Rabbit Keap1 Polyclonal Antibody | anti-KEAP1 antibody
Keap1 Antibody
Phosphate buffered saline, pH 7.4, 150mM NaCl, 0.02% sodium azide and 50% glycerol.
WB (Western Blot)
(Western blot analysis of Keap1 expression in NIH 3T3 lysate, The lane on the left is treated with the antigen-specific peptide.)
IF (Immunofluorescence)
(AAA321923 staining K-562 cells by IF/ICC. The sample were fixed with PFA and permeabilized in 0.1% Triton X-100, then blocked in 10% serum for 45 minutes at 25 degree C. The primary antibody was diluted at 1/200 and incubated with the sample for 1 hour at 37 degree C. An Alexa Fluor 594 conjugated goat anti-rabbit IgG (H+L) antibody, diluted at 1/600, was used as secondary antibody.)
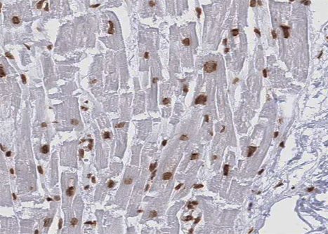
IHC (Immunohistochemistry)
(AAA321923 at 1/100 staining human Heart muscle tissue sections by IHC-P. The tissue was formaldehyde fixed and a heat mediated antigen retrieval step in citrate buffer was performed. The tissue was then blocked and incubated with the antibody for 1.5 hours at 22 degree C. An HRP conjugated goat anti-rabbit antibody was used as the secondary.)
Function: Acts as a substrate adapter protein for the E3 ubiquitin ligase complex formed by CUL3 and RBX1 and targets NFE2L2/NRF2 for ubiquitination and degradation by the proteasome, thus resulting in the suppression of its transcriptional activity and the repression of antioxidant response element-mediated detoxifying enzyme gene expression. Retains NFE2L2/NRF2 and may also retain BPTF in the cytosol. Targets PGAM5 for ubiquitination and degradation by the proteasome.
Subunit Structure: Homodimer. Forms a ternary complex with NFE2L2 and PGAM5. Interacts with the N-terminal regulatory domain of NFE2L2/NRF2. Interacts with BPTF and PTMA. Interacts with CUL3. Part of a complex that contains KEAP1, CUL3 and RBX1. Interacts with NFE2L1 and MAP1LC3B. Interacts indirectly with ENC1. Interacts with SESN1 and SESN2 (PubMed:23274085). Interacts with HSP90AA1 and HSP90AB1 (PubMed:26517842).
Post-translational Modifications: Ubiquitinated by the E3 ubiquitin ligase complex formed by CUL3 and RBX1 and is subject to proteasomal-independent degradation. Quinone-induced oxidative stress, but not sulforaphane, increases its ubiquitination. Ubiquitination and subsequent degradation is most pronounced following prolonged exposure of cells to oxidative stress, particularly in glutathione-deficient cells that are highly susceptible to oxidative stress.
Similarity: The Kelch repeats mediate interaction with NF2L2/NRF2, BPTF and PGAM5.
NCBI and Uniprot Product Information
Predicted: 70 kDa
Customer Reviews
Loading reviews...
Share Your Experience
Similar Products
Product Notes
The KEAP1 keap1 (Catalog #AAA321923) is an Antibody produced from Rabbit and is intended for research purposes only. The product is available for immediate purchase. The Keap1 Antibody reacts with Human, Mouse, Rat and may cross-react with other species as described in the data sheet. AAA Biotech's Keap1 can be used in a range of immunoassay formats including, but not limited to, ELISA, ICC (Immunocytochemistry), IF (Immunofluorescence), IHC (Immunohistochemistry), WB (Western Blot). Researchers should empirically determine the suitability of the KEAP1 keap1 for an application not listed in the data sheet. Researchers commonly develop new applications and it is an integral, important part of the investigative research process. It is sometimes possible for the material contained within the vial of "Keap1, Polyclonal Antibody" to become dispersed throughout the inside of the vial, particularly around the seal of said vial, during shipment and storage. We always suggest centrifuging these vials to consolidate all of the liquid away from the lid and to the bottom of the vial prior to opening. Please be advised that certain products may require dry ice for shipping and that, if this is the case, an additional dry ice fee may also be required.Precautions
All products in the AAA Biotech catalog are strictly for research-use only, and are absolutely not suitable for use in any sort of medical, therapeutic, prophylactic, in-vivo, or diagnostic capacity. By purchasing a product from AAA Biotech, you are explicitly certifying that said products will be properly tested and used in line with industry standard. AAA Biotech and its authorized distribution partners reserve the right to refuse to fulfill any order if we have any indication that a purchaser may be intending to use a product outside of our accepted criteria.Disclaimer
Though we do strive to guarantee the information represented in this datasheet, AAA Biotech cannot be held responsible for any oversights or imprecisions. AAA Biotech reserves the right to adjust any aspect of this datasheet at any time and without notice. It is the responsibility of the customer to inform AAA Biotech of any product performance issues observed or experienced within 30 days of receipt of said product. To see additional details on this or any of our other policies, please see our Terms & Conditions page.Item has been added to Shopping Cart
If you are ready to order, navigate to Shopping Cart and get ready to checkout.
