Rabbit anti-Human, Mouse Collagen III Polyclonal Antibody | anti-COL3A1 antibody
Collagen III Antibody
Gene Names
COL3A1; EDS4A
Reactivity
Human, Mouse
Applications
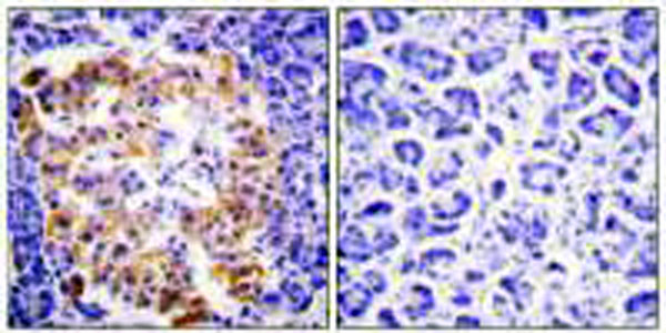
Immunofluorescence, Immunohistochemistry
Purity
The antibody was affinity-purified from rabbit antiserum by affinity-chromatography using epitope-specific immunogen.
Synonyms
Collagen III, Antibody; Collagen III Antibody; Collagen alpha 1; Collagen alpha 1(III) chain [Precursor]; anti-COL3A1 antibody
Host
Rabbit
Reactivity
Human, Mouse
Clonality
Polyclonal
Specificity
The antibody detects endogenous levels of total collagen III protein.
Purity/Purification
The antibody was affinity-purified from rabbit antiserum by affinity-chromatography using epitope-specific immunogen.
Form/Format
Rabbit IgG in phosphate buffered saline (without Mg2+ and Ca2+), pH 7.4, 150mM NaCl, 0.02% sodium azide and 50% glycerol.
Concentration
1.0 mg/ml (varies by lot)
Sequence Length
1466
Applicable Applications for anti-COL3A1 antibody
IF (Immunofluorescence), IHC (Immunohistochemistry)
Immunogen Type
Peptide
Immunogen Description
Synthesized peptide derived from internal of human collagen III.
Target Name
Collagen III
Preparation and Storage
Store at -20 degree C
Related Product Information for anti-COL3A1 antibody
Collagen type III occurs in most soft connective tissues along with type I collagen. Involved in regulation of cortical development. Is the major ligand of GPR56 in the developing brain and binding to GPR56 inhibits neuronal migration and activates the RhoA pathway by coupling GPR56 to GNA13 and possibly GNA12.
Arja Lamberg, J. Biol. Chem., May 1996; 271: 11988.
GW Conrad, J. Cell Biol., Mar 1980; 84: 501.
DR Keene, J. Cell Biol., Nov 1987; 105: 2393.
HM Wang, J. Histochem. Cytochem., Nov 1980; 28: 1215.
Arja Lamberg, J. Biol. Chem., May 1996; 271: 11988.
GW Conrad, J. Cell Biol., Mar 1980; 84: 501.
DR Keene, J. Cell Biol., Nov 1987; 105: 2393.
HM Wang, J. Histochem. Cytochem., Nov 1980; 28: 1215.
Product Categories/Family for anti-COL3A1 antibody
NCBI and Uniprot Product Information
NCBI GI #
NCBI GeneID
NCBI Accession #
NCBI GenBank Nucleotide #
UniProt Accession #
Molecular Weight
135kd
NCBI Official Full Name
collagen alpha-1(III) chain preproprotein
NCBI Official Synonym Full Names
collagen, type III, alpha 1
NCBI Official Symbol
COL3A1
NCBI Official Synonym Symbols
EDS4A
NCBI Protein Information
collagen alpha-1(III) chain
UniProt Protein Name
Collagen alpha-1(III) chain
UniProt Gene Name
COL3A1
UniProt Entry Name
CO3A1_HUMAN
Customer Reviews
Loading reviews...
Share Your Experience
Similar Products
Product Notes
The COL3A1 col3a1 (Catalog #AAA301505) is an Antibody produced from Rabbit and is intended for research purposes only. The product is available for immediate purchase. The Collagen III Antibody reacts with Human, Mouse and may cross-react with other species as described in the data sheet. AAA Biotech's Collagen III can be used in a range of immunoassay formats including, but not limited to, IF (Immunofluorescence), IHC (Immunohistochemistry). Researchers should empirically determine the suitability of the COL3A1 col3a1 for an application not listed in the data sheet. Researchers commonly develop new applications and it is an integral, important part of the investigative research process. It is sometimes possible for the material contained within the vial of "Collagen III, Polyclonal Antibody" to become dispersed throughout the inside of the vial, particularly around the seal of said vial, during shipment and storage. We always suggest centrifuging these vials to consolidate all of the liquid away from the lid and to the bottom of the vial prior to opening. Please be advised that certain products may require dry ice for shipping and that, if this is the case, an additional dry ice fee may also be required.Precautions
All products in the AAA Biotech catalog are strictly for research-use only, and are absolutely not suitable for use in any sort of medical, therapeutic, prophylactic, in-vivo, or diagnostic capacity. By purchasing a product from AAA Biotech, you are explicitly certifying that said products will be properly tested and used in line with industry standard. AAA Biotech and its authorized distribution partners reserve the right to refuse to fulfill any order if we have any indication that a purchaser may be intending to use a product outside of our accepted criteria.Disclaimer
Though we do strive to guarantee the information represented in this datasheet, AAA Biotech cannot be held responsible for any oversights or imprecisions. AAA Biotech reserves the right to adjust any aspect of this datasheet at any time and without notice. It is the responsibility of the customer to inform AAA Biotech of any product performance issues observed or experienced within 30 days of receipt of said product. To see additional details on this or any of our other policies, please see our Terms & Conditions page.Item has been added to Shopping Cart
If you are ready to order, navigate to Shopping Cart and get ready to checkout.
