Host
Rabbit
Reactivity
Human
Clonality
Polyclonal
Specificity
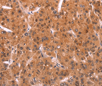
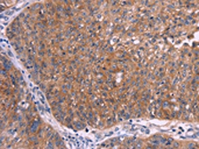
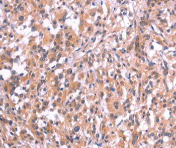
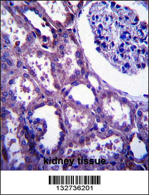
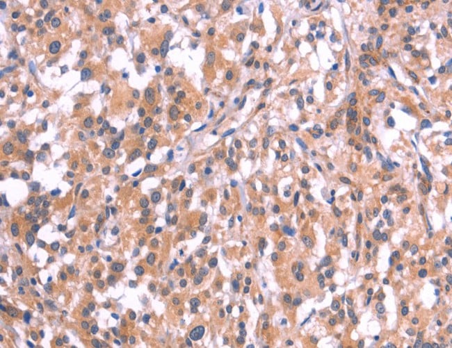
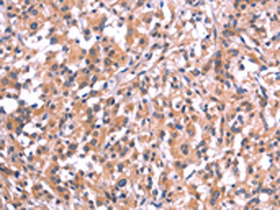
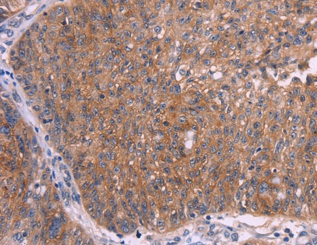
The antibody detects endogenous levels of total EMP2 protein.
Purity/Purification
Antigen affinity purification.
Form/Format
Rabbit IgG in pH7.3 PBS, 0.05% NaN3, 50% Glycerol.
Concentration
1.5 mg/ml (varies by lot)
Sequence Length
167
Applicable Applications for anti-EMP2 antibody
IHC (Immunohistochemistry)
Immunogen Type
Peptide
Immunogen Description
Synthetic peptide corresponding to a region derived from internal residues of human epithelial membrane protein 2
Target Name
EMP2
Preparation and Storage
Store at -20 degree C
Related Product Information for anti-EMP2 antibody
EMP-2 (epithelial membrane protein 2), also known as XMP, is a 167 amino acid multi-pass membrane protein that contains four-transmembrane domains and belongs to the GAS3/PMP22 (growth arrest-specific-3/peripheral myelin protein-22) family. Localized to lipid raft domains in the plasma membrane, EMP-2 regulates the expression of several target proteins and is necessary for blastocyst implantation in the uterine endometrium. Specifically, EMP-2 mediates blastocyst implantation by controlling the cell membrane expression of MHC and glycosylphosphatidylinositol-anchored proteins, as well as Integrins and caveolin-1. In adult tissues, EMP-2 is expressed in heart, lung, ovary and intestine, while fetal expression is highest in kidney, brain and liver. Overexpression of EMP-2 is associated with endometrial adenocarcinoma, suggesting a possible role for EMP-2 in tumorigenesis.
Product Categories/Family for anti-EMP2 antibody
NCBI and Uniprot Product Information
NCBI GI #
NCBI GeneID
NCBI Accession #
NCBI GenBank Nucleotide #
Molecular Weight
19,199 Da
NCBI Official Full Name
epithelial membrane protein 2
NCBI Official Synonym Full Names
epithelial membrane protein 2
NCBI Official Symbol
EMP2
NCBI Official Synonym Symbols
XMP
NCBI Protein Information
epithelial membrane protein 2
UniProt Protein Name
Epithelial membrane protein 2
UniProt Gene Name
EMP2
UniProt Synonym Gene Names
XMP; EMP-2
UniProt Entry Name
EMP2_HUMAN
Customer Reviews
Loading reviews...
Share Your Experience
Similar Products
Product Notes
The EMP2 emp2 (Catalog #AAA306059) is an Antibody produced from Rabbit and is intended for research purposes only. The product is available for immediate purchase. The EMP2 Antibody reacts with Human and may cross-react with other species as described in the data sheet. AAA Biotech's EMP2 can be used in a range of immunoassay formats including, but not limited to, IHC (Immunohistochemistry). Researchers should empirically determine the suitability of the EMP2 emp2 for an application not listed in the data sheet. Researchers commonly develop new applications and it is an integral, important part of the investigative research process. It is sometimes possible for the material contained within the vial of "EMP2, Polyclonal Antibody" to become dispersed throughout the inside of the vial, particularly around the seal of said vial, during shipment and storage. We always suggest centrifuging these vials to consolidate all of the liquid away from the lid and to the bottom of the vial prior to opening. Please be advised that certain products may require dry ice for shipping and that, if this is the case, an additional dry ice fee may also be required.Precautions
All products in the AAA Biotech catalog are strictly for research-use only, and are absolutely not suitable for use in any sort of medical, therapeutic, prophylactic, in-vivo, or diagnostic capacity. By purchasing a product from AAA Biotech, you are explicitly certifying that said products will be properly tested and used in line with industry standard. AAA Biotech and its authorized distribution partners reserve the right to refuse to fulfill any order if we have any indication that a purchaser may be intending to use a product outside of our accepted criteria.Disclaimer
Though we do strive to guarantee the information represented in this datasheet, AAA Biotech cannot be held responsible for any oversights or imprecisions. AAA Biotech reserves the right to adjust any aspect of this datasheet at any time and without notice. It is the responsibility of the customer to inform AAA Biotech of any product performance issues observed or experienced within 30 days of receipt of said product. To see additional details on this or any of our other policies, please see our Terms & Conditions page.Item has been added to Shopping Cart
If you are ready to order, navigate to Shopping Cart and get ready to checkout.
