Rabbit Estrogen Receptor alpha Polyclonal Antibody | anti-ESR1 antibody
Phospho-Estrogen Receptor alpha (Tyr537) Antibody
Phosphate buffered saline, pH 7.4, 150mM NaCl, 0.02% sodium azide and 50% glycerol.
WB (Western Blot)
(Western blot analysis of Estrogen Receptor-alpha phosphorylation expression in 293 whole cell lysates, The lane on the left is treated with the antigen-specific peptide.)
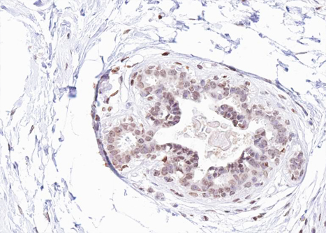
IHC (Immunohistochemisry)
(AAA321457 at 1/100 staining human Breast carcinoma tissue sections by IHC-P. The tissue was formaldehyde fixed and a heat mediated antigen retrieval step in citrate buffer was performed. The tissue was then blocked and incubated with the antibody for 1.5 hours at 22 degree C. An HRP conjugated goat anti-rabbit antibody was used as the secondary.)
IF (Immunofluorescence)
(AAA321457 staining 293 by IF/ICC. The sample were fixed with PFA and permeabilized in 0.1% Triton X-100, then blocked in 10% serum for 45 minutes at 25 degree C. The primary antibody was diluted at 1/200 and incubated with the sample for 1 hour at 37 degree C. An Alexa Fluor 594 conjugated goat anti-rabbit IgG (H+L) Ab, diluted at 1/600, was used as the secondary antibody.)
WB (Western Blot)
(Western blot analysis of Phospho-Estrogen Receptor alpha (Tyr537) Antibody expression in 293 cells lysates.The lane on the right is treated with the antigen-specific peptide.)
Function: Nuclear hormone receptor. The steroid hormones and their receptors are involved in the regulation of eukaryotic gene expression and affect cellular proliferation and differentiation in target tissues. Ligand-dependent nuclear transactivation involves either direct homodimer binding to a palindromic estrogen response element (ERE) sequence or association with other DNA-binding transcription factors, such as AP-1/c-Jun, c-Fos, ATF-2, Sp1 and Sp3, to mediate ERE-independent signaling. Ligand binding induces a conformational change allowing subsequent or combinatorial association with multiprotein coactivator complexes through LXXLL motifs of their respective components. Mutual transrepression occurs between the estrogen receptor (ER) and NF-kappa-B in a cell-type specific manner. Decreases NF-kappa-B DNA-binding activity and inhibits NF-kappa-B-mediated transcription from the IL6 promoter and displace RELA/p65 and associated coregulators from the promoter. Recruited to the NF-kappa-B response element of the CCL2 and IL8 promoters and can displace CREBBP. Present with NF-kappa-B components RELA/p65 and NFKB1/p50 on ERE sequences. Can also act synergistically with NF-kappa-B to activate transcription involving respective recruitment adjacent response elements; the function involves CREBBP. Can activate the transcriptional activity of TFF1. Also mediates membrane-initiated estrogen signaling involving various kinase cascades. Isoform 3 is involved in activation of NOS3 and endothelial nitric oxide production. Isoforms lacking one or several functional domains are thought to modulate transcriptional activity by competitive ligand or DNA binding and/or heterodimerization with the full-length receptor. Essential for MTA1-mediated transcriptional regulation of BRCA1 and BCAS3. Isoform 3 can bind to ERE and inhibit isoform 1.
Subunit Structure: Binds DNA as a homodimer. Can form a heterodimer with ESR2. Isoform 3 can probably homodimerize or heterodimerize with isoform 1 and ESR2. Interacts with FOXC2, MAP1S, SLC30A9, UBE1C and NCOA3 coactivator (By similarity). Interacts with EP300; the interaction is estrogen-dependent and enhanced by CITED1. Interacts with CITED1; the interaction is estrogen-dependent. Interacts with NCOA5 and NCOA6 coactivators. Interacts with NCOA7; the interaction is a ligand-inducible. Interacts with PHB2, PELP1 and UBE1C. Interacts with AKAP13. Interacts with CUEDC2. Interacts with KDM5A. Interacts with SMARD1. Interacts with HEXIM1. Interacts with PBXIP1. Interaction with MUC1 is stimulated by 7 beta-estradiol (E2) and enhances ERS1-mediated transcription. Interacts with DNTTIP2, FAM120B and UIMC1. Interacts with isoform 4 of TXNRD1. Interacts with KMT2D/MLL2. Interacts with ATAD2 and this interaction is enhanced by estradiol. Interacts with KIF18A and LDB1. Interacts with RLIM (via C-terminus). Interacts with MACROD1. Interacts with SH2D4A and PLCG. Interaction with SH2D4A blocks binding to PLCG and inhibits estrogen-induced cell proliferation. Interacts with DYNLL1. Interacts with CCDC62 in the presence of estradiol/E2; this interaction seems to enhance the transcription of target genes. Interacts with NR2C1; the interaction prevents homodimerization of ESR1 and suppresses its transcriptional activity and cell growth. Interacts with DNAAF4. Interacts with PRMT2. Interacts with PI3KR1 or PI3KR2, SRC and PTK2/FAK1. Interacts with RBFOX2. Interacts with STK3/MST2 only in the presence of SAV1 and vice-versa. Binds to CSNK1D. Interacts with NCOA2; NCOA2 can interact with ESR1 AF-1 and AF-2 domains simultaneously and mediate their transcriptional synergy. Interacts with DDX5. Interacts with NCOA1; the interaction seems to require a self-association of N-terminal and C-terminal regions. Interacts with ZNF366, DDX17, NFKB1, RELA, SP1 and SP3. Interacts with NRIP1 (By similarity). Interacts with GPER1; the interaction occurs in an estrogen-dependent manner. Interacts with CLOCK and the interaction is stimulated by estrogen. Interacts with BCAS3. Interacts with TRIP4 (ufmylated); estrogen dependent. Interacts with LMTK3; the interaction phosphorylates ESR1 (in vitro) and protects it against proteasomal degradation. Interacts with CCAR2 (via N-terminus) in a ligand-independent manner. Interacts with ZFHX3. Interacts with SFR1 in a ligand-dependent and-independent manner (PubMed:23874500). Interacts with DCAF13, LATS1 and DCAF1; regulates ESR1 ubiquitination and ubiquitin-mediated proteasomal degradation (PubMed:28068668). Interacts (via DNA-binding domain) with POU4F2 (C-terminus); this interaction increases the estrogen receptor ESR1 transcriptional activity in a DNA-and ligand 17-beta-estradiol-independent manner (By similarity). Interacts with ESRRB isoform 1 (PubMed:19755138). Interacts with UBE3A nad WBP2 (PubMed:16772533).
