ICOS / CD278 Polyclonal Antibody | anti-ICOS / CD278 antibody
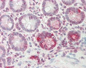
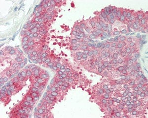
Anti-ICOS / CD278 Antibody IHC-plus
Gene Names
ICOS; AILIM; CD278; CVID1
Reactivity
Mouse, Rat, Human
Applications
Western Blot, Immunofluorescence, Immunohistochemistry
Purity
Affinity purified
Synonyms
ICOS / CD278, Antibody; Anti-ICOS / CD278 Antibody IHC-plus; Rabbit Polyclonal (IgG) to Human ICOS / CD278; Human ICOS / CD278; ICOS; AILIM; CVID1; Inducible costimulator; Inducible T-cell co-stimulator; CD278 antigen; Inducible T-cell costimulator; anti-ICOS / CD278 antibody
Host
ICOS/CD278 antibody was produced in Rabbit.
Reactivity
Mouse, Rat, Human
Clonality
Polyclonal
Isotype
IgG
Specificity
Human ICOS
Purity/Purification
Affinity purified
Form/Format
PBS, pH 7.3, 0.02% sodium azide, 50% glycerol.
Concentration
1 mg/ml (varies by lot)
Sequence Length
199
Applicable Applications for anti-ICOS / CD278 antibody
WB (Western Blot), IF (Immunofluorescence), IHC (Immunohistochemistry)
Immunogen Species
ICOS / CD278 antibody was raised against Human
Immunogen
ICOS/CD278 antibody was raised against recombinant protein of human ICOS.
Antigen Type
Recombinant protein
Target Species
ICOS/CD278
Disclaimer
Due to the highly specific nature of antibodies and antigens, we cannot predict or be held responsible with respect to how this antibody will behave in your systems. Researchers using this antibody should conduct optimization studies to achieve the most optimal result possible for their intended application.
Recommended Immunohistochemistry Protocol
The following protocol is a recommendation only, and AAA Biotech makes no guarantee of the results:
Tissue Preparation:
Formalin fixation and embedding in paraffin wax.
Tissue Sectioning:
Make 4-um sections and place on pre-cleaned and charged microscope slides. Heat in a tissue-dryingoven for 45 minutes at 60°C.
Deparaffinization:
Wash dry slides in 3 changes of xylene - 5 minutes each @ RT
Rehydration:
Wash slides in 3 changes of 100% alcohol - 3 minutes each @ RT
Wash slides in 2 changes of 95% alcohol - 3 minutes each @ RT
Wash slides in 1 change of 80% alcohol - 3 minutes @ RT
Rinse slides in gentle running distilled water - 5 minutes @ RT
Antigen retrieval:
Steam slides in 0.01 M sodium citrate buffer, pH 6.0 at 99-100°C - 20 minutes
Remove from heat and let stand at room temperature in buffer - 20 minutes
Rinse in 1X TBS with Tween (TBST) -1 minute @ RT
Immunostaining:
(Do not allow tissues to dry at any time during the staining procedure)
Apply a universal protein block - 20 minutes @ RT
Drain protein block from slides, apply diluted primary antibody - 45 minutes @ RT
Rinse slides in 1 X TBST - 1 minute @ RT
Apply a biotinylated secondary antibody appropriate for the primary antibody - 30 minutes @ RT
Rinse slides in 1X TBST -1 minute @ RT
Apply alkaline phosphatase streptavidin - 30 minutes @ RT
Rinse slides in 1X TBST -1 minute @ RT
Apply alkaline phosphatase chromogen substrate - 30 minutes @ RT
Wash slides in distilled water - 1 minute @ RT
Dehydrate:
(This method should only be used if the chromogen substrate is alcohol insoluble (e.g. Vector Red, DAB)
Wash slides in 2 changes of 80% alcohol - 1 minute each @ RT
Wash slides in 2 changes of 95% alcohol - 1 minute each @ RT
Wash slides in 3 changes of 100% alcohol - 1 minute each @ RT
Wash slides in 3 changes of xylene - 1 minute each @ RT
Apply coverslip
Tissue Preparation:
Formalin fixation and embedding in paraffin wax.
Tissue Sectioning:
Make 4-um sections and place on pre-cleaned and charged microscope slides. Heat in a tissue-dryingoven for 45 minutes at 60°C.
