Rabbit KDM1A Polyclonal Antibody | anti-KDM1A antibody
KDM1A Antibody
Phosphate buffered saline, pH 7.4, 150mM NaCl, 0.02% sodium azide and 50% glycerol.
WB (Western Blot)
(Western blot analysis of extracts of PC12 lysate using KDM1A antibody. The lane on the left is treated with the antigen-specific peptide.)
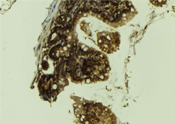
IHC (Immunohistochemistry)
(AAA326069 at 1/100 staining Mouse colon tissue by IHC-P. The sample was formaldehyde fixed and a heat mediated antigen retrieval step in citrate buffer was performed. The sample was then blocked and incubated with the antibody for 1.5 hours at 22 degree C. An HRP conjugated goat anti-rabbit antibody was used as the secondary.)
Function: Histone demethylase that demethylates both 'Lys-4' (H3K4me) and 'Lys-9' (H3K9me) of histone H3, thereby acting as a coactivator or a corepressor, depending on the context. Acts by oxidizing the substrate by FAD to generate the corresponding imine that is subsequently hydrolyzed. Acts as a corepressor by mediating demethylation of H3K4me, a specific tag for epigenetic transcriptional activation. Demethylates both mono-(H3K4me1) and di-methylated (H3K4me2) H3K4me. May play a role in the repression of neuronal genes. Alone, it is unable to demethylate H3K4me on nucleosomes and requires the presence of RCOR1/CoREST to achieve such activity. Also acts as a coactivator of androgen receptor (ANDR)-dependent transcription, by being recruited to ANDR target genes and mediating demethylation of H3K9me, a specific tag for epigenetic transcriptional repression. The presence of PRKCB in ANDR-containing complexes, which mediates phosphorylation of 'Thr-6' of histone H3 (H3T6ph), a specific tag that prevents demethylation H3K4me, prevents H3K4me demethylase activity of KDM1A. Demethylates di-methylated 'Lys-370' of p53/TP53 which prevents interaction of p53/TP53 with TP53BP1 and represses p53/TP53-mediated transcriptional activation. Demethylates and stabilizes the DNA methylase DNMT1. Required for gastrulation during embryogenesis. Component of a RCOR/GFI/KDM1A/HDAC complex that suppresses, via histone deacetylase (HDAC) recruitment, a number of genes implicated in multilineage blood cell development. Effector of SNAI1-mediated transcription repression of E-cadherin/CDH1, CDN7 and KRT8. Required for the maintenance of the silenced state of the SNAI1 target genes E-cadherin/CDH1 and CDN7.
Subunit Structure: Component of a RCOR/GFI/KDM1A/HDAC complex (PubMed:12032298, PubMed:11102443). Interacts directly with GFI1 and GFI1B. Interacts with INSM1 (By similarity). Component of a BHC histone deacetylase complex that contains HDAC1, HDAC2, HMG20B, KDM1A, RCOR1 and PHF21A. The BHC complex may also contain ZMYM2, ZNF217, ZMYM3, GSE1 and GTF2I (PubMed:12493763, PubMed:16140033, PubMed:16885027). In the complex, RCOR1/CoREST strongly enhances the demethylase activity and protects it from the proteasome while PHF21A/BHC80 inhibits the demethylase activity (PubMed:16079794, PubMed:16956976). Interacts with the androgen receptor (AR) (PubMed:16079795). Interacts with ASXL1 (PubMed:19880879). Interacts with SNAI1 (via SNAG domain) (PubMed:20562920). Interacts (via AOD/Tower domain) with JADE2 (via C-terminus) (PubMed:25018020). Interacts with ESRRB; co-occupes the core set of ESRRB targets (By similarity).
Post-translational Modifications: Polyubiquitinated by JADE2; which leads to its proteasomal degradation.
Similarity: The SWIRM domain may act as an anchor site for a histone tail. Belongs to the flavin monoamine oxidase family.
NCBI and Uniprot Product Information
Predicted: 93 kDa
Customer Reviews
Loading reviews...
Share Your Experience
Similar Products
Product Notes
The KDM1A kdm1a (Catalog #AAA326069) is an Antibody produced from Rabbit and is intended for research purposes only. The product is available for immediate purchase. The KDM1A Antibody reacts with Human, Mouse, Rat and may cross-react with other species as described in the data sheet. AAA Biotech's KDM1A can be used in a range of immunoassay formats including, but not limited to, ELISA, IHC (Immunohistochemistry), WB (Western Blot). Researchers should empirically determine the suitability of the KDM1A kdm1a for an application not listed in the data sheet. Researchers commonly develop new applications and it is an integral, important part of the investigative research process. It is sometimes possible for the material contained within the vial of "KDM1A, Polyclonal Antibody" to become dispersed throughout the inside of the vial, particularly around the seal of said vial, during shipment and storage. We always suggest centrifuging these vials to consolidate all of the liquid away from the lid and to the bottom of the vial prior to opening. Please be advised that certain products may require dry ice for shipping and that, if this is the case, an additional dry ice fee may also be required.Precautions
All products in the AAA Biotech catalog are strictly for research-use only, and are absolutely not suitable for use in any sort of medical, therapeutic, prophylactic, in-vivo, or diagnostic capacity. By purchasing a product from AAA Biotech, you are explicitly certifying that said products will be properly tested and used in line with industry standard. AAA Biotech and its authorized distribution partners reserve the right to refuse to fulfill any order if we have any indication that a purchaser may be intending to use a product outside of our accepted criteria.Disclaimer
Though we do strive to guarantee the information represented in this datasheet, AAA Biotech cannot be held responsible for any oversights or imprecisions. AAA Biotech reserves the right to adjust any aspect of this datasheet at any time and without notice. It is the responsibility of the customer to inform AAA Biotech of any product performance issues observed or experienced within 30 days of receipt of said product. To see additional details on this or any of our other policies, please see our Terms & Conditions page.Item has been added to Shopping Cart
If you are ready to order, navigate to Shopping Cart and get ready to checkout.