Post-translational Modifications: Phosphorylated by cyclin A/CDK2 and CK1. Phosphorylation probably enhances transcriptional activity. Self-association induces phosphorylation. Dephosphorylation at Ser-118 by PPP5C inhibits its transactivation activity. Phosphorylated by LMTK3 in vitro. Glycosylated; contains N-acetylglucosamine, probably O-linked. Ubiquitinated; regulated by LATS1 via DCAF1 it leads to ESR1 proteasomal degradation (PubMed:21602804, PubMed:28068668). Deubiquitinated by OTUB1 (PubMed:19383985).Dimethylated by PRMT1 at Arg-260. The methylation may favor cytoplasmic localization. Palmitoylated (isoform 3). Not biotinylated (isoform 3). Palmitoylated by ZDHHC7 and ZDHHC21. Palmitoylation is required for plasma membrane targeting and for rapid intracellular signaling via ERK and AKT kinases and cAMP generation, but not for signaling mediated by the nuclear hormone receptor.
Similarity: Composed of three domains: a modulating N-terminal domain, a DNA-binding domain and a C-terminal ligand-binding domain. The modulating domain, also known as A/B or AF-1 domain has a ligand-independent transactivation function. The C-terminus contains a ligand-dependent transactivation domain, also known as E/F or AF-2 domain which overlaps with the ligand binding domain. AF-1 and AF-2 activate transcription independently and synergistically and act in a promoter-and cell-specific manner. AF-1 seems to provide the major transactivation function in differentiated cells. Belongs to the nuclear hormone receptor family. NR3 subfamily.
NCBI and Uniprot Product Information
Predicted: 67 kDa
Customer Reviews
Loading reviews...
Share Your Experience
Similar Products
Product Notes
The ESR1 esr1 (Catalog #AAA321457) is an Antibody produced from Rabbit and is intended for research purposes only. The product is available for immediate purchase. The Phospho-Estrogen Receptor alpha (Tyr537) Antibody reacts with Human, Mouse, Rat and may cross-react with other species as described in the data sheet. AAA Biotech's Estrogen Receptor alpha can be used in a range of immunoassay formats including, but not limited to, ELISA, ICC (Immunocytochemistry), IF (Immunofluorescence), IHC (Immunohistochemistry), WB (Western Blot). Researchers should empirically determine the suitability of the ESR1 esr1 for an application not listed in the data sheet. Researchers commonly develop new applications and it is an integral, important part of the investigative research process. It is sometimes possible for the material contained within the vial of "Estrogen Receptor alpha, Polyclonal Antibody" to become dispersed throughout the inside of the vial, particularly around the seal of said vial, during shipment and storage. We always suggest centrifuging these vials to consolidate all of the liquid away from the lid and to the bottom of the vial prior to opening. Please be advised that certain products may require dry ice for shipping and that, if this is the case, an additional dry ice fee may also be required.Precautions
All products in the AAA Biotech catalog are strictly for research-use only, and are absolutely not suitable for use in any sort of medical, therapeutic, prophylactic, in-vivo, or diagnostic capacity. By purchasing a product from AAA Biotech, you are explicitly certifying that said products will be properly tested and used in line with industry standard. AAA Biotech and its authorized distribution partners reserve the right to refuse to fulfill any order if we have any indication that a purchaser may be intending to use a product outside of our accepted criteria.Disclaimer
Though we do strive to guarantee the information represented in this datasheet, AAA Biotech cannot be held responsible for any oversights or imprecisions. AAA Biotech reserves the right to adjust any aspect of this datasheet at any time and without notice. It is the responsibility of the customer to inform AAA Biotech of any product performance issues observed or experienced within 30 days of receipt of said product. To see additional details on this or any of our other policies, please see our Terms & Conditions page.Item has been added to Shopping Cart
If you are ready to order, navigate to Shopping Cart and get ready to checkout.
