Hsp60 Polyclonal Antibody | anti-Hsp60 antibody
Anti-Hsp60 Antibody
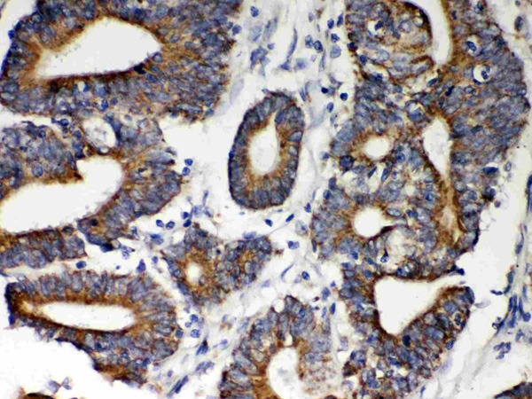
IHC (Immunohistochemistry)
(Anti- Hsp60 Picoband antibody, AAA46392, IHC(P)IHC(P): Human Intestinal Cancer Tissue)
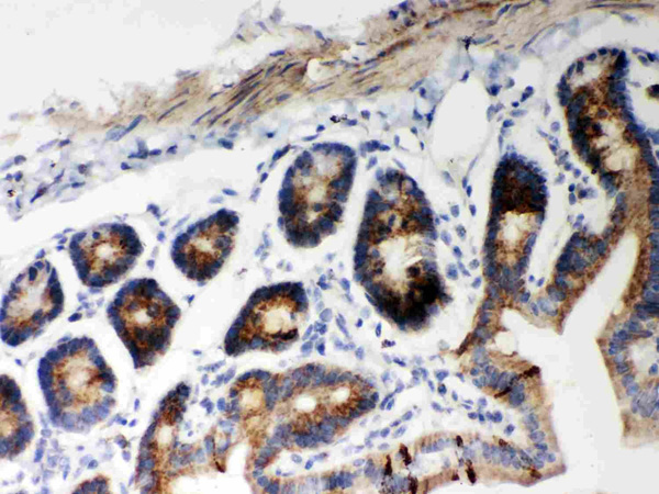
IHC (Immunohistochemisry)
(Anti- Hsp60 Picoband antibody, AAA46392, IHC(P)IHC(P): Rat Intestine Tissue)
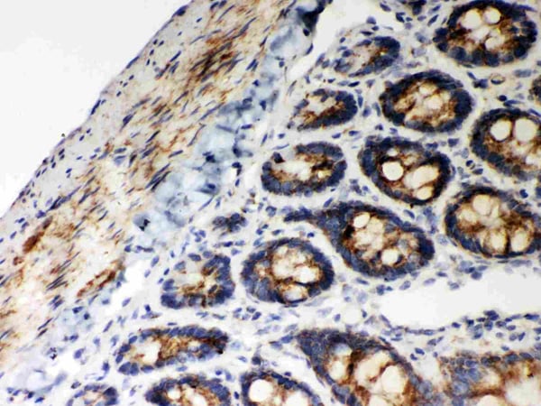
IHC (Immunohiostchemistry)
(Anti- Hsp60 Picoband antibody, AAA46392, IHC(P)IHC(P): Mouse Intestine Tissue)
WB (Western Blot)
(Anti- Hsp60 Picoband antibody, AAA46392, Western blottingAll lanes: Anti Hsp60 (AAA46392) at 0.5ug/mlLane 1: Rat Kidney Tissue Lysate at 50ugLane 2: Mouse Kidney Tissue Lysate at 50ugLane 3: HEPA Whole Cell Lysate at 40ugLane 4: NRK Whole Cell Lysate at 40ugLane 5: PC-12 Whole Cell Lysate at 40ugLane 6: SW620 Whole Cell Lysate at 40ugLane 7: A549 Whole Cell Lysate at 40ugLane 8: A431 Whole Cell Lysate at 40ugLane 9: HELA Whole Cell Lysate at 40ugPredicted bind size: 60KDObserved bind size: 60KD)
Background: HSP60 is a member of the chaperonin class of protein factors, which include the Escherichia coli groEL protein and the Rubisco subunit-binding protein of chloroplasts. It acts as a costimulator of human regulatory CD4-positive/CD25 -positive T cells, which inhibit lymphoproliferation and IFNG and TNF secretion by CD4-positive and CD8-positive T cells. HSP60 enhances Treg activity via TLR2, leading to activation of an intracellular signaling cascade that included p38, as well as inhibition of ERK phosphorylation. Suppression of target T cells is mediated by both cell-to-cell contact and by secretion of TGFB and IL10, and it leads to downregulation of ERK, NFKB, and TBET expression. The self-molecule HSP60 can downregulate adaptive immune responses by upregulating Tregs through TLR2 signaling.
NCBI and Uniprot Product Information
Customer Reviews
Loading reviews...
Share Your Experience
Similar Products
Product Notes
The Hsp60 hspd1 (Catalog #AAA46392) is an Antibody and is intended for research purposes only. The product is available for immediate purchase. The Anti-Hsp60 Antibody reacts with Human, Mouse, Rat and may cross-react with other species as described in the data sheet. AAA Biotech's Hsp60 can be used in a range of immunoassay formats including, but not limited to, ICC (Immunocytochemistry), IHC (Immunohistochemistry), WB (Western Blot). Researchers should empirically determine the suitability of the Hsp60 hspd1 for an application not listed in the data sheet. Researchers commonly develop new applications and it is an integral, important part of the investigative research process. It is sometimes possible for the material contained within the vial of "Hsp60, Polyclonal Antibody" to become dispersed throughout the inside of the vial, particularly around the seal of said vial, during shipment and storage. We always suggest centrifuging these vials to consolidate all of the liquid away from the lid and to the bottom of the vial prior to opening. Please be advised that certain products may require dry ice for shipping and that, if this is the case, an additional dry ice fee may also be required.Precautions
All products in the AAA Biotech catalog are strictly for research-use only, and are absolutely not suitable for use in any sort of medical, therapeutic, prophylactic, in-vivo, or diagnostic capacity. By purchasing a product from AAA Biotech, you are explicitly certifying that said products will be properly tested and used in line with industry standard. AAA Biotech and its authorized distribution partners reserve the right to refuse to fulfill any order if we have any indication that a purchaser may be intending to use a product outside of our accepted criteria.Disclaimer
Though we do strive to guarantee the information represented in this datasheet, AAA Biotech cannot be held responsible for any oversights or imprecisions. AAA Biotech reserves the right to adjust any aspect of this datasheet at any time and without notice. It is the responsibility of the customer to inform AAA Biotech of any product performance issues observed or experienced within 30 days of receipt of said product. To see additional details on this or any of our other policies, please see our Terms & Conditions page.Item has been added to Shopping Cart
If you are ready to order, navigate to Shopping Cart and get ready to checkout.
