Rabbit CDC42 Polyclonal Antibody | anti-CDC42 antibody
CDC42 Antibody
Phosphate buffered saline, pH 7.4, 150mM NaCl, 0.02% sodium azide and 50% glycerol.
WB (Western Blot)
(Western blot analysis of Hela whole cell lysates, using CDC42 Antibody. The lane on the left is treated with the antigen-specific peptide.)
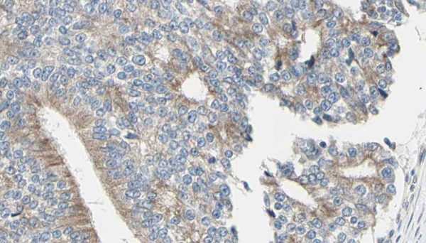
IHC (Immunohistochemistry)
(AAA326100 at 1/100 staining Human prostate tissue by IHC-P. The sample was formaldehyde fixed and a heat mediated antigen retrieval step in citrate buffer was performed. The sample was then blocked and incubated with the antibody for 1.5 hours at 22 degree C. An HRP conjugated goat anti-rabbit antibody was used as the secondary.)
Function: Plasma membrane-associated small GTPase which cycles between an active GTP-bound and an inactive GDP-bound state. In active state binds to a variety of effector proteins to regulate cellular responses. Involved in epithelial cell polarization processes. Regulates the bipolar attachment of spindle microtubules to kinetochores before chromosome congression in metaphase. Plays a role in the extension and maintenance of the formation of thin, actin-rich surface projections called filopodia. Mediates CDC42-dependent cell migration. Required for DOCK10-mediated spine formation in Purkinje cells and hippocampal neurons. Facilitates filopodia formation upon DOCK11-activation (By similarity). Also plays a role in phagocytosis through organization of the F-actin cytoskeleton associated with forming phagocytic cups.
Subunit Structure: Interacts with CDC42EP1, CDC42EP2, CDC42EP3, CDC42EP4, CDC42EP5, CDC42SE1, CDC42SE2, PARD6A, PARD6B and PARD6G (in a GTP-dependent manner) (PubMed:10490598, PubMed:10816584, PubMed:10954424, PubMed:11260256). Interacts with activated CSPG4 and with BAIAP2 (PubMed:10587647, PubMed:11130076). Interacts with activated CSPG4 and with BAIAP2 (By similarity). Interacts with DOCK11/Zizimin2; the interaction activates CDC42 by exchanging GDP for GTP (By similarity). Interacts with DOCK9; the interaction activates CDC42 by exchanging GDP for GTP (PubMed:12172552, PubMed:19745154). Interacts with DOCK8 (via DHR-2 domain); the interaction activates CDC42 by exchanging GDP for GTP (PubMed:12172552). Interacts with IQGAP1 (By similarity). Interacts with NET1 and ARHGAP33/TCGAP (By similarity). Part of a complex with PARD3, PARD6A or PARD6B and PRKCI or PRKCZ (PubMed:11260256). The GTP-bound form interacts with CCPG1 (By similarity). Interacts with USP6 (PubMed:12612085). Interacts with NEK6 (PubMed:20873783). Part of a collagen stimulated complex involved in cell migration composed of CDC42, CRK, TNK2 and BCAR1/p130cas (PubMed:17038317). Interacts with ITGB1BP1 (PubMed:11807099). Interacts with ARHGDIA; this interaction inactivates and stabilizes CDC42 (PubMed:23434736). Interacts with ARHGDIB; this maintains CDC42 in the inactive, GDP-bound form (PubMed:7512369). Interacts (in GTP-bound form) with FNBP1L and ABI1, but only in the presence of FNBP1L (PubMed:19798448). May interact with ARHGEF16; responsible for the activation of CDC42 by the viral protein HPV16 E6 (PubMed:21139582).
Post-translational Modifications: (Microbial infection) AMPylation at Tyr-32 and Thr-35 are mediated by bacterial enzymes in case of infection by H.somnus and V.parahaemolyticus, respectively. AMPylation occurs in the effector region and leads to inactivation of the GTPase activity by preventing the interaction with downstream effectors, thereby inhibiting actin assembly in infected cells. It is unclear whether some human enzyme mediates AMPylation; FICD has such ability in vitro but additional experiments remain to be done to confirm results in vivo. Phosphorylated by SRC in an EGF-dependent manner, this stimulates the binding of the Rho-GDP dissociation inhibitor RhoGDI. (Microbial infection) Glycosylated at Tyr-32 by Photorhabdus asymbiotica toxin PAU_02230. Mono-O-GlcNAcylation by PAU_02230 inhibits downstream signaling by an impaired interaction with diverse regulator and effector proteins of CDC42 and leads to actin disassembly.
Similarity: Belongs to the small GTPase superfamily. Rho family. CDC42 subfamily.
NCBI and Uniprot Product Information
Predicted: 22 kDa
Customer Reviews
Loading reviews...
Share Your Experience
Similar Products
Product Notes
The CDC42 cdc42 (Catalog #AAA326100) is an Antibody produced from Rabbit and is intended for research purposes only. The product is available for immediate purchase. The CDC42 Antibody reacts with Human, Mouse, Rat and may cross-react with other species as described in the data sheet. AAA Biotech's CDC42 can be used in a range of immunoassay formats including, but not limited to, ELISA, IHC (Immunohistochemistry), WB (Western Blot). Researchers should empirically determine the suitability of the CDC42 cdc42 for an application not listed in the data sheet. Researchers commonly develop new applications and it is an integral, important part of the investigative research process. It is sometimes possible for the material contained within the vial of "CDC42, Polyclonal Antibody" to become dispersed throughout the inside of the vial, particularly around the seal of said vial, during shipment and storage. We always suggest centrifuging these vials to consolidate all of the liquid away from the lid and to the bottom of the vial prior to opening. Please be advised that certain products may require dry ice for shipping and that, if this is the case, an additional dry ice fee may also be required.Precautions
All products in the AAA Biotech catalog are strictly for research-use only, and are absolutely not suitable for use in any sort of medical, therapeutic, prophylactic, in-vivo, or diagnostic capacity. By purchasing a product from AAA Biotech, you are explicitly certifying that said products will be properly tested and used in line with industry standard. AAA Biotech and its authorized distribution partners reserve the right to refuse to fulfill any order if we have any indication that a purchaser may be intending to use a product outside of our accepted criteria.Disclaimer
Though we do strive to guarantee the information represented in this datasheet, AAA Biotech cannot be held responsible for any oversights or imprecisions. AAA Biotech reserves the right to adjust any aspect of this datasheet at any time and without notice. It is the responsibility of the customer to inform AAA Biotech of any product performance issues observed or experienced within 30 days of receipt of said product. To see additional details on this or any of our other policies, please see our Terms & Conditions page.Item has been added to Shopping Cart
If you are ready to order, navigate to Shopping Cart and get ready to checkout.
