IRF5 Polyclonal Antibody | anti-IRF5 antibody
Anti-IRF5 Antibody
IHC (Immunohistochemistry)
(Anti- IRF5 Picoband antibody, AAA46291, IHC(P)IHC(P): Human Mammary Cancer Tissue)
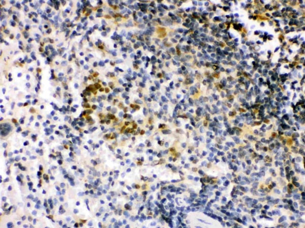
IHC (Immunohiostchemistry)
(Anti- IRF5 Picoband antibody, AAA46291, IHC(P)IHC(P): Mouse Spleen Tissue)
WB (Western Blot)
(Anti- IRF5 Picoband antibody, AAA46291, Western blottingAll lanes: Anti IRF5 (AAA46291) at 0.5ug/mlLane 1: Rat Intestine Tissue Lysate at 50ugLane 2: HELA Whole Cell Lysate at 40ugLane 3: COLO320 Whole Cell Lysate at 40ugLane 4: NIH3T3 Whole Cell Lysate at 40ugLane 5: HEPA Whole Cell Lysate at 40ugPredicted bind size: 56KDObserved bind size: 56KD)
Background: Interferon regulatory factor 5, also called IRF5 or SLEB10, is a protein that in humans is encoded by the IRF5 gene. IRF5 gene is mapped to 7q32.1. This gene encodes a member of the interferon regulatory factor (IRF) family, a group of transcription factors with diverse roles, including virus-mediated activation of interferon, and modulation of cell growth, differentiation, apoptosis, and immune system activity. Members of the IRF family are characterized by a conserved N-terminal DNA-binding domain containing tryptophan (W) repeats. Multiple transcript variants encoding different isoforms have been found for this gene, and a 30-nt indel polymorphism (SNP rs60344245) can result in loss of a 10-aa segment. This gene is a transcription factor involved in the induction of interferons IFNA and INFB and inflammatory cytokines upon virus infection.
NCBI and Uniprot Product Information
Customer Reviews
Loading reviews...
Share Your Experience
Similar Products
Product Notes
The IRF5 irf5 (Catalog #AAA46291) is an Antibody and is intended for research purposes only. The product is available for immediate purchase. The Anti-IRF5 Antibody reacts with Human, Mouse, Rat and may cross-react with other species as described in the data sheet. AAA Biotech's IRF5 can be used in a range of immunoassay formats including, but not limited to, IHC (Immunohistochemistry), WB (Western Blot). Researchers should empirically determine the suitability of the IRF5 irf5 for an application not listed in the data sheet. Researchers commonly develop new applications and it is an integral, important part of the investigative research process. It is sometimes possible for the material contained within the vial of "IRF5, Polyclonal Antibody" to become dispersed throughout the inside of the vial, particularly around the seal of said vial, during shipment and storage. We always suggest centrifuging these vials to consolidate all of the liquid away from the lid and to the bottom of the vial prior to opening. Please be advised that certain products may require dry ice for shipping and that, if this is the case, an additional dry ice fee may also be required.Precautions
All products in the AAA Biotech catalog are strictly for research-use only, and are absolutely not suitable for use in any sort of medical, therapeutic, prophylactic, in-vivo, or diagnostic capacity. By purchasing a product from AAA Biotech, you are explicitly certifying that said products will be properly tested and used in line with industry standard. AAA Biotech and its authorized distribution partners reserve the right to refuse to fulfill any order if we have any indication that a purchaser may be intending to use a product outside of our accepted criteria.Disclaimer
Though we do strive to guarantee the information represented in this datasheet, AAA Biotech cannot be held responsible for any oversights or imprecisions. AAA Biotech reserves the right to adjust any aspect of this datasheet at any time and without notice. It is the responsibility of the customer to inform AAA Biotech of any product performance issues observed or experienced within 30 days of receipt of said product. To see additional details on this or any of our other policies, please see our Terms & Conditions page.Item has been added to Shopping Cart
If you are ready to order, navigate to Shopping Cart and get ready to checkout.
