Rabbit ITGAL Polyclonal Antibody | anti-ITGAL antibody
ITGAL Polyclonal Antibody
Gene Names
ITGAL; CD11A; LFA-1; LFA1A
Reactivity
Human, Mouse, Rat
Applications
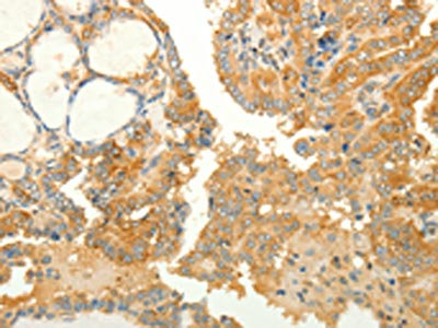
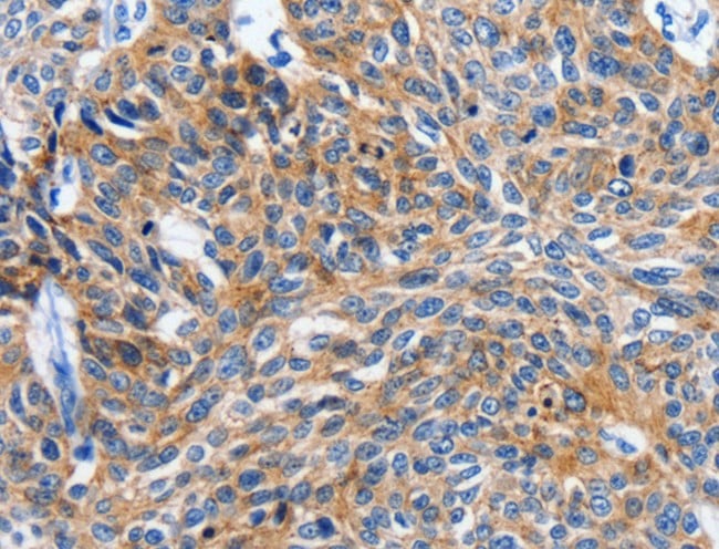
Immunohistochemistry, ELISA
Purity
Antigen affinity purification
Synonyms
ITGAL, Antibody; ITGAL Polyclonal Antibody; CD11A, LFA-1, LFA1A; anti-ITGAL antibody
Host
Rabbit
Reactivity
Human, Mouse, Rat
Clonality
Polyclonal
Isotype
IgG
Purity/Purification
Antigen affinity purification
Concentration
0.8mg/mL (varies by lot)
Sequence Length
1086
Applicable Applications for anti-ITGAL antibody
IHC (Immunohistochemistry), ELISA
Immunogen
Synthetic peptide of human ITGAL
Buffer
PBS with 0.05% sodium azide, 50% glycerol, pH7.3
Preparation and Storage
Store at -20 degree C (regular) and -80 degree C (long term). Avoid freeze / thaw cycles.
Related Product Information for anti-ITGAL antibody
ITGAL encodes the integrin alpha L chain. Integrins are heterodimeric integral membrane proteins composed of an alpha chain and a beta chain. This I-domain containing alpha integrin combines with the beta 2 chain (ITGB2) to form the integrin lymphocyte function-associated antigen-1 (LFA-1), which is expressed on all leukocytes. LFA-1 plays a central role in leukocyte intercellular adhesion through interactions with its ligands, ICAMs 1-3 (intercellular adhesion molecules 1 through 3), and also functions in lymphocyte costimulatory signaling. Two transcript variants encoding different isoforms have been found for this gene.
Product Categories/Family for anti-ITGAL antibody
NCBI and Uniprot Product Information
NCBI GI #
NCBI GeneID
NCBI Accession #
NCBI GenBank Nucleotide #
Molecular Weight
119,224 Da
NCBI Official Full Name
integrin alpha-L isoform b
NCBI Official Synonym Full Names
integrin, alpha L (antigen CD11A (p180), lymphocyte function-associated antigen 1; alpha polypeptide)
NCBI Official Symbol
ITGAL
NCBI Official Synonym Symbols
CD11A; LFA-1; LFA1A
NCBI Protein Information
integrin alpha-L; CD11 antigen-like family member A; LFA-1 alpha; LFA-1A; antigen CD11A (p180), lymphocyte function-associated antigen 1, alpha polypeptide; integrin gene promoter; leukocyte adhesion glycoprotein LFA-1 alpha chain; leukocyte function-associated molecule 1 alpha chain
UniProt Protein Name
Integrin alpha-L
UniProt Gene Name
ITGAL
UniProt Synonym Gene Names
CD11A; LFA-1A
UniProt Entry Name
ITAL_HUMAN
Customer Reviews
Loading reviews...
Share Your Experience
Similar Products
Product Notes
The ITGAL itgal (Catalog #AAA168260) is an Antibody produced from Rabbit and is intended for research purposes only. The product is available for immediate purchase. The ITGAL Polyclonal Antibody reacts with Human, Mouse, Rat and may cross-react with other species as described in the data sheet. AAA Biotech's ITGAL can be used in a range of immunoassay formats including, but not limited to, IHC (Immunohistochemistry), ELISA. Researchers should empirically determine the suitability of the ITGAL itgal for an application not listed in the data sheet. Researchers commonly develop new applications and it is an integral, important part of the investigative research process. It is sometimes possible for the material contained within the vial of "ITGAL, Polyclonal Antibody" to become dispersed throughout the inside of the vial, particularly around the seal of said vial, during shipment and storage. We always suggest centrifuging these vials to consolidate all of the liquid away from the lid and to the bottom of the vial prior to opening. Please be advised that certain products may require dry ice for shipping and that, if this is the case, an additional dry ice fee may also be required.Precautions
All products in the AAA Biotech catalog are strictly for research-use only, and are absolutely not suitable for use in any sort of medical, therapeutic, prophylactic, in-vivo, or diagnostic capacity. By purchasing a product from AAA Biotech, you are explicitly certifying that said products will be properly tested and used in line with industry standard. AAA Biotech and its authorized distribution partners reserve the right to refuse to fulfill any order if we have any indication that a purchaser may be intending to use a product outside of our accepted criteria.Disclaimer
Though we do strive to guarantee the information represented in this datasheet, AAA Biotech cannot be held responsible for any oversights or imprecisions. AAA Biotech reserves the right to adjust any aspect of this datasheet at any time and without notice. It is the responsibility of the customer to inform AAA Biotech of any product performance issues observed or experienced within 30 days of receipt of said product. To see additional details on this or any of our other policies, please see our Terms & Conditions page.Item has been added to Shopping Cart
If you are ready to order, navigate to Shopping Cart and get ready to checkout.
