Rabbit GRK2 Polyclonal Antibody | anti-GRK2 antibody
Phospho-GRK2(Ser29) Antibody
Phosphate buffered saline, pH 7.4, 150mM NaCl, 0.02% sodium azide and 50% glycerol.
WB (Western Blot)
(Western blot analysis of extracts of Ramos cells, using Phospho-GRK2(Ser29) Antibody.)
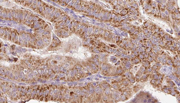
IHC (Immunohistochemistry)
(AAA321293 at 1/100 staining Human thyroid cancer tissue by IHC-P. The sample was formaldehyde fixed and a heat mediated antigen retrieval step in citrate buffer was performed. The sample was then blocked and incubated with the antibody for 1.5 hours at 22 degree C. An HRP conjugated goat anti-rabbit antibody was used as the secondary.)
Subunit Structure: Interacts with GIT1 (By similarity). Interacts with, and phosphorylates chemokine-stimulated CCR5 (PubMed:10085131). Interacts with ARRB1 (PubMed:9501202). Interacts with LPAR1 and LPAR2 (PubMed:19306925). Interacts with RALA in response to LPAR1 activation (PubMed:19306925). ADRBK1 and RALA mutually inhibit each other's binding to LPAR1 (PubMed:19306925). Interacts with ADRB2 (PubMed:19715378).
Similarity: The PH domain binds anionic phospholipids and helps recruiting ADRBK1 from the cytoplasm to plasma membrane close to activated receptors. It mediates binding to G protein beta and gamma subunits, competing with G-alpha subunits and other G-betagamma effectors. Belongs to the protein kinase superfamily. AGC Ser/Thr protein kinase family. GPRK subfamily.
NCBI and Uniprot Product Information
Predicted: 80 kDa
Customer Reviews
Loading reviews...
Share Your Experience
Similar Products
Product Notes
The GRK2 grk2 (Catalog #AAA321293) is an Antibody produced from Rabbit and is intended for research purposes only. The product is available for immediate purchase. The Phospho-GRK2(Ser29) Antibody reacts with Human, Mouse, Rat and may cross-react with other species as described in the data sheet. AAA Biotech's GRK2 can be used in a range of immunoassay formats including, but not limited to, IHC (Immunohistochemistry), WB (Western Blot). Researchers should empirically determine the suitability of the GRK2 grk2 for an application not listed in the data sheet. Researchers commonly develop new applications and it is an integral, important part of the investigative research process. It is sometimes possible for the material contained within the vial of "GRK2, Polyclonal Antibody" to become dispersed throughout the inside of the vial, particularly around the seal of said vial, during shipment and storage. We always suggest centrifuging these vials to consolidate all of the liquid away from the lid and to the bottom of the vial prior to opening. Please be advised that certain products may require dry ice for shipping and that, if this is the case, an additional dry ice fee may also be required.Precautions
All products in the AAA Biotech catalog are strictly for research-use only, and are absolutely not suitable for use in any sort of medical, therapeutic, prophylactic, in-vivo, or diagnostic capacity. By purchasing a product from AAA Biotech, you are explicitly certifying that said products will be properly tested and used in line with industry standard. AAA Biotech and its authorized distribution partners reserve the right to refuse to fulfill any order if we have any indication that a purchaser may be intending to use a product outside of our accepted criteria.Disclaimer
Though we do strive to guarantee the information represented in this datasheet, AAA Biotech cannot be held responsible for any oversights or imprecisions. AAA Biotech reserves the right to adjust any aspect of this datasheet at any time and without notice. It is the responsibility of the customer to inform AAA Biotech of any product performance issues observed or experienced within 30 days of receipt of said product. To see additional details on this or any of our other policies, please see our Terms & Conditions page.Item has been added to Shopping Cart
If you are ready to order, navigate to Shopping Cart and get ready to checkout.
