Rabbit Heat shock protein beta-1 Polyclonal Antibody | anti-HSPB1 antibody
Anti-Hsp27 Antibody
Each vial contains 5mg BSA, 0.9mg NaCl, 0.2mg Na2HPO4, 0.05mg NaN3.
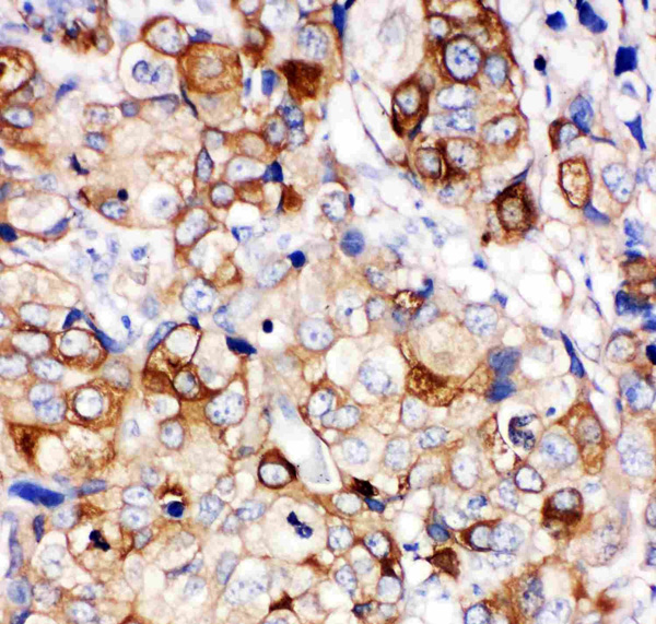
IHC (Immunohistochemistry)
(Anti- HSP27 antibody, AAA46032, IHC(P)IHC(P): Human Mammary Cancer Tissue)
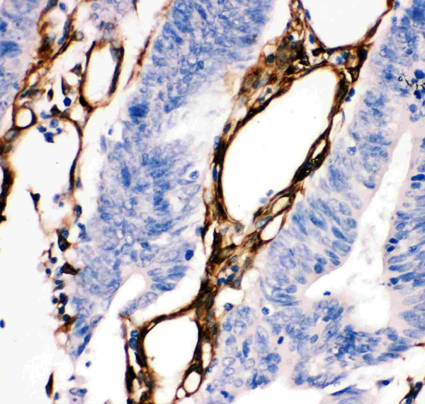
IHC (Immunohistochemisry)
(Anti- HSP27 antibody, AAA46032, IHC(P)IHC(P): Human Intestinal Cancer Tissue)
WB (Western Blot)
(Anti- HSP27 antibody, AAA46032, Western blottingAll lanes: Anti HSP27 (AAA46032) at 0.5ug/mlLane 1: NRK Whole Cell Lysate at 40ugLane 2: HELA Whole Cell Lysate at 40ugLane 3: A549 Whole Cell Lysate at 40ugLane 4: COLO320 Whole Cell Lysate at 40ugLane 5: HEPG2 Whole Cell Lysate at 40ugPredicted bind size: 23KDObserved bind size: 23KD)
WB (Western Blot)
(Anti- HSP27 antibody, AAA46032, Western blottingAll lanes: Anti HSP27 (AAA46032) at 0.5ug/mlWB: Recombinant Human HSP27 Protein 0.5ngPredicted bind size: 19KDObserved bind size: 19KD)
Background: HSPB1(Heat shock 27kDa protein 1), also known as HSP27, is a protein that in humans is encoded by the HSPB1 gene. HSP27 gene is mapped to 7q11.23. The protein encoded by this gene is induced by environmental stress and developmental changes. The encoded protein is involved in stress resistance and actin organization and translocates from the cytoplasm to the nucleus upon stress induction. Defects in this gene are a cause of Charcot-Marie-Tooth disease type 2F (CMT2F) and distal hereditary motor neuropathy (dHMN).
NCBI and Uniprot Product Information
Customer Reviews
Loading reviews...
Share Your Experience
Similar Products
Product Notes
The HSPB1 hspb1 (Catalog #AAA46032) is an Antibody produced from Rabbit and is intended for research purposes only. The product is available for immediate purchase. The Anti-Hsp27 Antibody reacts with Human. No cross reactivity with other proteins. and may cross-react with other species as described in the data sheet. AAA Biotech's Heat shock protein beta-1 can be used in a range of immunoassay formats including, but not limited to, IHC (Immunohistochemistry), IHC (Immunohistochemistry), WB (Western Blot). Researchers should empirically determine the suitability of the HSPB1 hspb1 for an application not listed in the data sheet. Researchers commonly develop new applications and it is an integral, important part of the investigative research process. It is sometimes possible for the material contained within the vial of "Heat shock protein beta-1, Polyclonal Antibody" to become dispersed throughout the inside of the vial, particularly around the seal of said vial, during shipment and storage. We always suggest centrifuging these vials to consolidate all of the liquid away from the lid and to the bottom of the vial prior to opening. Please be advised that certain products may require dry ice for shipping and that, if this is the case, an additional dry ice fee may also be required.Precautions
All products in the AAA Biotech catalog are strictly for research-use only, and are absolutely not suitable for use in any sort of medical, therapeutic, prophylactic, in-vivo, or diagnostic capacity. By purchasing a product from AAA Biotech, you are explicitly certifying that said products will be properly tested and used in line with industry standard. AAA Biotech and its authorized distribution partners reserve the right to refuse to fulfill any order if we have any indication that a purchaser may be intending to use a product outside of our accepted criteria.Disclaimer
Though we do strive to guarantee the information represented in this datasheet, AAA Biotech cannot be held responsible for any oversights or imprecisions. AAA Biotech reserves the right to adjust any aspect of this datasheet at any time and without notice. It is the responsibility of the customer to inform AAA Biotech of any product performance issues observed or experienced within 30 days of receipt of said product. To see additional details on this or any of our other policies, please see our Terms & Conditions page.Item has been added to Shopping Cart
If you are ready to order, navigate to Shopping Cart and get ready to checkout.
