Rabbit anti-Human CD80 Polyclonal Antibody | anti-CD80 antibody
CD80 Polyclonal Antibody
Gene Names
CD80; B7; BB1; B7-1; B7.1; LAB7; CD28LG; CD28LG1
Reactivity
Human
Applications
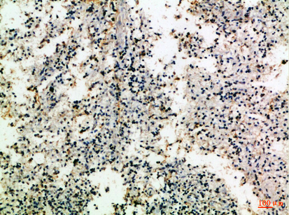
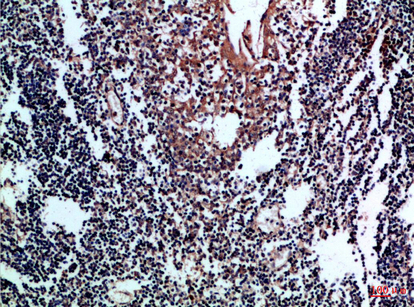
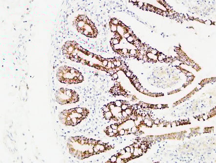
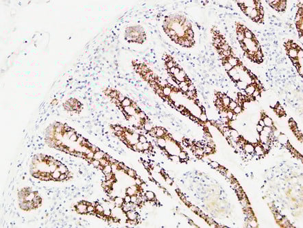
Immunohistochemistry
Synonyms
CD80, Antibody; CD80 Polyclonal Antibody; T-lymphocyte activation antigen CD80 (Activation B7-1 antigen)(BB1)(CTLA-4 counter-receptor B7.1)(B7)(CD antigen CD80); anti-CD80 antibody
Host
Rabbit
Reactivity
Human
Clonality
Polyclonal
Applicable Applications for anti-CD80 antibody
IHC (Immunohistochemistry)
Preparation and Storage
Maintain refrigerated at 2-8 degree C for up to 2 weeks. For long term storage store at -20 degree C in small aliquots to prevent freeze-thaw cycles.
Related Product Information for anti-CD80 antibody
Involved in the costimulatory signal essential for T- lymphocyte activation. T-cell proliferation and cytokine production is induced by the binding of CD28, binding to CTLA-4 has opposite effects and inhibits T-cell activation.
NCBI and Uniprot Product Information
NCBI GI #
NCBI GeneID
Molecular Weight
18,761 Da
NCBI Official Full Name
T-lymphocyte activation antigen CD80
NCBI Official Synonym Full Names
CD80 molecule
NCBI Official Symbol
CD80
NCBI Official Synonym Symbols
B7; BB1; B7-1; B7.1; LAB7; CD28LG; CD28LG1
NCBI Protein Information
T-lymphocyte activation antigen CD80
UniProt Protein Name
T-lymphocyte activation antigen CD80
UniProt Gene Name
CD80
UniProt Synonym Gene Names
CD28LG; CD28LG1; LAB7; B7
Customer Reviews
Loading reviews...
Share Your Experience
Similar Products
Product Notes
The CD80 cd80 (Catalog #AAA296618) is an Antibody produced from Rabbit and is intended for research purposes only. The product is available for immediate purchase. The CD80 Polyclonal Antibody reacts with Human and may cross-react with other species as described in the data sheet. AAA Biotech's CD80 can be used in a range of immunoassay formats including, but not limited to, IHC (Immunohistochemistry). Researchers should empirically determine the suitability of the CD80 cd80 for an application not listed in the data sheet. Researchers commonly develop new applications and it is an integral, important part of the investigative research process. It is sometimes possible for the material contained within the vial of "CD80, Polyclonal Antibody" to become dispersed throughout the inside of the vial, particularly around the seal of said vial, during shipment and storage. We always suggest centrifuging these vials to consolidate all of the liquid away from the lid and to the bottom of the vial prior to opening. Please be advised that certain products may require dry ice for shipping and that, if this is the case, an additional dry ice fee may also be required.Precautions
All products in the AAA Biotech catalog are strictly for research-use only, and are absolutely not suitable for use in any sort of medical, therapeutic, prophylactic, in-vivo, or diagnostic capacity. By purchasing a product from AAA Biotech, you are explicitly certifying that said products will be properly tested and used in line with industry standard. AAA Biotech and its authorized distribution partners reserve the right to refuse to fulfill any order if we have any indication that a purchaser may be intending to use a product outside of our accepted criteria.Disclaimer
Though we do strive to guarantee the information represented in this datasheet, AAA Biotech cannot be held responsible for any oversights or imprecisions. AAA Biotech reserves the right to adjust any aspect of this datasheet at any time and without notice. It is the responsibility of the customer to inform AAA Biotech of any product performance issues observed or experienced within 30 days of receipt of said product. To see additional details on this or any of our other policies, please see our Terms & Conditions page.Item has been added to Shopping Cart
If you are ready to order, navigate to Shopping Cart and get ready to checkout.
