Rabbit FOXA2 Polyclonal Antibody | anti-FOXA2 antibody
FOXA2 Antibody (Center)
IF (Immunofluorescence)
(Fluorescent confocal image of A549 cell stained with FOXA2 Antibody (Center). A549 cells were fixed with 4% PFA (20 min), permeabilized with Triton X-100 (0.1%, 10 min), then incubated with FOXA2 primary antibody (1:25, 1 h at 37 degree). For secondary antibody, Alexa Fluor 488 conjugated donkey anti-rabbit antibody (green) was used (1:400, 50 min at 37 degree).Cytoplasmic actin was counterstained with Alexa Fluor 555 (red) conjugated Phalloidin (7units/ml, 1 h at 37 degree). Nuclei were counterstained with DAPI (blue) (10 ug/ml, 10 min). FOXA2 immunoreactivity is localized to Nucleus significantly.)
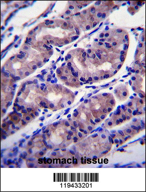
IHC (Immunohiostchemistry)
(FOXA2 Antibody (Center) immunohistochemistry analysis in formalin fixed and paraffin embedded human stomach tissue followed by peroxidase conjugation of the secondary antibody and DAB staining.This data demonstrates the use of FOXA2 Antibody (Center) for immunohistochemistry. Clinical relevance has not been evaluated.)
WB (Western Blot)
(FOXA2 Antibody (Center) western blot analysis in MDA-MB231 cell line lysates (35ug/lane).This demonstrates the FOXA2 antibody detected the FOXA2 protein (arrow).)
DNA-binding proteins. These hepatocyte nuclear factors are
transcriptional activators for liver-specific genes such as albumin
and transthyretin, and they also interact with chromatin. Similar
family members in mice have roles in the regulation of metabolism
and in the differentiation of the pancreas and liver. This gene has
been linked to sporadic cases of maturity-onset diabetes of the
young. Transcript variants encoding different isoforms have been
identified for this gene.
Banerjee, A., et al. J. Virol. 84(12):5936-5946(2010)
Dayoub, R., et al. Biochem. Biophys. Res. Commun. 395(4):465-470(2010)
Xing, C., et al. Am. J. Hum. Genet. 86(3):440-446(2010)
Song, Y., et al. Cancer Res. 70(5):2115-2125(2010)
NCBI and Uniprot Product Information
Customer Reviews
Loading reviews...
Share Your Experience
Similar Products
Product Notes
The FOXA2 foxa2 (Catalog #AAA288970) is an Antibody produced from Rabbit and is intended for research purposes only. The product is available for immediate purchase. The immunogen sequence is 128-157. The FOXA2 Antibody (Center) reacts with Human (Predicted Reactivity: Mouse, Rat) and may cross-react with other species as described in the data sheet. AAA Biotech's FOXA2 can be used in a range of immunoassay formats including, but not limited to, IHC (Immunohistochemistry), WB (Western Blot), ELISA, IF (Immunofluorescence). Researchers should empirically determine the suitability of the FOXA2 foxa2 for an application not listed in the data sheet. Researchers commonly develop new applications and it is an integral, important part of the investigative research process. It is sometimes possible for the material contained within the vial of "FOXA2, Polyclonal Antibody" to become dispersed throughout the inside of the vial, particularly around the seal of said vial, during shipment and storage. We always suggest centrifuging these vials to consolidate all of the liquid away from the lid and to the bottom of the vial prior to opening. Please be advised that certain products may require dry ice for shipping and that, if this is the case, an additional dry ice fee may also be required.Precautions
All products in the AAA Biotech catalog are strictly for research-use only, and are absolutely not suitable for use in any sort of medical, therapeutic, prophylactic, in-vivo, or diagnostic capacity. By purchasing a product from AAA Biotech, you are explicitly certifying that said products will be properly tested and used in line with industry standard. AAA Biotech and its authorized distribution partners reserve the right to refuse to fulfill any order if we have any indication that a purchaser may be intending to use a product outside of our accepted criteria.Disclaimer
Though we do strive to guarantee the information represented in this datasheet, AAA Biotech cannot be held responsible for any oversights or imprecisions. AAA Biotech reserves the right to adjust any aspect of this datasheet at any time and without notice. It is the responsibility of the customer to inform AAA Biotech of any product performance issues observed or experienced within 30 days of receipt of said product. To see additional details on this or any of our other policies, please see our Terms & Conditions page.Item has been added to Shopping Cart
If you are ready to order, navigate to Shopping Cart and get ready to checkout.
