Rabbit ITGAL Polyclonal Antibody | anti-ITGAL antibody
ITGAL Antibody
Phosphate buffered saline, pH 7.4, 150mM NaCl, 0.02% sodium azide and 50% glycerol.
WB (Western Blot)
(Western blot analysis of Hepg2 whole cell lysates, using ITGAL Antibody. The lane on the left is treated with the antigen-specific peptide.)
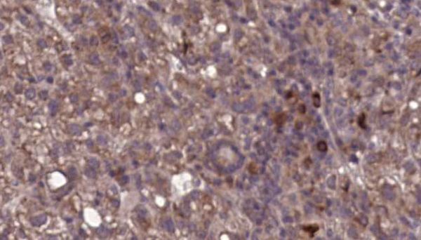
IHC (Immunohistochemistry)
(AAA326292 at 1/100 staining Human liver cancer tissue by IHC-P. The sample was formaldehyde fixed and a heat mediated antigen retrieval step in citrate buffer was performed. The sample was then blocked and incubated with the antibody for 1.5 hours at 22 degree C. An HRP conjugated goat anti-rabbit antibody was used as the secondary.)
Function: Integrin alpha-L/beta-2 is a receptor for ICAM1, ICAM2, ICAM3 and ICAM4. Integrin alpha-L/beta-2 is also a receptor for F11R (PubMed:11812992, PubMed:15528364). Involved in a variety of immune phenomena including leukocyte-endothelial cell interaction, cytotoxic T-cell mediated killing, and antibody dependent killing by granulocytes and monocytes. Contributes to natural killer cell cytotoxicity (PubMed:15356110). Involved in leukocyte adhesion and transmigration of leukocytes including T-cells and neutrophils (PubMed:11812992). Required for generation of common lymphoid progenitor cells in bone marrow, indicating a role in lymphopoiesis (By similarity). Integrin alpha-L/beta-2 in association with ICAM3, contributes to apoptotic neutrophil phagocytosis by macrophages (PubMed:23775590).
Subunit Structure: Heterodimer of an alpha and a beta subunit (PubMed:12526797). Alpha-L associates with beta-2 (PubMed:12526797). Interacts with THBD (PubMed:27055590).
Post-translational Modifications: In resting T-cells, up to 40% of surface ITGAL is constitutively phosphorylated. Phosphorylation causes conformational changes needed for ligand binding and is necessary for activation by some physiological agents.
Similarity: The integrin I-domain (insert) is a VWFA domain (PubMed:2537322). Integrins with I-domains do not undergo protease cleavage. The I-domain is necessary and sufficient for interaction with ICAM1 and F11R (PubMed:15528364). Belongs to the integrin alpha chain family.
NCBI and Uniprot Product Information
Predicted: 129 kDa
Customer Reviews
Loading reviews...
Share Your Experience
Similar Products
Product Notes
The ITGAL itgal (Catalog #AAA326292) is an Antibody produced from Rabbit and is intended for research purposes only. The product is available for immediate purchase. The ITGAL Antibody reacts with Human, Mouse, Rat and may cross-react with other species as described in the data sheet. AAA Biotech's ITGAL can be used in a range of immunoassay formats including, but not limited to, ELISA, IHC (Immunohistochemistry), WB (Western Blot). Researchers should empirically determine the suitability of the ITGAL itgal for an application not listed in the data sheet. Researchers commonly develop new applications and it is an integral, important part of the investigative research process. It is sometimes possible for the material contained within the vial of "ITGAL, Polyclonal Antibody" to become dispersed throughout the inside of the vial, particularly around the seal of said vial, during shipment and storage. We always suggest centrifuging these vials to consolidate all of the liquid away from the lid and to the bottom of the vial prior to opening. Please be advised that certain products may require dry ice for shipping and that, if this is the case, an additional dry ice fee may also be required.Precautions
All products in the AAA Biotech catalog are strictly for research-use only, and are absolutely not suitable for use in any sort of medical, therapeutic, prophylactic, in-vivo, or diagnostic capacity. By purchasing a product from AAA Biotech, you are explicitly certifying that said products will be properly tested and used in line with industry standard. AAA Biotech and its authorized distribution partners reserve the right to refuse to fulfill any order if we have any indication that a purchaser may be intending to use a product outside of our accepted criteria.Disclaimer
Though we do strive to guarantee the information represented in this datasheet, AAA Biotech cannot be held responsible for any oversights or imprecisions. AAA Biotech reserves the right to adjust any aspect of this datasheet at any time and without notice. It is the responsibility of the customer to inform AAA Biotech of any product performance issues observed or experienced within 30 days of receipt of said product. To see additional details on this or any of our other policies, please see our Terms & Conditions page.Item has been added to Shopping Cart
If you are ready to order, navigate to Shopping Cart and get ready to checkout.
