhesion molecule
UniProt Protein Name
Platelet endothelial cell adhesion molecule
UniProt Gene Name
PECAM1
UniProt Synonym Gene Names
PECAM-1
UniProt Entry Name
PECA1_HUMAN
Customer Reviews
Loading reviews...
Share Your Experience
Similar Products
Product Notes
The PECAM1 pecam1 (Catalog #AAA215136) is an Antibody produced from Rabbit and is intended for research purposes only. The product is available for immediate purchase. The CD31/PECAM-1 (Endothelial Cell Marker) reacts with Human and may cross-react with other species as described in the data sheet. AAA Biotech's CD31/PECAM-1 can be used in a range of immunoassay formats including, but not limited to, IHC (Immunohistochemistry), WB (Western Blot), FCM/FACS (Flow Cytometry). Researchers should empirically determine the suitability of the PECAM1 pecam1 for an application not listed in the data sheet. Researchers commonly develop new applications and it is an integral, important part of the investigative research process. It is sometimes possible for the material contained within the vial of "CD31/PECAM-1, Polyclonal Antibody" to become dispersed throughout the inside of the vial, particularly around the seal of said vial, during shipment and storage. We always suggest centrifuging these vials to consolidate all of the liquid away from the lid and to the bottom of the vial prior to opening. Please be advised that certain products may require dry ice for shipping and that, if this is the case, an additional dry ice fee may also be required.Precautions
All products in the AAA Biotech catalog are strictly for research-use only, and are absolutely not suitable for use in any sort of medical, therapeutic, prophylactic, in-vivo, or diagnostic capacity. By purchasing a product from AAA Biotech, you are explicitly certifying that said products will be properly tested and used in line with industry standard. AAA Biotech and its authorized distribution partners reserve the right to refuse to fulfill any order if we have any indication that a purchaser may be intending to use a product outside of our accepted criteria.Disclaimer
Though we do strive to guarantee the information represented in this datasheet, AAA Biotech cannot be held responsible for any oversights or imprecisions. AAA Biotech reserves the right to adjust any aspect of this datasheet at any time and without notice. It is the responsibility of the customer to inform AAA Biotech of any product performance issues observed or experienced within 30 days of receipt of said product. To see additional details on this or any of our other policies, please see our Terms & Conditions page.Item has been added to Shopping Cart
If you are ready to order, navigate to Shopping Cart and get ready to checkout.