Deparaffinization:
Wash dry slides in 3 changes of xylene - 5 minutes each @ RT
Rehydration:
Wash slides in 3 changes of 100% alcohol - 3 minutes each @ RT
Wash slides in 2 changes of 95% alcohol - 3 minutes each @ RT
Wash slides in 1 change of 80% alcohol - 3 minutes @ RT
Rinse slides in gentle running distilled water - 5 minutes @ RT
Antigen retrieval:
Steam slides in 0.01 M sodium citrate buffer, pH 6.0 at 99-100°C - 20 minutes
Remove from heat and let stand at room temperature in buffer - 20 minutes
Rinse in 1X TBS with Tween (TBST) -1 minute @ RT
Immunostaining:
(Do not allow tissues to dry at any time during the staining procedure)
Apply a universal protein block - 20 minutes @ RT
Drain protein block from slides, apply diluted primary antibody - 45 minutes @ RT
Rinse slides in 1 X TBST - 1 minute @ RT
Apply a biotinylated secondary antibody appropriate for the primary antibody - 30 minutes @ RT
Rinse slides in 1X TBST -1 minute @ RT
Apply alkaline phosphatase streptavidin - 30 minutes @ RT
Rinse slides in 1X TBST -1 minute @ RT
Apply alkaline phosphatase chromogen substrate - 30 minutes @ RT
Wash slides in distilled water - 1 minute @ RT
Dehydrate:
(This method should only be used if the chromogen substrate is alcohol insoluble (e.g. Vector Red, DAB)
Wash slides in 2 changes of 80% alcohol - 1 minute each @ RT
Wash slides in 2 changes of 95% alcohol - 1 minute each @ RT
Wash slides in 3 changes of 100% alcohol - 1 minute each @ RT
Wash slides in 3 changes of xylene - 1 minute each @ RT
Apply coverslip
Note
During shipment,small volumes of product will ocassionally become entrapped in the seal of the product vial. We recommend briefly centrifuging the vial to dislodge any liquid in the container's cap prior to opening.
Warning
This reagent may contain sodium azide. The chemical, physical, and toxicologial properties of this material have not been thoughly investigated.Standard Laboratory Practices should be followed. Avoid skin and eye contact,inhalation, and ingestion. Sodium azide forms hydrazoic acid under acidic conditions and may react with lead or copper plubing to form highly explosive metal azides. On disposal, flush with large volumes of water to prevent accumulation.
Preparation and Storage
Store at -20°C. Avoid freeze/thaw cycles.
IF (Immunofluorescence)
(Immunofluorescence analysis of MCF7 cell using ICOS antibody. Blue: DAPI for nuclear staining.)
Related Product Information for anti-ICOS / CD278 antibody
ICOS Antibody, AILIM Antibody, CD278 Antibody, CVID1 Antibody, Inducible costimulator Antibody, Inducible T-cell co-stimulator Antibody, CD278 antigen Antibody, Inducible T-cell costimulator Antibody Description: Enhances all basic T-cell responses to a foreign antigen, namely proliferation, secretion of lymphokines, up-regulation of molecules that mediate cell-cell interaction, and effective help for antibody secretion by B-cells. Essential both for efficient interaction between T and B-cells and for normal antibody responses to T-cell dependent antigens. Does not up-regulate the production of interleukin-2, but superinduces the synthesis of interleukin-10.
NCBI and Uniprot Product Information
NCBI GI #
NCBI GeneID
NCBI Official Full Name
Inducible T-cell costimulator
NCBI Official Synonym Full Names
inducible T-cell co-stimulator
NCBI Official Symbol
ICOS
NCBI Official Synonym Symbols
AILIM; CD278; CVID1
NCBI Protein Information
inducible T-cell costimulator
UniProt Protein Name
Inducible T-cell costimulator
UniProt Gene Name
ICOS
UniProt Synonym Gene Names
AILIM
UniProt Entry Name
ICOS_HUMAN
Customer Reviews
Loading reviews...
Share Your Experience
Similar Products
Product Notes
The ICOS / CD278 icos (Catalog #AAA52651) is an Antibody produced from ICOS/CD278 antibody was produced in Rabbit. and is intended for research purposes only. The product is available for immediate purchase. The Anti-ICOS / CD278 Antibody IHC-plus reacts with Mouse, Rat, Human and may cross-react with other species as described in the data sheet. AAA Biotech's ICOS / CD278 can be used in a range of immunoassay formats including, but not limited to, WB (Western Blot), IF (Immunofluorescence), IHC (Immunohistochemistry). Researchers should empirically determine the suitability of the ICOS / CD278 icos for an application not listed in the data sheet. Researchers commonly develop new applications and it is an integral, important part of the investigative research process. It is sometimes possible for the material contained within the vial of "ICOS / CD278, Polyclonal Antibody" to become dispersed throughout the inside of the vial, particularly around the seal of said vial, during shipment and storage. We always suggest centrifuging these vials to consolidate all of the liquid away from the lid and to the bottom of the vial prior to opening. Please be advised that certain products may require dry ice for shipping and that, if this is the case, an additional dry ice fee may also be required.Precautions
All products in the AAA Biotech catalog are strictly for research-use only, and are absolutely not suitable for use in any sort of medical, therapeutic, prophylactic, in-vivo, or diagnostic capacity. By purchasing a product from AAA Biotech, you are explicitly certifying that said products will be properly tested and used in line with industry standard. AAA Biotech and its authorized distribution partners reserve the right to refuse to fulfill any order if we have any indication that a purchaser may be intending to use a product outside of our accepted criteria.Disclaimer
Though we do strive to guarantee the information represented in this datasheet, AAA Biotech cannot be held responsible for any oversights or imprecisions. AAA Biotech reserves the right to adjust any aspect of this datasheet at any time and without notice. It is the responsibility of the customer to inform AAA Biotech of any product performance issues observed or experienced within 30 days of receipt of said product. To see additional details on this or any of our other policies, please see our Terms & Conditions page.Item has been added to Shopping Cart
If you are ready to order, navigate to Shopping Cart and get ready to checkout.
