Rabbit MAPK10 Polyclonal Antibody | anti-MAPK10 antibody
MAPK10 Antibody
Gene Names
MAPK10; JNK3; JNK3A; PRKM10; SAPK1b; p493F12; p54bSAPK
Reactivity
Human, Mouse, Rat
Applications
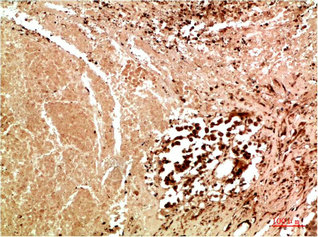
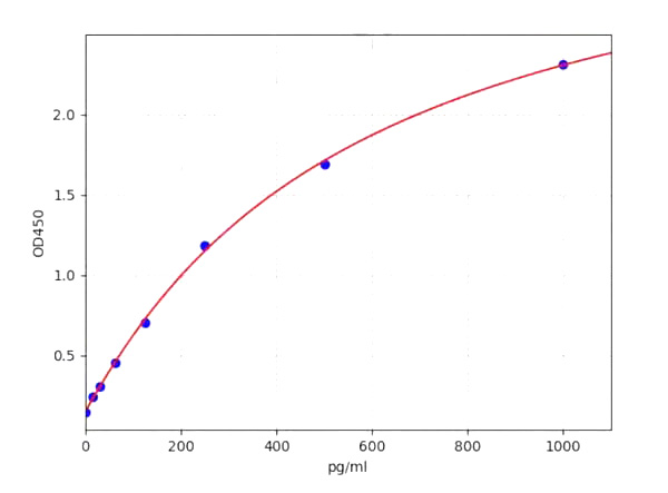
ELISA, Immunohistochemistry
Purity
Affinity-purified from rabbit serum by affinity-chromatography using specific immunogen.
Synonyms
MAPK10, Antibody; MAPK10 Antibody; Mitogen-activated protein kinase 10 (MAP kinase 10) (MAPK 10) (EC 2.7.11.24) (MAP kinase p49 3F12) (Stress-activated protein kinase 1b) (SAPK1b) (Stress-activated protein kinase JNK3) (c-Jun N-terminal kinase 3); anti-MAPK10 antibody
Host
Rabbit
Reactivity
Human, Mouse, Rat
Clonality
Polyclonal
Isotype
IgG
Purity/Purification
Affinity-purified from rabbit serum by affinity-chromatography using specific immunogen.
Form/Format
Liquid; In Phosphate Buffered Saline, pH 7.4, Containing 0.02% Sodium Azide as Preservative and 50% Glycerol.
Applicable Applications for anti-MAPK10 antibody
ELISA, IHC (Immunohistochemistry)
Immunogen
Recombinant Protein
Immunogen Species
Human
Conjugate
Non-conjugated
Preparation and Storage
Upon receipt, store at -20 degree C or -80 degree C. Avoid repeated freeze.
Product Categories/Family for anti-MAPK10 antibody
NCBI and Uniprot Product Information
NCBI GI #
NCBI GeneID
NCBI Accession #
NCBI GenBank Nucleotide #
Molecular Weight
52,585 Da
NCBI Official Full Name
mitogen-activated protein kinase 10 isoform 1
NCBI Official Synonym Full Names
mitogen-activated protein kinase 10
NCBI Official Symbol
MAPK10
NCBI Official Synonym Symbols
JNK3; JNK3A; PRKM10; SAPK1b; p493F12; p54bSAPK
NCBI Protein Information
mitogen-activated protein kinase 10; MAPK 10; MAP kinase 10; MAP kinase p49 3F12; JNK3 alpha protein kinase; c-Jun N-terminal kinase 3; stress-activated protein kinase 1b; stress activated protein kinase beta; stress-activated protein kinase JNK3
UniProt Protein Name
Mitogen-activated protein kinase 10
UniProt Gene Name
MAPK10
UniProt Synonym Gene Names
JNK3; JNK3A; PRKM10; SAPK1B; MAP kinase 10; MAPK 10; SAPK1b
UniProt Entry Name
MK10_HUMAN
Customer Reviews
Loading reviews...
Share Your Experience
Similar Products
Product Notes
The MAPK10 mapk10 (Catalog #AAA236960) is an Antibody produced from Rabbit and is intended for research purposes only. The product is available for immediate purchase. The MAPK10 Antibody reacts with Human, Mouse, Rat and may cross-react with other species as described in the data sheet. AAA Biotech's MAPK10 can be used in a range of immunoassay formats including, but not limited to, ELISA, IHC (Immunohistochemistry). Researchers should empirically determine the suitability of the MAPK10 mapk10 for an application not listed in the data sheet. Researchers commonly develop new applications and it is an integral, important part of the investigative research process. It is sometimes possible for the material contained within the vial of "MAPK10, Polyclonal Antibody" to become dispersed throughout the inside of the vial, particularly around the seal of said vial, during shipment and storage. We always suggest centrifuging these vials to consolidate all of the liquid away from the lid and to the bottom of the vial prior to opening. Please be advised that certain products may require dry ice for shipping and that, if this is the case, an additional dry ice fee may also be required.Precautions
All products in the AAA Biotech catalog are strictly for research-use only, and are absolutely not suitable for use in any sort of medical, therapeutic, prophylactic, in-vivo, or diagnostic capacity. By purchasing a product from AAA Biotech, you are explicitly certifying that said products will be properly tested and used in line with industry standard. AAA Biotech and its authorized distribution partners reserve the right to refuse to fulfill any order if we have any indication that a purchaser may be intending to use a product outside of our accepted criteria.Disclaimer
Though we do strive to guarantee the information represented in this datasheet, AAA Biotech cannot be held responsible for any oversights or imprecisions. AAA Biotech reserves the right to adjust any aspect of this datasheet at any time and without notice. It is the responsibility of the customer to inform AAA Biotech of any product performance issues observed or experienced within 30 days of receipt of said product. To see additional details on this or any of our other policies, please see our Terms & Conditions page.Item has been added to Shopping Cart
If you are ready to order, navigate to Shopping Cart and get ready to checkout.
